KRT18
KRT18,全稱為keratin 18,是一種常見的I型中間絲蛋白,與角蛋白8共同構成中間絲骨架,主要表達于單層上皮組織中。KRT18蛋白也被稱為K18、CK-18等,其在細胞骨架中起到維持細胞形態和結構穩定的作用。KRT18蛋白的表達水平與細胞增殖和分化密切相關,其異常表達與多種疾病相關,如肝纖維化、肝癌、結腸癌等。研究表明,KRT18蛋白可作為腫瘤診斷和預后的生物標志物。在藥物研發方面,針對KRT18蛋白的靶向藥物正在開發中,以期通過調節其表達水平來治療相關疾病。
熱銷產品
Recombinant Human Keratin, type I cytoskeletal 18 (KRT18) (CSB-EP012519HUe1)
驗證數據
(Tris-Glycine gel) Discontinuous SDS-PAGE (reduced) with 5% enrichment gel and 15% separation gel.
KRT18 Antibody (CSB-PA10629A0Rb)
驗證數據
Western blot
All lanes: KRT18 antibody at 2µg/ml
Lane 1: K562 whole cell lysate
Lane 2: HepG2 whole cell lysate
Secondary
Goat polyclonal to rabbit IgG at 1/10000 dilution
Predicted band size: 49 kDa
Observed band size: 49 kDa
Western blot
All lanes: KRT18 antibody at 12µg/ml
Lane 1: A431 whole cell lysate
Lane 2: Hela whole cell lysate
Lane 3: Jurkat whole cell lysate
Lane 4: Zebrafish lysate
Secondary
Goat polyclonal to rabbit IgG at 1/10000 dilution
Predicted band size: 49 kDa
Observed band size: 49 kDa
Western Blot
Positive WB detected in: K562 whole cell lysate, Hela whole cell lysate
All lanes: KRT18 antibody at 3µg/ml
Secondary
Goat polyclonal to rabbit IgG at 1/50000 dilution
Predicted band size: 49 kDa
Observed band size: 49 kDa
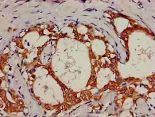
IHC image of CSB-PA10629A0Rb diluted at 1:800 and staining in paraffin-embedded human breast cancer performed on a Leica BondTM system. After dewaxing and hydration, antigen retrieval was mediated by high pressure in a citrate buffer (pH 6.0). Section was blocked with 10% normal goat serum 30min at RT. Then primary antibody (1% BSA) was incubated at 4°C overnight. The primary is detected by a biotinylated secondary antibody and visualized using an HRP conjugated SP system.
Immunofluorescent analysis of HepG2 cells using CSB-PA10629A0Rb at dilution of 1:100 and Alexa Fluor 488-congugated AffiniPure Goat Anti-Rabbit IgG(H+L)
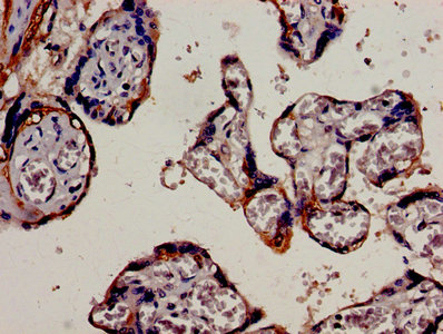
Immunocytochemistry analysis of human placenta tissue using CSB-PA10629A0Rb at dilution of 1:100
Human cytokeratin 18,CK-18 ELISA Kit (CSB-E09172h)
驗證數據
貨號:CSB-E09172h
規格:96T/48T
靈敏度:0.25 ng/mL
檢測范圍:0.625 ng/mL-15 ng/mL
These standard curves are provided for demonstration only. A standard curve should be generated for each set of samples assayed.
KRT18 Antibodies
KRT18 for Homo sapiens (Human)
| 產品貨號 | 產品名稱 | 種屬反應性 | 應用類型 |
|---|---|---|---|
| CSB-PA10629B0Rb | KRT18 Antibody, HRP conjugated | Human | ELISA |
| CSB-PA10629D0Rb | KRT18 Antibody, Biotin conjugated | Human | ELISA, IHC |
| CSB-PA012519GA01HU | KRT18 Antibody | Human,Mouse,Rat | ELISA,WB,IHC |
| CSB-PA10629A0Rb | KRT18 Antibody | Human, Zebrafish | ELISA, WB, IHC, IF |
| CSB-PA044751 | Phospho-KRT18 (Ser33) Antibody | Human | ELISA,WB,IHC |
| CSB-PA132653 | KRT18 (Ab-33) Antibody | Human | ELISA,WB,IHC |
| CSB-PA005823 | KRT18 Antibody | Human | ELISA,WB,IHC,IF |
| CSB-PA000392 | KRT18 Antibody | Human | WB |
| CSB-PA000727 | Phospho-KRT18 (S33) Antibody | Human,Mouse,Rat | WB, IHC, IF, ELISA |
| CSB-PA002029 | KRT18 Antibody | Human,Mouse,Rat | WB, IHC, IP, IF, ELISA |
| CSB-PA002031 | KRT18 Antibody | Human | WB, IHC, IF, ELISA |
| CSB-PA002044 | KRT18 Antibody | Human,Mouse,Rat | WB, IHC, IF, ELISA |
| CSB-PA009670 | Phospho-KRT18 (S52) Antibody | Human | WB, IHC, IF, ELISA |
| CSB-PA594188 | KRT18 Antibody | Human,Mouse,Rat | ELISA,WB,IHC |
| CSB-PA243997 | KRT18 Antibody | Human,Mouse,Rat | ELISA,WB,IHC |
KRT18 for H, M, R
| 產品貨號 | 產品名稱 | 種屬反應性 | 應用類型 |
|---|---|---|---|
| CSB-MA000253 | KRT18 Monoclonal Antibody | Human,Mouse,Rat | ELISA,WB,IHC,IF |
| CSB-MA000256 | KRT18 Monoclonal Antibody | Human,Mouse,Rat | ELISA,WB |
KRT18 for H, M
| 產品貨號 | 產品名稱 | 種屬反應性 | 應用類型 |
|---|---|---|---|
| CSB-MA000255 | KRT18 Monoclonal Antibody | Human,Mouse | ELISA,WB |
KRT18 for Mus musculus (Mouse)
| 產品貨號 | 產品名稱 | 種屬反應性 | 應用類型 |
|---|---|---|---|
| CSB-PA012519LA01MO | Krt18 Antibody | Mouse, Human | ELISA, WB, IHC |
| CSB-PA012519LB01MO | Krt18 Antibody, HRP conjugated | Mouse | ELISA |
| CSB-PA012519LC01MO | Krt18 Antibody, FITC conjugated | Mouse | |
| CSB-PA012519LD01MO | Krt18 Antibody, Biotin conjugated | Mouse | ELISA |
KRT18 Proteins
KRT18 Proteins for Mus musculus (Mouse)
| 產品貨號 | 產品名稱 | 來源 |
|---|---|---|
| CSB-YP012519MO CSB-EP012519MO CSB-BP012519MO CSB-EP012519MO-B |
Recombinant Mouse Keratin, type I cytoskeletal 18 (Krt18) | Yeast E.coli Baculovirus In Vivo Biotinylation in E.coli |
KRT18 Proteins for Homo sapiens (Human)
| 產品貨號 | 產品名稱 | 來源 |
|---|---|---|
| CSB-YP012519HU CSB-EP012519HU-B |
Recombinant Human Keratin, type I cytoskeletal 18 (KRT18) | Yeast In Vivo Biotinylation in E.coli |
| CSB-EP012519HU2 | Recombinant Human KeRatin, type I cytoskeletal 18 (KRT18), partial | E.coli |
| CSB-EP012519HU1 | Recombinant Human KeRatin, type I cytoskeletal 18 (KRT18), partial | E.coli |
| CSB-EP012519HU | Recombinant Human Keratin, type I cytoskeletal 18 (KRT18) | E.coli |
| CSB-MP012519HU | Recombinant Human Keratin, type I cytoskeletal 18 (KRT18) | Mammalian cell |
| CSB-EP012519HUe1 | Recombinant Human Keratin, type I cytoskeletal 18 (KRT18) | E.coli |
| CSB-BP012519HU | Recombinant Human Keratin, type I cytoskeletal 18 (KRT18) | Baculovirus |
| CSB-EP012519HUc7 | Recombinant Human Keratin, type I cytoskeletal 18 (KRT18) | E.coli |
| CSB-MP012519HU3 | Recombinant Human Keratin, type I cytoskeletal 18(KRT18), partial | Mammalian cell |
KRT18 Proteins for Oncorhynchus mykiss (Rainbow trout) (Salmo gairdneri)
| 產品貨號 | 產品名稱 | 來源 |
|---|---|---|
| CSB-YP525221OEI CSB-EP525221OEI CSB-BP525221OEI CSB-MP525221OEI CSB-EP525221OEI-B |
Recombinant Oncorhynchus mykiss Keratin, type I cytoskeletal 18 (krt18) | Yeast E.coli Baculovirus Mammalian cell In Vivo Biotinylation in E.coli |
KRT18 Proteins for Scyliorhinus stellaris (Nursehound) (Greater spotted dogfish)
| 產品貨號 | 產品名稱 | 來源 |
|---|---|---|
| CSB-YP528812SYB CSB-EP528812SYB CSB-BP528812SYB CSB-MP528812SYB CSB-EP528812SYB-B |
Recombinant Scyliorhinus stellaris Keratin, type I cytoskeletal 18 (krt18) | Yeast E.coli Baculovirus Mammalian cell In Vivo Biotinylation in E.coli |
KRT18 Proteins for Rattus norvegicus (Rat)
| 產品貨號 | 產品名稱 | 來源 |
|---|---|---|
| CSB-YP685592RA CSB-EP685592RA CSB-BP685592RA CSB-EP685592RA-B |
Recombinant Rat Keratin, type I cytoskeletal 18 (Krt18) | Yeast E.coli Baculovirus In Vivo Biotinylation in E.coli |
KRT18 Proteins for Protopterus aethiopicus (Marbled lungfish)
| 產品貨號 | 產品名稱 | 來源 |
|---|---|---|
| CSB-YP705521PSV CSB-EP705521PSV CSB-BP705521PSV CSB-MP705521PSV CSB-EP705521PSV-B |
Recombinant Protopterus aethiopicus Keratin, type I cytoskeletal 18 (krt18) | Yeast E.coli Baculovirus Mammalian cell In Vivo Biotinylation in E.coli |
KRT18 Proteins for Acipenser baerii (Siberian sturgeon)
| 產品貨號 | 產品名稱 | 來源 |
|---|---|---|
| CSB-YP745822AAAJ CSB-EP745822AAAJ CSB-BP745822AAAJ CSB-MP745822AAAJ CSB-EP745822AAAJ-B |
Recombinant Acipenser baerii Keratin, type I cytoskeletal 18 (krt18) | Yeast E.coli Baculovirus Mammalian cell In Vivo Biotinylation in E.coli |
KRT18 Proteins for Xenopus tropicalis (Western clawed frog) (Silurana tropicalis)
| 產品貨號 | 產品名稱 | 來源 |
|---|---|---|
| CSB-YP764749XBF CSB-EP764749XBF CSB-BP764749XBF CSB-MP764749XBF CSB-EP764749XBF-B |
Recombinant Xenopus tropicalis Keratin, type I cytoskeletal 18 (krt18) | Yeast E.coli Baculovirus Mammalian cell In Vivo Biotinylation in E.coli |
KRT18 Proteins for Danio rerio (Zebrafish) (Brachydanio rerio)
| 產品貨號 | 產品名稱 | 來源 |
|---|---|---|
| CSB-YP772048DIL CSB-EP772048DIL CSB-BP772048DIL CSB-MP772048DIL CSB-EP772048DIL-B |
Recombinant Danio rerio Keratin, type I cytoskeletal 18 (krt18) | Yeast E.coli Baculovirus Mammalian cell In Vivo Biotinylation in E.coli |
KRT18 ELISA Kit
KRT18 ELISA Kit for Mus musculus (Mouse)
| 產品貨號 | 產品名稱 | 樣本類型 | 靈敏度 |
|---|---|---|---|
| CSB-E17158m | Mouse Keratin, type I cytoskeletal 18(KRT18) ELISA kit | serum, plasma | 0.039 ng/mL |
KRT18 ELISA Kit for Rattus norvegicus (Rat)
| 產品貨號 | 產品名稱 | 樣本類型 | 靈敏度 |
|---|---|---|---|
| CSB-EQ027319RA | Rat Keratin, type I cytoskeletal 18(KRT18) ELISA kit | serum, plasma,tissue homogenates | 0.23 ng/mL |
KRT18 ELISA Kit for Homo sapiens (Human)
| 產品貨號 | 產品名稱 | 樣本類型 | 靈敏度 |
|---|---|---|---|
| CSB-E09172h | Human cytokeratin 18,CK-18 ELISA Kit | serum, plasma, tissue homogenates, cell lysates, cell culture supernates | 0.25 ng/mL |






