KITLG
Kitlg,全稱為Kit Ligand,別名包括SCF、MGF、FPFH、DCUA等。它是一種由骨髓微環境中的基質細胞產生的酸性糖蛋白,由兩個相同亞基非共價結合而成。Kitlg蛋白主要在造血過程中發揮作用,參與原始生殖細胞、神經細胞發育以及卵泡發育等過程。其異常表達與多種疾病相關,如家族性進行性高色素沉著癥、神經性耳聾、某些類型的癌癥等。在腫瘤微環境中,Kitlg蛋白的表達與腫瘤細胞的增殖、侵襲和轉移密切相關,是癌癥治療中的潛在藥物靶點。目前,針對Kitlg蛋白的藥物研發主要集中在細胞因子治療和免疫治療領域,例如靶向Kitlg蛋白的單克隆抗體、JAK抑制劑等。這些藥物旨在通過抑制Kitlg蛋白的表達或活性,從而抑制腫瘤細胞的生長和轉移,為癌癥患者提供新的治療選擇。
熱銷產品
Recombinant Human Kit ligand (KITLG), partial (Active) (CSB-MP002061HU1)
驗證數據
(Tris-Glycine gel) Discontinuous SDS-PAGE (reduced) with 5% enrichment gel and 15% separation gel.
Activity
The ED50 as determined by the dose-dependent stimulation of the proliferation of MO7e cells is 1.813-3.203 ng/mL.
The purity of KITLG was greater than 95% as determined by SEC-HPLC
Recombinant Mouse Kit ligand (Kitlg), partial (Active) (CSB-MP012376MO1)
驗證數據
(Tris-Glycine gel) Discontinuous SDS-PAGE (reduced) with 5% enrichment gel and 15% separation gel.
Activity
Measured by its binding ability in a functional ELISA.Immobilized Mouse Kitlg at 2 μg/ml can bind Mouse Kit(CSB-MP012375MO). The EC50 is 15.57-20.95 ng/mL.
Activity
The ED50 as determined by the dose-dependent stimulation of the proliferation of TF-1 cells is 1.691-11.94 ng/mL.
Recombinant Human Kit ligand (KITLG), partial (Active) (CSB-MP002061HU1i9)
驗證數據
(Tris-Glycine gel) Discontinuous SDS-PAGE (reduced) with 5% enrichment gel and 15% separation gel.
Activity
Measured by its binding ability in a functional ELISA.Immobilized Human KIT(CSB-MP012375HU1) at 2 μg/ml can bind Human KITLG. The EC50 is 0.6921-0.8551 ng/mL.
KITLG Recombinant Monoclonal Antibody (CSB-RA183183A0HU)
驗證數據
Western Blot
Positive WB detected in: PC-3 whole cell lysate(30μg), HT-29 whole cell lysate(30μg), K562 whole cell lysate(30μg), Hela whole cell lysate(30μg), A549 whole cell lysate(30μg)
All lanes: SCF antibody at 1:1000
Secondary
Goat polyclonal to rabbit IgG at 1/40000 dilution
Predicted band size: 31 kDa
Observed band size: 40 kDa
Exposure time:1min40s
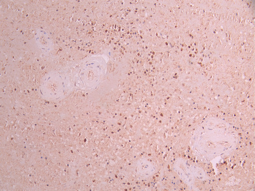
IHC image of CSB-RA183183A0HU diluted at 1:100 and staining in paraffin-embedded human spleen tissue performed on a Leica BondTM system. After dewaxing and hydration, antigen retrieval was mediated by high pressure in a citrate buffer (pH 6.0). Section was blocked with 10% normal goat serum 30min at RT. Then primary antibody (1% BSA) was incubated at 4°C overnight. The primary is detected by a Goat anti-rabbit polymer IgG labeled by HRP and visualized using 0.05% DAB.
Overlay Peak curve showing 786-O cells stained with CSB-RA183183A0HU (red line) at 1:100. The cells were fixed in 4% formaldehyde and permeated by 0.2% TritonX-100 for 10min. Then 10% normal goat serum to block non-specific protein-protein interactions followed by the antibody (1ug/1*106cells) for 45min at 4℃. The secondary antibody used was FITC-conjugated goat anti-rabbit IgG (H+L) at 1/200 dilution for 35min at 4℃.Control antibody (green line) was Rabbit IgG (1ug/1*106cells) used under the same conditions. Acquisition of >10,000 events was performed.
KITLG Antibodies
KITLG for Homo sapiens (Human)
| 產品貨號 | 產品名稱 | 種屬反應性 | 應用類型 |
|---|---|---|---|
| CSB-PA012376ESR2HU | KITLG Antibody | Human | ELISA, WB |
| CSB-PA122514 | KITLG Antibody | Human | ELISA,WB |
| CSB-RA183183A0HU | KITLG Recombinant Monoclonal Antibody | Human | ELISA, WB, IHC, FC |
KITLG Proteins
KITLG Proteins for Ovis aries (Sheep)
| 產品貨號 | 產品名稱 | 來源 |
|---|---|---|
| CSB-YP012376SH1 CSB-EP012376SH1 CSB-BP012376SH1 CSB-MP012376SH1 CSB-EP012376SH1-B |
Recombinant Sheep Kit ligand (KITLG), partial | Yeast E.coli Baculovirus Mammalian cell In Vivo Biotinylation in E.coli |
| CSB-CF012376SH | Recombinant Sheep Kit ligand (KITLG) | in vitro E.coli expression system |
KITLG Proteins for Felis catus (Cat) (Felis silvestris catus)
| 產品貨號 | 產品名稱 | 來源 |
|---|---|---|
| CSB-YP012376CA1 CSB-EP012376CA1 CSB-BP012376CA1 CSB-MP012376CA1 CSB-EP012376CA1-B |
Recombinant Cat Kit ligand (KITLG), partial | Yeast E.coli Baculovirus Mammalian cell In Vivo Biotinylation in E.coli |
| CSB-CF012376CA | Recombinant Cat Kit ligand (KITLG) | in vitro E.coli expression system |
KITLG Proteins for Rattus norvegicus (Rat)
| 產品貨號 | 產品名稱 | 來源 |
|---|---|---|
| CSB-YP012376RA1 CSB-EP012376RA1 CSB-BP012376RA1 CSB-MP012376RA1 CSB-EP012376RA1-B |
Recombinant Rat Kit ligand (Kitlg), partial | Yeast E.coli Baculovirus Mammalian cell In Vivo Biotinylation in E.coli |
| CSB-CF012376RA | Recombinant Rat Kit ligand (Kitlg) | in vitro E.coli expression system |
KITLG Proteins for Mus musculus (Mouse)
| 產品貨號 | 產品名稱 | 來源 |
|---|---|---|
| CSB-EP012376MO1 CSB-BP012376MO1 CSB-EP012376MO1-B |
Recombinant Mouse Kit ligand (Kitlg), partial | E.coli Baculovirus In Vivo Biotinylation in E.coli |
| CSB-AP003151MO | Recombinant Mouse Kit ligand protein (Kitlg), partial (Active) | E.Coli |
| CSB-CF012376MO | Recombinant Mouse Kit ligand (Kitlg) | in vitro E.coli expression system |
| CSB-AP004071MO | Recombinant Mouse Kit ligand (Kitlg), partial (Active) | E.coli |
KITLG Proteins for Mustela vison (American mink) (Neovison vison)
| 產品貨號 | 產品名稱 | 來源 |
|---|---|---|
| CSB-YP012376MVE CSB-EP012376MVE CSB-BP012376MVE CSB-MP012376MVE CSB-EP012376MVE-B |
Recombinant Mustela vison Kit ligand (KITLG), partial | Yeast E.coli Baculovirus Mammalian cell In Vivo Biotinylation in E.coli |
KITLG Proteins for Coturnix coturnix japonica (Japanese quail) (Coturnix japonica)
| 產品貨號 | 產品名稱 | 來源 |
|---|---|---|
| CSB-YP012376DXJ CSB-EP012376DXJ CSB-BP012376DXJ CSB-MP012376DXJ CSB-EP012376DXJ-B |
Recombinant Coturnix coturnix japonica Kit ligand (KITLG), partial | Yeast E.coli Baculovirus Mammalian cell In Vivo Biotinylation in E.coli |
KITLG Proteins for Capra hircus (Goat)
| 產品貨號 | 產品名稱 | 來源 |
|---|---|---|
| CSB-YP012376GO CSB-EP012376GO CSB-BP012376GO CSB-MP012376GO CSB-EP012376GO-B |
Recombinant Goat Kit ligand (KITLG), partial | Yeast E.coli Baculovirus Mammalian cell In Vivo Biotinylation in E.coli |
KITLG Proteins for Equus caballus (Horse)
| 產品貨號 | 產品名稱 | 來源 |
|---|---|---|
| CSB-YP012376HO CSB-EP012376HO CSB-BP012376HO CSB-MP012376HO CSB-EP012376HO-B |
Recombinant Horse Kit ligand (KITLG), partial | Yeast E.coli Baculovirus Mammalian cell In Vivo Biotinylation in E.coli |
KITLG Proteins for Gallus gallus (Chicken)
| 產品貨號 | 產品名稱 | 來源 |
|---|---|---|
| CSB-YP012376CH CSB-EP012376CH CSB-BP012376CH CSB-MP012376CH CSB-EP012376CH-B |
Recombinant Chicken Kit ligand (KITLG), partial | Yeast E.coli Baculovirus Mammalian cell In Vivo Biotinylation in E.coli |
KITLG Proteins for Bos taurus (Bovine)
| 產品貨號 | 產品名稱 | 來源 |
|---|---|---|
| CSB-YP012376BO CSB-BP012376BO CSB-MP012376BO CSB-EP012376BO-B |
Recombinant Bovine Kit ligand (KITLG), partial | Yeast Baculovirus Mammalian cell In Vivo Biotinylation in E.coli |
KITLG Proteins for Sus scrofa (Pig)
| 產品貨號 | 產品名稱 | 來源 |
|---|---|---|
| CSB-YP012376PI CSB-EP012376PI CSB-BP012376PI CSB-MP012376PI CSB-EP012376PI-B |
Recombinant Pig Kit ligand (KITLG), partial | Yeast E.coli Baculovirus Mammalian cell In Vivo Biotinylation in E.coli |
KITLG Proteins for Homo sapiens (Human)
| 產品貨號 | 產品名稱 | 來源 |
|---|---|---|
| CSB-EP012376HU | Recombinant Human Kit ligand (KITLG), partial | E.coli |
| CSB-AP002061HU | Recombinant Human Kit ligand protein (KITLG), partial (Active) | E.Coli |
| CSB-CF012376HU(A4) | Recombinant Human Kit ligand (KITLG) | in vitro E.coli expression system |
| CSB-AP003741HU | Recombinant Human Kit ligand (KITLG), partial (Active) | E.coli |
| CSB-AP003881HU | Recombinant Human Kit ligand (KITLG), partial (Active) | Mammalian cell |
| CSB-MP002061HU1h6 | Recombinant Human Kit ligand (KITLG), partial | Mammalian cell |
| CSB-MP002061HU1 | Recombinant Human Kit ligand (KITLG), partial (Active) | Mammalian cell |
| CSB-MP002061HU-WD | Recombinant Human Kit ligand (KITLG),Partial (Active) | Mammalian cell |
KITLG ELISA Kit
KITLG ELISA Kit for Homo sapiens (Human)
| 產品貨號 | 產品名稱 | 樣本類型 | 靈敏度 |
|---|---|---|---|
| CSB-E04718h | Human Stem cell factor/mast cell growth factor,SCF/MGF ELISA kit | serum, plasma, cell culture supernates | 0.11 ng/mL |
KITLG ELISA Kit for Mus musculus (Mouse)
| 產品貨號 | 產品名稱 | 樣本類型 | 靈敏度 |
|---|---|---|---|
| CSB-E04719m | Mouse Stem cell factor/mast cell growth factor,SCF/MGF ELISA kit | serum, plasma, tissue homogenates | 0.78 pg/mL |
KITLG ELISA Kit for Rattus norvegicus (Rat)
| 產品貨號 | 產品名稱 | 樣本類型 | 靈敏度 |
|---|---|---|---|
| CSB-E04720r | Rat Stem cell factor/mast cell growth factor,SCF/MGF ELISA kit | serum, plasma, tissue homogenates | 1.56 pg/mL |






