LY6K
LY6K,全稱為淋巴細胞抗原6家族成員K,屬于LY6超家族,在正常組織中多呈低表達狀態,但在多種惡性腫瘤里活性顯著升高。它能推動腫瘤細胞的異常增殖與侵襲遷移,還可調控腫瘤微環境,削弱免疫細胞對腫瘤的識別能力。
臨床研究顯示,非小細胞肺癌、三陰性乳腺癌、卵巢癌等患者的腫瘤組織中,LY6K表達水平常明顯高于健康組織,且其高表達往往和腫瘤分期較晚、患者預后不佳相關。目前針對它的藥物研發處于早期階段:已有團隊探索治療性疫苗的應用,通過其抗原肽激活機體免疫系統,誘導特異性T細胞攻擊表達該蛋白的腫瘤細胞;此外,靶向該蛋白的單克隆抗體也在臨床前研究中推進,嘗試直接阻斷其功能或介導免疫殺傷,不過這些方案仍需更多實驗與臨床數據支撐。
熱銷產品
Recombinant Human Lymphocyte antigen 6K (LY6K) (Active) (CSB-MP621061HUd9)
驗證數據
(Tris-Glycine gel) Discontinuous SDS-PAGE (reduced) with 5% enrichment gel and 15% separation gel.
Activity
Measured by its binding ability in a functional ELISA. Immobilized Human LY6K at 2 μg/ml can bind Anti-LY6K recombinant antibody (CSB-RA621061MA1HU). The EC50 is 3.695-4.547 ng/mL.
Recombinant Human Lymphocyte antigen 6K (LY6K) (CSB-EP621061HU)
驗證數據
(Tris-Glycine gel) Discontinuous SDS-PAGE (reduced) with 5% enrichment gel and 15% separation gel.
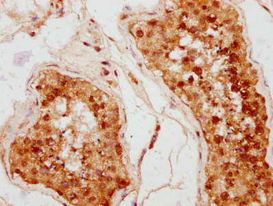
LY6K Antibody (CSB-PA621061LA01HU)
驗證數據
IHC image of CSB-PA621061LA01HU diluted at 1:400 and staining in paraffin-embedded human testis tissue performed on a Leica BondTM system. After dewaxing and hydration, antigen retrieval was mediated by high pressure in a citrate buffer (pH 6.0). Section was blocked with 10% normal goat serum 30min at RT. Then primary antibody (1% BSA) was incubated at 4°C overnight. The primary is detected by a biotinylated secondary antibody and visualized using an HRP conjugated SP system.
LY6K Antibodies
LY6K for Homo sapiens (Human)
| 產品貨號 | 產品名稱 | 種屬反應性 | 應用類型 |
|---|---|---|---|
| CSB-PA621061LA01HU | LY6K Antibody | Human | ELISA, IHC |
| CSB-PA621061LB01HU | LY6K Antibody, HRP conjugated | Human | ELISA |
| CSB-PA621061LC01HU | LY6K Antibody, FITC conjugated | Human | |
| CSB-PA621061LD01HU | LY6K Antibody, Biotin conjugated | Human | ELISA |
LY6K Proteins
LY6K Proteins for Homo sapiens (Human)
| 產品貨號 | 產品名稱 | 來源 |
|---|---|---|
| CSB-BP621061HU CSB-MP621061HU CSB-EP621061HU-B |
Recombinant Human Lymphocyte antigen 6K (LY6K) | Baculovirus Mammalian cell In Vivo Biotinylation in E.coli |
| CSB-EP621061HU | Recombinant Human Lymphocyte antigen 6K (LY6K) | E.coli |
| CSB-YP621061HU | Recombinant Human Lymphocyte antigen 6K (LY6K) | Yeast |
| CSB-MP621061HUh8 | Recombinant Human Lymphocyte antigen 6K (LY6K) | Mammalian cell |
| CSB-EP621061HUa0 | Recombinant Human Lymphocyte antigen 6K (LY6K) | E.coli |
| CSB-MP621061HUd9 | Recombinant Human Lymphocyte antigen 6K (LY6K) (Active) | Mammalian cell |






