KLK5
KLK5是激肽釋放酶家族中的一種絲氨酸蛋白酶,在人體中發揮著多重功能。它主要參與皮膚的生理脫屑過程,維持皮膚細胞的正常更新。然而,KLK5活性的上調可能引發連續的皮膚脫屑,激活蛋白酶激活受體-2(PAR2),導致促炎細胞因子的釋放,從而破壞表皮屏障功能,與炎癥性皮膚病的發展密切相關。此外,KLK5還可能通過剪切Cathelicidin產生活性形式LL-37,參與到玫瑰痤瘡等疾病的免疫調節過程中。盡管其具體分子結構和直接參與的信號通路尚需深入研究,但KLK5在皮膚健康、細胞增殖、凋亡及免疫調節中的重要作用已不容忽視。
熱銷產品
KLK5 Antibody (CSB-PA897100LA01HU)
驗證數據
Western blot
All lanes: KLK5 antibody at 2μg/ml + MCF-7 whole cell lysate
Secondary
Goat polyclonal to rabbit IgG at 1/10000 dilution
Predicted band size: 32 kDa
Observed band size: 32 kDa
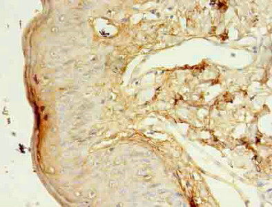
Immunohistochemistry of paraffin-embedded human skin tissue using CSB-PA897100LA01HU at dilution of 1:100
KLK5 Antibodies
KLK5 for Homo sapiens (Human)
| 產品貨號 | 產品名稱 | 種屬反應性 | 應用類型 |
|---|---|---|---|
| CSB-PA012456GA01HU | KLK5 Antibody | Human | ELISA |
| CSB-PA897100LA01HU | KLK5 Antibody | Human | ELISA, WB, IHC |
| CSB-PA897100LC01HU | KLK5 Antibody, FITC conjugated | Human | |
| CSB-PA175566 | KLK5 Antibody | Human,Mouse | ELISA,WB,IHC |
KLK5 Proteins
KLK5 Proteins for Homo sapiens (Human)
| 產品貨號 | 產品名稱 | 來源 |
|---|---|---|
| CSB-YP897100HU CSB-EP897100HU CSB-BP897100HU CSB-MP897100HU CSB-EP897100HU-B |
Recombinant Human Kallikrein-5 (KLK5) | Yeast E.coli Baculovirus Mammalian cell In Vivo Biotinylation in E.coli |
KLK5 ELISA Kit
KLK5 ELISA Kit for Homo sapiens (Human)
| 產品貨號 | 產品名稱 | 樣本類型 | 靈敏度 |
|---|---|---|---|
| CSB-EL012456HU | Human Kallikrein-5(KLK5) ELISA kit | serum, plasma, cell culture supernates, tissue homogenates, saliva | 15.6 pg/mL |






