LAIR1
LAIR1,即白細胞相關免疫球蛋白樣受體1,別名CD305、LAIR-1。它主要在多種免疫細胞上表達,包括自然殺傷細胞、T細胞和B細胞。LAIR1的作用機制涉及與其高親和力配體膠原蛋白的結合,這一結合能夠誘導LAIR1上的免疫受體酪氨酸基抑制基序(ITIMs)的自體磷酸化,進而招募如Src同源區域含磷酸酶SHP-1和SHP-2等磷酸酶,調節負向信號。LAIR1作為一種抑制性受體,通過調節免疫反應,防止自身細胞被裂解,同時在腫瘤微環境中,膠原蛋白/LAIR1信號在下調抗腫瘤反應中發揮重要作用。LAIR1的異常表達與多種癌癥的發展相關,包括白血病、卵巢癌、腎癌、口腔鱗狀細胞癌和肝細胞癌,其在腫瘤免疫逃逸和免疫治療中可能作為潛在的生物標志物。
熱銷產品
LAIR1 Antibody (CSB-PA012721LA01HU)
驗證數據
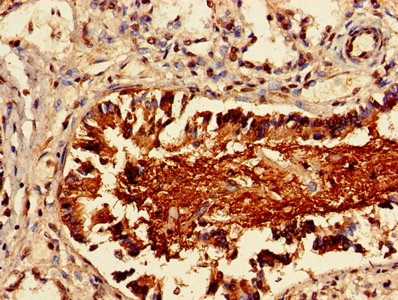
Immunohistochemistry of paraffin-embedded human lung cancer using CSB-PA012721LA01HU at dilution of 1:100
Immunohistochemistry of paraffin-embedded human appendix tissue using CSB-PA012721LA01HU at dilution of 1:100
Immunofluorescent analysis of HepG2 cells using CSB-PA012721LA01HU at dilution of 1:100 and Alexa Fluor 488-congugated AffiniPure Goat Anti-Rabbit IgG(H+L)
LAIR1 Antibodies
LAIR1 for Homo sapiens (Human)
| 產品貨號 | 產品名稱 | 種屬反應性 | 應用類型 |
|---|---|---|---|
| CSB-PA006294 | LAIR1 Antibody | Human | WB, ELISA |
| CSB-PA088669 | LAIR1 Antibody | Human | ELISA,IHC |
| CSB-PA694004 | LAIR1 Antibody | Human,Mouse | ELISA,WB,IHC |
| CSB-PA012721LA01HU | LAIR1 Antibody | Human | ELISA, IHC, IF |
| CSB-PA012721LB01HU | LAIR1 Antibody, HRP conjugated | Human | ELISA |
| CSB-PA012721LC01HU | LAIR1 Antibody, FITC conjugated | Human | |
| CSB-PA012721LD01HU | LAIR1 Antibody, Biotin conjugated | Human | ELISA |
LAIR1 Proteins
LAIR1 Proteins for Rattus norvegicus (Rat)
| 產品貨號 | 產品名稱 | 來源 |
|---|---|---|
| CSB-YP012721RA1 CSB-EP012721RA1 CSB-BP012721RA1 CSB-MP012721RA1 CSB-EP012721RA1-B |
Recombinant Rat Leukocyte-associated immunoglobulin-like receptor 1 (Lair1), partial | Yeast E.coli Baculovirus Mammalian cell In Vivo Biotinylation in E.coli |
| CSB-CF012721RA | Recombinant Rat Leukocyte-associated immunoglobulin-like receptor 1 (Lair1) | in vitro E.coli expression system |
LAIR1 Proteins for Homo sapiens (Human)
| 產品貨號 | 產品名稱 | 來源 |
|---|---|---|
| CSB-EP012721HU CSB-BP012721HU CSB-MP012721HU CSB-EP012721HU-B |
Recombinant Human Leukocyte-associated immunoglobulin-like receptor 1 (LAIR1), partial | E.coli Baculovirus Mammalian cell In Vivo Biotinylation in E.coli |
LAIR1 Proteins for Mus musculus (Mouse)
| 產品貨號 | 產品名稱 | 來源 |
|---|---|---|
| CSB-YP012721MO CSB-EP012721MO CSB-BP012721MO CSB-MP012721MO CSB-EP012721MO-B |
Recombinant Mouse Leukocyte-associated immunoglobulin-like receptor 1 (Lair1), partial | Yeast E.coli Baculovirus Mammalian cell In Vivo Biotinylation in E.coli |






