LY9
LY9蛋白,也稱為TGF-β受體I/II型激酶抑制劑,是一種小分子抑制劑,主要作用于TGF-β信號通路。它能夠抑制TGF-β受體I/II型激酶的活性,從而影響腫瘤細胞遷移和轉移。LY9蛋白在胰腺癌細胞系的研究中顯示出潛在的治療價值,能夠破壞Smad-2磷酸化,抑制炎性細胞因子信號傳導和促血管生成基因。目前,LY9蛋白的研究主要集中在腫瘤治療領域,尤其是胰腺癌和炎癥性腸病。在藥物研發方面,LY9蛋白的抑制劑正在臨床試驗中,有望成為治療相關疾病的新選擇。
熱銷產品
LY9 Antibody (CSB-PA884511ESR2HU)
驗證數據
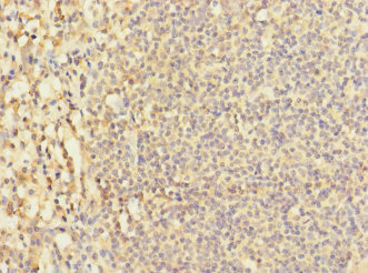
Immunohistochemistry of paraffin-embedded human tonsil tissue using CSB-PA884511ESR2HU at dilution of 1:100
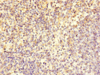
Immunohistochemistry of paraffin-embedded human spleen tissue using CSB-PA884511ESR2HU at dilution of 1:100
LY9 Antibodies
LY9 for Homo sapiens (Human)
| 產品貨號 | 產品名稱 | 種屬反應性 | 應用類型 |
|---|---|---|---|
| CSB-PA011055 | LY9 Antibody | Human | WB, ELISA |
| CSB-PA884511ESR2HU | LY9 Antibody | Human | ELISA, IHC |
LY9 Proteins
LY9 Proteins for Homo sapiens (Human)
| 產品貨號 | 產品名稱 | 來源 |
|---|---|---|
| CSB-YP884511HU CSB-EP884511HU CSB-BP884511HU CSB-MP884511HU CSB-EP884511HU-B |
Recombinant Human T-lymphocyte surface antigen Ly-9 (LY9), partial | Yeast E.coli Baculovirus Mammalian cell In Vivo Biotinylation in E.coli |






