LRP4
LRP4,即低密度脂蛋白受體相關蛋白4,別名CLSS、CMS17、LRP-4、LRP10、MEGF7、SOST2等。它來源于人類基因編碼,是低密度脂蛋白受體(LDLR)家族的一員。LRP4的作用機制復雜,涉及對MuSK激活、AChR聚集和神經肌肉接頭(NMJ)形成的調控。LRP4對神經肌肉接頭突觸前正常投射及成年后突觸末梢的維持有重要功能,同時也與重癥肌無力(MG)等疾病的發病機制密切相關,為相關疾病的研究和治療提供了新的視角。
熱銷產品
驗證數據
(Tris-Glycine gel) Discontinuous SDS-PAGE (reduced) with 5% enrichment gel and 15% separation gel.
LRP4 Antibody (CSB-PA013099ESR1HU)
驗證數據
Western blot
All lanes: LRP4 antibody at 1.39µg/ml + PC-3 whole cell lysate
Secondary
Goat polyclonal to rabbit IgG at 1/10000 dilution
Predicted band size: 213 kDa
Observed band size: 213 kDa
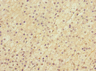
Immunohistochemistry of paraffin-embedded human adrenal gland tissue using CSB-PA013099ESR1HU at dilution of 1:100
LRP4 Antibodies
LRP4 for Homo sapiens (Human)
| 產品貨號 | 產品名稱 | 種屬反應性 | 應用類型 |
|---|---|---|---|
| CSB-PA013099ESR1HU | LRP4 Antibody | Human | ELISA, WB, IHC |
| CSB-PA013099ESR2HU | LRP4 Antibody | Human | ELISA, IHC |
LRP4 Proteins
LRP4 Proteins for Homo sapiens (Human)
| 產品貨號 | 產品名稱 | 來源 |
|---|---|---|
| CSB-YP013099HU | Recombinant Human Low-density lipoprotein receptor-related protein 4 (LRP4), partial | Yeast |
| CSB-EP013099HU | Recombinant Human Low-density lipoprotein receptor-related protein 4 (LRP4), partial | E.coli |
LRP4 ELISA Kit
LRP4 ELISA Kit for Homo sapiens (Human)
| 產品貨號 | 產品名稱 | 樣本類型 | 靈敏度 |
|---|---|---|---|
| CSB-E17518h | Human low-density lipoprotein-receptor-related protein 4(LRP-4)ELISA Kit | serum, plasma, tissue homogenates | 15.6 pg/mL |






