KRAS
KRAS,即Kirsten大鼠肉瘤病毒癌基因同源物”,別名KRAS4A和KRAS4B,這兩種變體來源于同一基因的不同剪接形式。KRAS基因編碼的蛋白質屬于RAS超家族的小GTP酶,是一種在細胞內信號傳導途徑中起關鍵作用的分子開關。它通過與鳥嘌呤核苷二磷酸(GDP)或鳥嘌呤核苷三磷酸(GTP)結合,來調節自身的活性狀態。在正常細胞中,KRAS受到上游信號如EGFR激活的嚴格控制,其活性周期性地在激活和失活之間轉換,以維持細胞內環境的穩定。KRAS在生物學上的意義非常重要,它參與調控細胞的生長、分化、存活和遷移等關鍵生理過程。KRAS蛋白通過激活包括RAF-MEK-ERK(MAPK)通路、PI3K-AKT通路以及Ral-GEFs通路在內的多條下游信號通路,影響細胞的生理功能。當KRAS發生突變時,如常見的G12D、G12V、G13D等,它將被鎖定在持續激活狀態,導致細胞信號傳導失衡,促進腫瘤細胞的無序增殖和存活,與多種腫瘤的發生發展密切相關。因此,KRAS是腫瘤治療中一個極具挑戰性和重要性的靶點,針對KRAS突變的靶向治療正在成為癌癥治療研究的熱點。
熱銷產品
KRAS Antibody (CSB-PA13967A0Rb)
驗證數據
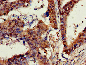
Immunohistochemistry of paraffin-embedded human ovarian cancer using CSB-PA13967A0Rb at dilution of 1:100
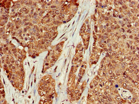
Immunohistochemistry of paraffin-embedded human colon cancer using CSB-PA13967A0Rb at dilution of 1:100
Immunofluorescent analysis of HepG2 cells using CSB-PA13967A0Rb at dilution of 1:100 and Alexa Fluor 488-congugated AffiniPure Goat Anti-Rabbit IgG(H+L)
Human GTPase KRas(KRAS) ELISA kit (CSB-EL012493HU)
驗證數據
貨號:CSB-EL012493HU
規格:96T/48T
靈敏度:5.8 pg/mL
檢測范圍:23.5 pg/mL-1500 pg/mL
These standard curves are provided for demonstration only. A standard curve should be generated for each set of samples assayed.
KRAS Antibodies
KRAS for Homo sapiens (Human)
| 產品貨號 | 產品名稱 | 種屬反應性 | 應用類型 |
|---|---|---|---|
| CSB-PA13969C0Rb | KRAS Antibody, FITC conjugated | Human | |
| CSB-PA012493GA01HU | KRAS Antibody | Human,Mouse,Rat | ELISA,WB,IHC |
| CSB-PA13967A0Rb | KRAS Antibody | Human | ELISA, IHC, IF |
| CSB-PA13967B0Rb | KRAS Antibody, HRP conjugated | Human | ELISA |
| CSB-PA13967C0Rb | KRAS Antibody, FITC conjugated | Human | |
| CSB-PA13967D0Rb | KRAS Antibody, Biotin conjugated | Human | ELISA |
| CSB-PA13969A0Rb | KRAS Antibody | Human, Mouse | ELISA, WB, IHC, IF |
KRAS Proteins
KRAS Proteins for Mus musculus (Mouse)
| 產品貨號 | 產品名稱 | 來源 |
|---|---|---|
| CSB-YP012493MO CSB-EP012493MO CSB-BP012493MO CSB-MP012493MO CSB-EP012493MO-B |
Recombinant Mouse GTPase KRas (Kras) | Yeast E.coli Baculovirus Mammalian cell In Vivo Biotinylation in E.coli |
KRAS Proteins for Homo sapiens (Human)
| 產品貨號 | 產品名稱 | 來源 |
|---|---|---|
| CSB-EP012493HU CSB-BP012493HU CSB-MP012493HU CSB-EP012493HU-B |
Recombinant Human GTPase KRas (KRAS) | E.coli Baculovirus Mammalian cell In Vivo Biotinylation in E.coli |
| CSB-EP012493HU1 | Recombinant Human GTPase KRas (KRAS), partial | E.coli |
| CSB-YP012493HU(F2)(M) | Recombinant Human GTPase KRas (KRAS) (G13D), partial | Yeast |
KRAS Proteins for Rattus norvegicus (Rat)
| 產品貨號 | 產品名稱 | 來源 |
|---|---|---|
| CSB-YP012493RA CSB-EP012493RA CSB-BP012493RA CSB-MP012493RA CSB-EP012493RA-B |
Recombinant Rat GTPase KRas (Kras) | Yeast E.coli Baculovirus Mammalian cell In Vivo Biotinylation in E.coli |
KRAS Proteins for Meleagris gallopavo (Common turkey)
| 產品貨號 | 產品名稱 | 來源 |
|---|---|---|
| CSB-YP012493MQV CSB-EP012493MQV CSB-BP012493MQV CSB-MP012493MQV CSB-EP012493MQV-B |
Recombinant Meleagris gallopavo GTPase KRas (KRAS) | Yeast E.coli Baculovirus Mammalian cell In Vivo Biotinylation in E.coli |
KRAS Proteins for Cyprinus carpio (Common carp)
| 產品貨號 | 產品名稱 | 來源 |
|---|---|---|
| CSB-YP012493EQE CSB-EP012493EQE CSB-BP012493EQE CSB-MP012493EQE CSB-EP012493EQE-B |
Recombinant Cyprinus carpio GTPase KRas (kras) | Yeast E.coli Baculovirus Mammalian cell In Vivo Biotinylation in E.coli |
KRAS Proteins for Kryptolebias marmoratus (Mangrove killifish) (Rivulus marmoratus)
| 產品貨號 | 產品名稱 | 來源 |
|---|---|---|
| CSB-YP012493KAAB CSB-EP012493KAAB CSB-BP012493KAAB CSB-MP012493KAAB CSB-EP012493KAAB-B |
Recombinant Kryptolebias marmoratus GTPase KRas (kras) | Yeast E.coli Baculovirus Mammalian cell In Vivo Biotinylation in E.coli |
KRAS ELISA Kit
KRAS ELISA Kit for Homo sapiens (Human)
| 產品貨號 | 產品名稱 | 樣本類型 | 靈敏度 |
|---|---|---|---|
| CSB-EL012493HU | Human GTPase KRas(KRAS) ELISA kit | serum, plasma, tissue homogenates | 5.8 pg/mL |






