LRP6
低密度脂蛋白受體相關蛋白6(LRP6)是低密度脂蛋白受體家族的成員,也稱為ADCAD2或STHAG7。作為一種單次跨膜蛋白,它與Frizzled蛋白共同作為Wnt信號的受體,在細胞分化、增殖等生命活動中扮演核心角色。尤其在骨骼形成和早期心臟發育過程中,LRP6是不可或缺的,其功能失常會引發嚴重的形態缺陷。
在疾病方面,LRP6的功能紊亂與多種重要疾病相關聯。研究顯示,其介導的信號傳導減弱與阿爾茨海默病的突觸異常和淀粉樣蛋白病理有關。在心臟領域,成年后LRP6功能障礙與冠心病和致命性心律失常相關,而近期研究有趣地發現,下調LRP6能夠通過ING5/P21路徑促進心肌細胞增殖,為心肌梗死后的心臟修復提供了新的治療思路。此外,LRP6的致病突變還被發現與先天缺牙及多指等發育異常相關。這些發現也使得LRP6成為一個頗具潛力的治療靶點,已有研究探索使用腺相關病毒載體下調LRP6表達來促進心臟損傷的修復。
熱銷產品
LRP6 Antibody (CSB-PA013102ESR2HU)
驗證數據
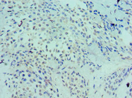
Immunohistochemistry of paraffin-embedded human breast cancer using CSB-PA013102ESR2HU at dilution of 1:100
Immunohistochemistry of paraffin-embedded human kidney tissue using CSB-PA013102ESR2HU at dilution of 1:100
Human low-density lipoprotein-receptor-related protein,LRP-6 ELISA Kit (CSB-E08952h)
驗證數據
貨號:CSB-E08952h
規格:96T/48T
靈敏度:0.078 ng/mL
檢測范圍:0.312 ng/mL-20 ng/mL
These standard curves are provided for demonstration only. A standard curve should be generated for each set of samples assayed.
LRP6 Antibodies
LRP6 for Homo sapiens (Human)
| 產品貨號 | 產品名稱 | 種屬反應性 | 應用類型 |
|---|---|---|---|
| CSB-PA013102ESR2HU | LRP6 Antibody | Human | ELISA, IHC |
| CSB-PA234397 | LRP6 Antibody | Human,Mouse | ELISA,IHC |
LRP6 Proteins
LRP6 Proteins for Homo sapiens (Human)
| 產品貨號 | 產品名稱 | 來源 |
|---|---|---|
| CSB-YP013102HU CSB-EP013102HU CSB-BP013102HU CSB-MP013102HU CSB-EP013102HU-B |
Recombinant Human Low-density lipoprotein receptor-related protein 6 (LRP6), partial | Yeast E.coli Baculovirus Mammalian cell In Vivo Biotinylation in E.coli |
LRP6 Proteins for Mus musculus (Mouse)
| 產品貨號 | 產品名稱 | 來源 |
|---|---|---|
| CSB-YP013102MO CSB-EP013102MO CSB-BP013102MO CSB-MP013102MO CSB-EP013102MO-B |
Recombinant Mouse Low-density lipoprotein receptor-related protein 6 (Lrp6), partial | Yeast E.coli Baculovirus Mammalian cell In Vivo Biotinylation in E.coli |
LRP6 ELISA Kit
LRP6 ELISA Kit for Homo sapiens (Human)
| 產品貨號 | 產品名稱 | 樣本類型 | 靈敏度 |
|---|---|---|---|
| CSB-E08952h | Human low-density lipoprotein-receptor-related protein,LRP-6 ELISA Kit | serum, tissue homogenates, cell lysates | 0.078 ng/mL |






