MAGEA8
MAGEA8,全稱為MAGEA8蛋白,也被稱為MAGE8、CT1.8等。該蛋白在多種癌癥中表達,如肝癌、肺癌、膀胱癌等。MAGEA8蛋白與腫瘤的發生發展密切相關,可能通過調節細胞周期、促進細胞增殖和抑制細胞凋亡等途徑發揮作用。目前,針對MAGEA8蛋白的藥物研發正在積極進行中,包括抗體、疫苗等,有望為癌癥治療提供新的策略。
熱銷產品
Recombinant Human Melanoma-associated antigen 8 (MAGEA8) (CSB-EP013334HU)
驗證數據
(Tris-Glycine gel) Discontinuous SDS-PAGE (reduced) with 5% enrichment gel and 15% separation gel.
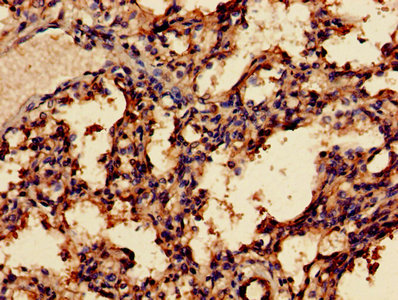
MAGEA8 Antibody (CSB-PA013334LA01HU)
驗證數據
Immunohistochemistry of paraffin-embedded human breast cancer using CSB-PA013334LA01HU at dilution of 1:100
Immunohistochemistry of paraffin-embedded human lung tissue using CSB-PA013334LA01HU at dilution of 1:100
Immunofluorescent analysis of PC-3 cells using CSB-PA013334LA01HU at dilution of 1:100 and Alexa Fluor 488-congugated AffiniPure Goat Anti-Rabbit IgG(H+L)
MAGEA8 Antibodies
MAGEA8 for Homo sapiens (Human)
| 產品貨號 | 產品名稱 | 種屬反應性 | 應用類型 |
|---|---|---|---|
| CSB-PA013334GA01HU | MAGEA8 Antibody | Human | ELISA,WB |
| CSB-PA013334LA01HU | MAGEA8 Antibody | Human | ELISA, IHC, IF |
| CSB-PA013334LB01HU | MAGEA8 Antibody, HRP conjugated | Human | ELISA |
| CSB-PA968714 | MAGEA8 Antibody | Human | ELISA,WB |
MAGEA8 Proteins
MAGEA8 Proteins for Homo sapiens (Human)
| 產品貨號 | 產品名稱 | 來源 |
|---|---|---|
| CSB-YP013334HU CSB-BP013334HU CSB-MP013334HU CSB-EP013334HU-B |
Recombinant Human Melanoma-associated antigen 8 (MAGEA8) | Yeast Baculovirus Mammalian cell In Vivo Biotinylation in E.coli |
| CSB-EP013334HU | Recombinant Human Melanoma-associated antigen 8 (MAGEA8) | E.coli |






