MAGEC2
MAGEC2,全名為黑色素瘤相關抗原C2,也被稱為CT10、HCA587等。該蛋白在正常組織中不表達,僅在睪丸和某些腫瘤中存在。MAGEC2蛋白在多種腫瘤中表達,如黑色素瘤、淋巴瘤、胰腺癌、乳腺癌、非小細胞肺癌和肝癌等。近年來,MAGEC2蛋白成為腫瘤免疫治療的新靶點,相關藥物研發進展迅速。例如,Moderna和默沙東合作開發的mRNA-4157是一款基于MAGEC2的個性化疫苗,用于治療癌癥,包括皮膚黑色素瘤。此外,還有多家公司正在開發針對MAGEC2的抗體和疫苗,以期提高癌癥治療效果。
熱銷產品
Recombinant Human Melanoma-associated antigen C2 (MAGEC2) (CSB-EP887003HUb1)
驗證數據
(Tris-Glycine gel) Discontinuous SDS-PAGE (reduced) with 5% enrichment gel and 15% separation gel.
MAGEC2 Antibody (CSB-PA887003DSR2HU)
驗證數據
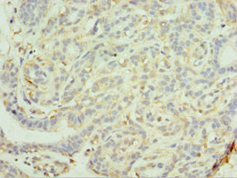
Immunohistochemistry of paraffin-embedded human breast cancer using CSB-PA887003DSR2HU at dilution of 1:100
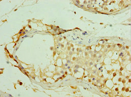
Immunohistochemistry of paraffin-embedded human testis tissue using CSB-PA887003DSR2HU at dilution of 1:100
MAGEC2 Antibodies
MAGEC2 for Homo sapiens (Human)
| 產品貨號 | 產品名稱 | 種屬反應性 | 應用類型 |
|---|---|---|---|
| CSB-PA013349GA01HU | MAGEC2 Antibody | Human | ELISA,IHC |
| CSB-PA574003 | MAGEC2 Antibody | Human | ELISA,WB |
| CSB-PA887003DSR2HU | MAGEC2 Antibody | Human | ELISA, IHC |
| CSB-PA003187 | MAGEC2 Antibody | Human | WB, ELISA |
| CSB-PA259300 | MAGEC2 Antibody | Human | ELISA,IHC |
| CSB-PA615826 | MAGEC2 Antibody | Human | ELISA,IHC |
MAGEC2 Proteins
MAGEC2 Proteins for Homo sapiens (Human)
| 產品貨號 | 產品名稱 | 來源 |
|---|---|---|
| CSB-YP887003HU CSB-EP887003HU CSB-BP887003HU CSB-MP887003HU CSB-EP887003HU-B |
Recombinant Human Melanoma-associated antigen C2 (MAGEC2) | Yeast E.coli Baculovirus Mammalian cell In Vivo Biotinylation in E.coli |
| CSB-EP887003HUb1 | Recombinant Human Melanoma-associated antigen C2 (MAGEC2) | E.coli |






