MDK
MDK,別名Midkine、MK、NEGF2等。它來源于MDK基因編碼的蛋白,是一種多功能的肝素結合生長因子。MDK通過細胞表面受體傳遞信號,參與調節細胞增殖、遷移、血管生成等多種生物學過程。在生物學意義上,MDK在維持正常組織功能及疾病發展中發揮重要作用,特別是在癌癥領域,其高表達與多種惡性腫瘤的生長、轉移及預后密切相關,因此MDK也是癌癥治療的重要潛在靶點。
熱銷產品
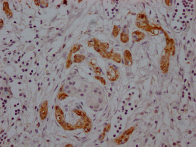
MDK Recombinant Monoclonal Antibody (CSB-RA276759A0HU)
驗證數據
IHC image of CSB-RA276759A0HU diluted at 1:100 and staining in paraffin-embedded human pancreatic cancer performed on a Leica BondTM system. After dewaxing and hydration, antigen retrieval was mediated by high pressure in a citrate buffer (pH 6.0). Section was blocked with 10% normal goat serum 30min at RT. Then primary antibody (1% BSA) was incubated at 4℃ overnight. The primary is detected by a Goat anti-rabbit IgG polymer labeled by HRP and visualized using 0.05% DAB.
MDK Antibodies
MDK for Homo sapiens (Human)
| 產品貨號 | 產品名稱 | 種屬反應性 | 應用類型 |
|---|---|---|---|
| CSB-PA013624GA01HU | MDK Antibody | Human,Mouse,Rat | ELISA,IHC,IF |
| CSB-PA10574D0Rb | MDK Antibody, Biotin conjugated | Human | ELISA |
| CSB-PA10574B0Rb | MDK Antibody, HRP conjugated | Human | ELISA |
| CSB-PA10574A0Rb | MDK Antibody | Human | ELISA, IHC, IF |
| CSB-PA003244 | MDK Antibody | Human,Rat | WB, ELISA |
| CSB-PA005049 | MDK Antibody | Human,Rat | WB, ELISA |
| CSB-PA152593 | MDK Antibody | Human | ELISA,IHC |
| CSB-RA276759A0HU | MDK Recombinant Monoclonal Antibody | Human | ELISA, IHC |
MDK Proteins
MDK Proteins for Homo sapiens (Human)
| 產品貨號 | 產品名稱 | 來源 |
|---|---|---|
| CSB-YP013624HU CSB-EP013624HU CSB-BP013624HU CSB-MP013624HU CSB-EP013624HU-B |
Recombinant Human Midkine (MDK) | Yeast E.coli Baculovirus Mammalian cell In Vivo Biotinylation in E.coli |
| CSB-RP105744h | Recombinant Human Midkine (MDK) | E.coli |
| CSB-AP002911HU | Recombinant Human Midkine protein (MDK) | E.Coli |
MDK ELISA Kit
MDK ELISA Kit for Homo sapiens (Human)
| 產品貨號 | 產品名稱 | 樣本類型 | 靈敏度 |
|---|---|---|---|
| CSB-E08892h | Human Midkine,MK ELISA Kit | serum, plasma, tissue homogenates | 7.8 pg/mL |






