LSR
LSR,全稱為緊密連接蛋白LSR(Lens-shaped protein-related),是一種參與細胞緊密連接形成的蛋白質。該蛋白常見別名包括Lsrin、TJP2等。LSR蛋白在細胞中主要通過與其他緊密連接蛋白相互作用,參與維持細胞膜的完整性和選擇性通透性,對腸道屏障功能尤為重要。研究發現,LSR蛋白能夠與新冠病毒受體ACE2結合,阻止病毒刺突蛋白與其結合,從而抑制病毒入侵細胞。此外,LSR蛋白的缺失會增強ACE2依賴性SARS-CoV-2病毒的感染,而外源性補充LSR蛋白則能有效保護宿主免受病毒感染。這一發現為開發抗新冠病毒藥物提供了新的靶點。目前,基于LSR蛋白的短肽已被證實能在體外阻斷S蛋白與ACE2受體的結合,展現出治療和干預冠狀病毒變異株的潛力。此外,LSR蛋白的異常表達與某些癌癥的發生發展密切相關,因此也成為癌癥免疫治療的重要靶點。針對LSR蛋白的抗體藥物和衍生短肽等正在研發中,有望為相關疾病的治療提供新的選擇。
熱銷產品
Recombinant Human Lipolysis-stimulated lipoprotein receptor (LSR), partial (CSB-EP801252HU)
驗證數據
(Tris-Glycine gel) Discontinuous SDS-PAGE (reduced) with 5% enrichment gel and 15% separation gel.
Based on the SEQUEST from database of E.coli host and target protein, the LC-MS/MS Analysis result of CSB-EP801252HU could indicate that this peptide derived from E.coli-expressed Homo sapiens (Human) LSR.
Based on the SEQUEST from database of E.coli host and target protein, the LC-MS/MS Analysis result of CSB-EP801252HU could indicate that this peptide derived from E.coli-expressed Homo sapiens (Human) LSR.
LSR Antibody (CSB-PA801252LA01HU)
驗證數據
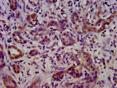
IHC image of CSB-PA801252LA01HU diluted at 1:400 and staining in paraffin-embedded human pancreatic cancer performed on a Leica BondTM system. After dewaxing and hydration, antigen retrieval was mediated by high pressure in a citrate buffer (pH 6.0). Section was blocked with 10% normal goat serum 30min at RT. Then primary antibody (1% BSA) was incubated at 4°C overnight. The primary is detected by a biotinylated secondary antibody and visualized using an HRP conjugated SP system.
Immunofluorescence staining of HepG2 cells with CSB-PA801252LA01HU at 1:133, counter-stained with DAPI. The cells were fixed in 4% formaldehyde, permeabilized using 0.2% Triton X-100 and blocked in 10% normal Goat Serum. The cells were then incubated with the antibody overnight at 4°C. The secondary antibody was Alexa Fluor 488-congugated AffiniPure Goat Anti-Rabbit IgG(H+L).
Human Lipolysis-stimulated lipoprotein receptor(LSR) ELISA kit (CSB-EL013215HU)
驗證數據
貨號:CSB-EL013215HU
規格:96T/48T
靈敏度:1.56 pg/mL
檢測范圍:6.25 pg/mL-400 pg/mL
These standard curves are provided for demonstration only. A standard curve should be generated for each set of samples assayed.
LSR Antibodies
LSR for Homo sapiens (Human)
| 產品貨號 | 產品名稱 | 種屬反應性 | 應用類型 |
|---|---|---|---|
| CSB-PA013215GA01HU | LSR Antibody | Human,Mouse,Rat | ELISA,WB |
| CSB-PA801252LA01HU | LSR Antibody | Human | ELISA, IHC, IF |
| CSB-PA801252LB01HU | LSR Antibody, HRP conjugated | Human | ELISA |
| CSB-PA801252LC01HU | LSR Antibody, FITC conjugated | Human | |
| CSB-PA801252LD01HU | LSR Antibody, Biotin conjugated | Human | ELISA |
LSR Proteins
LSR Proteins for Homo sapiens (Human)
| 產品貨號 | 產品名稱 | 來源 |
|---|---|---|
| CSB-YP801252HU CSB-BP801252HU CSB-MP801252HU CSB-EP801252HU-B |
Recombinant Human Lipolysis-stimulated lipoprotein receptor (LSR), partial | Yeast Baculovirus Mammalian cell In Vivo Biotinylation in E.coli |
| CSB-EP801252HU | Recombinant Human Lipolysis-stimulated lipoprotein receptor (LSR), partial | E.coli |
LSR ELISA Kit
LSR ELISA Kit for Homo sapiens (Human)
| 產品貨號 | 產品名稱 | 樣本類型 | 靈敏度 |
|---|---|---|---|
| CSB-EL013215HU | Human Lipolysis-stimulated lipoprotein receptor(LSR) ELISA kit | serum, plasma, tissue homogenates | 1.56 pg/mL |






