LAMC2
LAMC2,即層粘連蛋白γ2鏈,它是由LAMC2基因編碼的蛋白質,在人體中發揮作用。LAMC2是一種細胞外基質蛋白,通過與細胞表面的高親和力受體結合,參與調節細胞的黏附、遷移和組織形成。其作用機制涉及與細胞外基質的其他組分相互作用,影響細胞的行為和組織結構的穩定性。LAMC2在多種生物學過程中具有重要作用,包括胚胎發育、組織再生和腫瘤發展。在信號通路方面,LAMC2與PI3K/AKT/mTOR等信號通路相關,通過這些通路調節細胞的增殖、侵襲和轉移。LAMC2的異常表達與多種疾病有關,包括腫瘤的發生和發展,其中在肝內膽管細胞癌(iCCA)中存在擴增和特異性高表達,可能成為腫瘤治療的潛在靶點。
熱銷產品
Recombinant Human Laminin subunit gamma-2 (LAMC2), partial (CSB-EP618803HU)
驗證數據
(Tris-Glycine gel) Discontinuous SDS-PAGE (reduced) with 5% enrichment gel and 15% separation gel.
LAMC2 Antibody (CSB-PA618803LA01HU)
驗證數據
Western Blot
Positive WB detected in: Hela whole cell lysate
All lanes: LAMC2 antibody at 5μg/ml
Secondary
Goat polyclonal to rabbit IgG at 1/50000 dilution
Predicted band size: 131, 122 kDa
Observed band size: 140 kDa
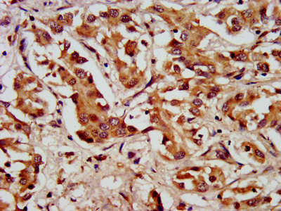
IHC image of CSB-PA618803LA01HU diluted at 1:200 and staining in paraffin-embedded human lung cancer performed on a Leica BondTM system. After dewaxing and hydration, antigen retrieval was mediated by high pressure in a citrate buffer (pH 6.0). Section was blocked with 10% normal goat serum 30min at RT. Then primary antibody (1% BSA) was incubated at 4°C overnight. The primary is detected by a biotinylated secondary antibody and visualized using an HRP conjugated SP system.
IHC image of CSB-PA618803LA01HU diluted at 1:200 and staining in paraffin-embedded human liver cancer performed on a Leica BondTM system. After dewaxing and hydration, antigen retrieval was mediated by high pressure in a citrate buffer (pH 6.0). Section was blocked with 10% normal goat serum 30min at RT. Then primary antibody (1% BSA) was incubated at 4°C overnight. The primary is detected by a biotinylated secondary antibody and visualized using an HRP conjugated SP system.
LAMC2 Antibodies
LAMC2 for Homo sapiens (Human)
| 產品貨號 | 產品名稱 | 種屬反應性 | 應用類型 |
|---|---|---|---|
| CSB-PA012736GA01HU | LAMC2 Antibody | Human,Mouse,Rat | ELISA,WB |
| CSB-PA005613 | LAMC2 Antibody | Human,Rat | WB, ELISA |
| CSB-PA618803LA01HU | LAMC2 Antibody | Human | ELISA, WB, IHC |
| CSB-PA618803LC01HU | LAMC2 Antibody, FITC conjugated | Human | |
| CSB-PA618803LD01HU | LAMC2 Antibody, Biotin conjugated | Human | ELISA |
LAMC2 Proteins
LAMC2 Proteins for Homo sapiens (Human)
| 產品貨號 | 產品名稱 | 來源 |
|---|---|---|
| CSB-BP618803HU CSB-MP618803HU CSB-EP618803HU-B |
Recombinant Human Laminin subunit gamma-2 (LAMC2), partial | Baculovirus Mammalian cell In Vivo Biotinylation in E.coli |
| CSB-EP618803HU | Recombinant Human Laminin subunit gamma-2 (LAMC2), partial | E.coli |
| CSB-YP618803HU | Recombinant Human Laminin subunit gamma-2 (LAMC2), partial | Yeast |
LAMC2 Proteins for Mus musculus (Mouse)
| 產品貨號 | 產品名稱 | 來源 |
|---|---|---|
| CSB-YP713960MO CSB-EP713960MO CSB-BP713960MO CSB-MP713960MO CSB-EP713960MO-B |
Recombinant Mouse Laminin subunit gamma-2 (Lamc2), partial | Yeast E.coli Baculovirus Mammalian cell In Vivo Biotinylation in E.coli |
LAMC2 Proteins for Equus caballus (Horse)
| 產品貨號 | 產品名稱 | 來源 |
|---|---|---|
| CSB-YP816834HO CSB-EP816834HO CSB-BP816834HO CSB-MP816834HO CSB-EP816834HO-B |
Recombinant Horse Laminin subunit gamma-2 (LAMC2), partial | Yeast E.coli Baculovirus Mammalian cell In Vivo Biotinylation in E.coli |






