KRT19
KRT19,全稱為細胞角蛋白19,常被簡稱為CK19,屬于角蛋白家族成員。它廣泛存在于各類上皮細胞內,作為細胞骨架的關鍵成分,支撐上皮組織的結構穩定,協助細胞間的聯系與功能協調,保障上皮細胞正常運作。
病理情況下,KRT19的表達常出現異常。在上皮來源的腫瘤中,其水平升高或分布改變較為常見,降解產物CYFRA21-1是臨床常用的腫瘤標志物,可輔助肺癌、膀胱癌等疾病的診斷與病情跟蹤。同時,它與腫瘤細胞的侵襲、轉移能力相關,可能推動疾病進展。目前,針對KRT19的應用多集中于診斷領域,特異性檢測試劑已普及;治療方向上,靶向KRT19陽性細胞的免疫療法或遞送系統仍在研究,有望為相關腫瘤治療提供新路徑。
熱銷產品
Recombinant Human Keratin, type I cytoskeletal 19 (KRT19) (CSB-BP012534HU)
驗證數據
(Tris-Glycine gel) Discontinuous SDS-PAGE (reduced) with 5% enrichment gel and 15% separation gel.
KRT19 Recombinant Monoclonal Antibody (CSB-RA598178A0HU)
驗證數據
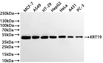
Western Blot
Positive WB detected in: MCF-7 whole cell lysate(30μg), A549 whole cell lysate(30μg), HT-29 whole cell lysate(30μg), HepG2 whole cell lysate(30μg), Hela whole cell lysate(30μg), PC-3 whole cell lysate(30μg)
All lanes: Cytokeratin 19 antibody at 1:1000
Secondary
Goat polyclonal to rabbit IgG at 1/40000 dilution
Predicted band size: 44 kDa
Observed band size: 49 kDa
Exposure time:10s
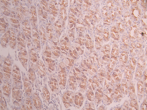
IHC image of CSB-RA598178A0HU diluted at 1:100 and staining in paraffin-embedded human breast cancer performed on a Leica BondTM system. After dewaxing and hydration, antigen retrieval was mediated by high pressure in a citrate buffer (pH 6.0). Section was blocked with 10% normal goat serum 30min at RT. Then primary antibody (1% BSA) was incubated at 4°C overnight. The primary is detected by a Goat anti-rabbit polymer IgG labeled by HRP and visualized using 0.05% DAB.
IHC image of CSB-RA598178A0HU diluted at 1:100 and staining in paraffin-embedded human stomach tissue performed on a Leica BondTM system. After dewaxing and hydration, antigen retrieval was mediated by high pressure in a citrate buffer (pH 6.0). Section was blocked with 10% normal goat serum 30min at RT. Then primary antibody (1% BSA) was incubated at 4°C overnight. The primary is detected by a Goat anti-rabbit polymer IgG labeled by HRP and visualized using 0.05% DAB.
Immunofluorescence staining of MCF-7 cell with CSB-RA598178A0HU at 1:50, counter-stained with DAPI. The cells were fixed in 4% formaldehyde, permeabilized using 0.2% Triton X-100 and blocked in 10% normal Goat Serum. The cells were then incubated with the antibody overnight at 4°C. The secondary antibody was Alexa Fluor 488-congugated AffiniPure Goat Anti-Rabbit IgG(H+L).
Overlay Peak curve showing MCF-7 cells stained with CSB-RA598178A0HU (red line) at 1:100. The cells were fixed in 4% formaldehyde and permeated by 0.2% TritonX-100 for 10min. Then 10% normal goat serum to block non-specific protein-protein interactions followed by the antibody (1ug/1*106cells) for 45min at 4℃. The secondary antibody used was FITC-conjugated goat anti-rabbit IgG (H+L) at 1/200 dilution for 35min at 4℃.Control antibody (green line) was Rabbit IgG (1ug/1*106cells) used under the same conditions. Acquisition of >10,000 events was performed.
驗證數據
The image on the left is immunohistochemistry of paraffin-embedded Human colon cancer tissue using CSB-PA165755(KRT19 Antibody) at dilution 1/55, on the right is treated with fusion protein. (Original magnification: ×200)
Gel: 12%SDS-PAGE, Lysate: 40 μg, Lane 1-5: A431 cells, Hela cells, Lovo cells, Human fetal lung tissue, Human adult liver tissue, Primary antibody: CSB-PA165755(KRT19 Antibody) at dilution 1/1000, Secondary antibody: Goat anti rabbit IgG at 1/8000 dilution, Exposure time: 30 seconds
KRT19 Antibodies
KRT19 for Homo sapiens (Human)
| 產品貨號 | 產品名稱 | 種屬反應性 | 應用類型 |
|---|---|---|---|
| CSB-PA11259B0Rb | KRT19 Antibody, HRP conjugated | Human | ELISA |
| CSB-PA11259A0Rb | KRT19 Antibody | Human | ELISA |
| CSB-PA012534GA01HU | KRT19 Antibody | Human,Mouse,Rat | ELISA,WB,IHC,FC,IF |
| CSB-PA11259D0Rb | KRT19 Antibody, Biotin conjugated | Human | ELISA |
| CSB-PA11259C0Rb | KRT19 Antibody, FITC conjugated | Human | |
| CSB-PA100243 | KRT19 Antibody | Human,Mouse,Rat | ELISA,WB,IHC |
| CSB-PA258732 | KRT19 Antibody | Human,Mouse,Rat | ELISA,WB,IHC |
| CSB-PA002047 | KRT19 Antibody | Human,Mouse,Rat | WB, IHC, IF, ELISA |
| CSB-PA005551 | KRT19 Antibody | Human | WB, ELISA |
| CSB-PA009691 | KRT19 Antibody | Human,Mouse,Rat | WB, IHC, ELISA |
| CSB-PA165755 | KRT19 Antibody | Human,Mouse,Rat | ELISA,WB,IHC |
| CSB-PA909758 | KRT19 Antibody | Human,Mouse,Rat | ELISA,WB,IHC |
| CSB-MA974483 | KRT19 Monoclonal Antibody | Human | ELISA, IHC |
| CSB-RA598178A0HU | KRT19 Recombinant Monoclonal Antibody | Human | ELISA, WB, IHC, IF, FC |
KRT19 for H, M, R
| 產品貨號 | 產品名稱 | 種屬反應性 | 應用類型 |
|---|---|---|---|
| CSB-MA000207 | KRT19 Monoclonal Antibody | Human,Mouse,Rat | ELISA,IHC |
KRT19 Proteins
KRT19 Proteins for Mus musculus (Mouse)
| 產品貨號 | 產品名稱 | 來源 |
|---|---|---|
| CSB-YP012534MO CSB-EP012534MO CSB-BP012534MO CSB-MP012534MO CSB-EP012534MO-B |
Recombinant Mouse Keratin, type I cytoskeletal 19 (Krt19) | Yeast E.coli Baculovirus Mammalian cell In Vivo Biotinylation in E.coli |
KRT19 Proteins for Bos taurus (Bovine)
| 產品貨號 | 產品名稱 | 來源 |
|---|---|---|
| CSB-YP012534BO CSB-EP012534BO CSB-BP012534BO CSB-MP012534BO CSB-EP012534BO-B |
Recombinant Bovine Keratin, type I cytoskeletal 19 (KRT19) | Yeast E.coli Baculovirus Mammalian cell In Vivo Biotinylation in E.coli |
KRT19 Proteins for Gallus gallus (Chicken)
| 產品貨號 | 產品名稱 | 來源 |
|---|---|---|
| CSB-YP012534CH CSB-EP012534CH CSB-BP012534CH CSB-MP012534CH CSB-EP012534CH-B |
Recombinant Chicken Keratin, type I cytoskeletal 19 (KRT19) | Yeast E.coli Baculovirus Mammalian cell In Vivo Biotinylation in E.coli |
KRT19 Proteins for Mesocricetus auratus (Golden hamster)
| 產品貨號 | 產品名稱 | 來源 |
|---|---|---|
| CSB-YP309232MRG CSB-EP309232MRG CSB-BP309232MRG CSB-MP309232MRG CSB-EP309232MRG-B |
Recombinant Mesocricetus auratus Keratin, type I cytoskeletal 19 (KRT19) | Yeast E.coli Baculovirus Mammalian cell In Vivo Biotinylation in E.coli |
KRT19 Proteins for Potorous tridactylus (Potoroo)
| 產品貨號 | 產品名稱 | 來源 |
|---|---|---|
| CSB-YP345159PRO CSB-EP345159PRO CSB-BP345159PRO CSB-MP345159PRO CSB-EP345159PRO-B |
Recombinant Potorous tridactylus Keratin, type I cytoskeletal 19 (KRT19) | Yeast E.coli Baculovirus Mammalian cell In Vivo Biotinylation in E.coli |
KRT19 Proteins for Pongo abelii (Sumatran orangutan)
| 產品貨號 | 產品名稱 | 來源 |
|---|---|---|
| CSB-YP716107PYX CSB-EP716107PYX CSB-BP716107PYX CSB-MP716107PYX CSB-EP716107PYX-B |
Recombinant Pongo abelii Keratin, type I cytoskeletal 19 (KRT19) | Yeast E.coli Baculovirus Mammalian cell In Vivo Biotinylation in E.coli |
KRT19 Proteins for Rattus norvegicus (Rat)
| 產品貨號 | 產品名稱 | 來源 |
|---|---|---|
| CSB-YP726892RA CSB-EP726892RA CSB-BP726892RA CSB-MP726892RA CSB-EP726892RA-B |
Recombinant Rat Keratin, type I cytoskeletal 19 (Krt19) | Yeast E.coli Baculovirus Mammalian cell In Vivo Biotinylation in E.coli |
KRT19 Proteins for Homo sapiens (Human)
| 產品貨號 | 產品名稱 | 來源 |
|---|---|---|
| CSB-BP012534HU | Recombinant Human Keratin, type I cytoskeletal 19 (KRT19) | Baculovirus |
| CSB-EP012534HU | Recombinant Human Keratin, type I cytoskeletal 19 (KRT19) | E.coli |






