LY75
LY75蛋白全稱為淋巴細胞抗原75,又名DEC-205或CD205,是C型凝集素受體家族成員。這種跨膜蛋白主要在樹突狀細胞表面富集,能高效識別病原體相關分子模式,通過內吞作用將抗原物質轉運至溶酶體加工,隨后與MHC-II分子結合呈遞給CD4+T細胞,在啟動適應性免疫應答中起核心作用。LY75表達異常與黑色素瘤、三陰性乳腺癌等惡性腫瘤進展相關,高表達DEC-205的腫瘤細胞可能通過逃避免疫監視促進轉移。在感染性疾病中,HIV病毒可劫持該蛋白作為入侵宿主細胞的通道。基于其抗原呈遞特性,科研人員開發了抗DEC-205單克隆抗體偶聯NY-ESO-1腫瘤抗原的疫苗CDX-1401,該藥物已完成針對晚期實體瘤的Ⅰ/Ⅱ期臨床試驗,數據顯示能顯著激活腫瘤特異性T細胞反應。另有研究將其與TLR3配體聯合使用,增強抗病毒免疫效果,為新型免疫佐劑設計提供了方向。
熱銷產品
LY75 Antibody (CSB-PA013251ESR1HU)
驗證數據
Western blot
All lanes: LY75 antibody IgG at 1.57μg/ml + Mouse liver tissue
Secondary
Goat polyclonal to rabbit IgG at 1/10000 dilution
Predicted band size: 199, 216, 20, 210 kDa
Observed band size: 199 kDa
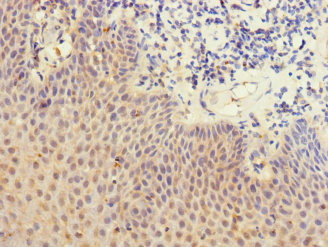
Immunohistochemistry of paraffin-embedded human tonsil tissue using CSB-PA013251ESR1HU at dilution of 1:100
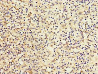
Immunohistochemistry of paraffin-embedded human spleen tissue using CSB-PA013251ESR1HU at dilution of 1:100
LY75 Antibodies
LY75 for Mus musculus (Mouse)
| 產品貨號 | 產品名稱 | 種屬反應性 | 應用類型 |
|---|---|---|---|
| CSB-PA013251HA01MO | Ly75 Antibody | Mouse | ELISA |
LY75 for Homo sapiens (Human)
| 產品貨號 | 產品名稱 | 種屬反應性 | 應用類型 |
|---|---|---|---|
| CSB-PA947833 | LY75 Antibody | Human | ELISA,WB |
| CSB-PA009886 | LY75 Antibody | Human | WB, ELISA |
| CSB-PA171204 | LY75 Antibody | Human | ELISA,IHC |
| CSB-PA013251ESR1HU | LY75 Antibody | Human, Mouse | ELISA, WB, IHC |
| CSB-PA013251ESR2HU | LY75 Antibody | Human | ELISA, IHC |
LY75 Proteins
LY75 Proteins for Homo sapiens (Human)
| 產品貨號 | 產品名稱 | 來源 |
|---|---|---|
| CSB-YP013251HU CSB-EP013251HU CSB-BP013251HU CSB-MP013251HU CSB-EP013251HU-B |
Recombinant Human Lymphocyte antigen 75 (LY75), partial | Yeast E.coli Baculovirus Mammalian cell In Vivo Biotinylation in E.coli |
LY75 Proteins for Mus musculus (Mouse)
| 產品貨號 | 產品名稱 | 來源 |
|---|---|---|
| CSB-YP013251MO CSB-BP013251MO CSB-MP013251MO CSB-EP013251MO-B |
Recombinant Mouse Lymphocyte antigen 75 (Ly75), partial | Yeast Baculovirus Mammalian cell In Vivo Biotinylation in E.coli |
| CSB-EP013251MO | Recombinant Mouse Lymphocyte antigen 75 (Ly75), partial | E.coli |
LY75 Proteins for Mesocricetus auratus (Golden hamster)
| 產品貨號 | 產品名稱 | 來源 |
|---|---|---|
| CSB-YP013251MRG CSB-EP013251MRG CSB-BP013251MRG CSB-MP013251MRG CSB-EP013251MRG-B |
Recombinant Mesocricetus auratus Lymphocyte antigen 75 (LY75), partial | Yeast E.coli Baculovirus Mammalian cell In Vivo Biotinylation in E.coli |






