KLRD1
KLRD1,全稱 Killer Cell Lectin Like Receptor Subfamily D Member 1,常見別名為CD94,是一種主要在自然殺傷細胞表面表達的II型膜蛋白。該蛋白具有外部C末端,參與識別MHC class I HLA-E分子,并在免疫調節中發揮重要作用。KLRD1與NKG2A、NKG2C和NKG2E等蛋白形成異源二聚體,共同參與免疫細胞的識別和功能調節。研究表明,KLRD1的表達與多種自身免疫性疾病和腫瘤相關,如類風濕關節炎、銀屑病、系統性紅斑狼瘡和肺癌等。針對KLRD1的靶向藥物研發正在積極開展中,例如單克隆抗體和免疫檢查點抑制劑等,旨在通過調節KLRD1的表達和功能,從而治療相關疾病。
熱銷產品
Recombinant Human Natural killer cells antigen CD94 (KLRD1), partial (CSB-MP615672HU)
驗證數據
(Tris-Glycine gel) Discontinuous SDS-PAGE (reduced) with 5% enrichment gel and 15% separation gel.
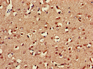
KLRD1 Antibody (CSB-PA615672LA01HU)
驗證數據
Immunohistochemistry of paraffin-embedded human tonsil tissue using CSB-PA615672LA01HU at dilution of 1:100
Immunohistochemistry of paraffin-embedded human brain tissue using CSB-PA615672LA01HU at dilution of 1:100
Immunofluorescent analysis of HepG2 cells using CSB-PA615672LA01HU at dilution of 1:100 and Alexa Fluor 488-congugated AffiniPure Goat Anti-Rabbit IgG(H+L)
KLRD1 Antibodies
KLRD1 for Homo sapiens (Human)
| 產品貨號 | 產品名稱 | 種屬反應性 | 應用類型 |
|---|---|---|---|
| CSB-PA012470GA01HU | KLRD1 Antibody | Human | ELISA,WB |
| CSB-PA615672LA01HU | KLRD1 Antibody | Human | ELISA, IHC, IF |
| CSB-PA615672LC01HU | KLRD1 Antibody, FITC conjugated | Human | |
| CSB-PA615672LD01HU | KLRD1 Antibody, Biotin conjugated | Human | ELISA |
KLRD1 Proteins
KLRD1 Proteins for Rattus norvegicus (Rat)
| 產品貨號 | 產品名稱 | 來源 |
|---|---|---|
| CSB-YP012470RA1 CSB-EP012470RA1 CSB-BP012470RA1 CSB-MP012470RA1 CSB-EP012470RA1-B |
Recombinant Rat Natural killer cells antigen CD94 (Klrd1), partial | Yeast E.coli Baculovirus Mammalian cell In Vivo Biotinylation in E.coli |
| CSB-CF012470RA | Recombinant Rat Natural killer cells antigen CD94 (Klrd1) | in vitro E.coli expression system |
KLRD1 Proteins for Mus musculus (Mouse)
| 產品貨號 | 產品名稱 | 來源 |
|---|---|---|
| CSB-YP012470MO1 CSB-EP012470MO1 CSB-BP012470MO1 CSB-MP012470MO1 CSB-EP012470MO1-B |
Recombinant Mouse Natural killer cells antigen CD94 (Klrd1), partial | Yeast E.coli Baculovirus Mammalian cell In Vivo Biotinylation in E.coli |
| CSB-CF012470MO | Recombinant Mouse Natural killer cells antigen CD94 (Klrd1) | in vitro E.coli expression system |
KLRD1 Proteins for Homo sapiens (Human)
| 產品貨號 | 產品名稱 | 來源 |
|---|---|---|
| CSB-YP615672HU CSB-EP615672HU CSB-BP615672HU CSB-EP615672HU-B |
Recombinant Human Natural killer cells antigen CD94 (KLRD1), partial | Yeast E.coli Baculovirus In Vivo Biotinylation in E.coli |
| CSB-MP615672HU | Recombinant Human Natural killer cells antigen CD94 (KLRD1), partial | Mammalian cell |
KLRD1 Proteins for Canis familiaris (Dog) (Canis lupus familiaris)
| 產品貨號 | 產品名稱 | 來源 |
|---|---|---|
| CSB-YP655045DO CSB-EP655045DO CSB-BP655045DO CSB-MP655045DO CSB-EP655045DO-B |
Recombinant Dog Natural killer cells antigen CD94 (KLRD1), partial | Yeast E.coli Baculovirus Mammalian cell In Vivo Biotinylation in E.coli |
KLRD1 Proteins for Bos taurus (Bovine)
| 產品貨號 | 產品名稱 | 來源 |
|---|---|---|
| CSB-YP768113BO CSB-EP768113BO CSB-BP768113BO CSB-MP768113BO CSB-EP768113BO-B |
Recombinant Bovine Natural killer cells antigen CD94 (KLRD1), partial | Yeast E.coli Baculovirus Mammalian cell In Vivo Biotinylation in E.coli |
KLRD1 Proteins for Pongo pygmaeus (Bornean orangutan)
| 產品貨號 | 產品名稱 | 來源 |
|---|---|---|
| CSB-YP853978EXP CSB-EP853978EXP CSB-BP853978EXP CSB-MP853978EXP CSB-EP853978EXP-B |
Recombinant Pongo pygmaeus Natural killer cells antigen CD94 (KLRD1), partial | Yeast E.coli Baculovirus Mammalian cell In Vivo Biotinylation in E.coli |
KLRD1 Proteins for Macaca mulatta (Rhesus macaque)
| 產品貨號 | 產品名稱 | 來源 |
|---|---|---|
| CSB-YP873550MOW CSB-EP873550MOW CSB-BP873550MOW CSB-MP873550MOW CSB-EP873550MOW-B |
Recombinant Macaca mulatta Natural killer cells antigen CD94 (KLRD1), partial | Yeast E.coli Baculovirus Mammalian cell In Vivo Biotinylation in E.coli |
KLRD1 Proteins for Pan troglodytes (Chimpanzee)
| 產品貨號 | 產品名稱 | 來源 |
|---|---|---|
| CSB-YP882002EQV CSB-EP882002EQV CSB-BP882002EQV CSB-MP882002EQV CSB-EP882002EQV-B |
Recombinant Pan troglodytes Natural killer cells antigen CD94 (KLRD1), partial | Yeast E.coli Baculovirus Mammalian cell In Vivo Biotinylation in E.coli |






