KIDINS220
KIDINS220,全名為kinase D-interacting substrate 220,常見別稱為ankyrin repeat-rich membrane-spanning protein(ARMS)。該蛋白主要在神經系統中表達,參與神經元細胞的存活、分化和突觸可塑性調控。KIDINS220與膜受體及細胞溶質蛋白相互作用,影響神經元功能。研究表明,KIDINS220在神經退行性疾病如阿爾茨海默病和帕金森病中發揮重要作用,其異常表達可能與疾病進展相關。此外,KIDINS220還與癌癥發生有關,特別是卵巢癌和子宮癌,抑制其磷酸鹽輸出可能成為治療癌癥的新策略。目前,針對KIDINS220的藥物研發正在積極探索,例如通過調節XPR1:KIDINS220蛋白復合物的磷酸化狀態來治療癌癥。相關研究為開發針對神經退行性疾病和癌癥的藥物提供了新的靶點。
熱銷產品
KIDINS220 Antibody (CSB-PA012306LA01HU)
驗證數據
Western Blot
Positive WB detected in: Hela whole cell lysate, HEK293 whole cell lysate
All lanes: KIDINS220 antibody at 3µg/ml
Secondary
Goat polyclonal to rabbit IgG at 1/50000 dilution
Predicted band size: 197, 186, 116, 195, 60 kDa
Observed band size: 197 kDa
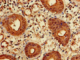
Immunohistochemistry of paraffin-embedded human colon cancer using CSB-PA012306LA01HU at dilution of 1:100
Immunohistochemistry of paraffin-embedded human appendix tissue using CSB-PA012306LA01HU at dilution of 1:100
Immunofluorescent analysis of HepG2 cells using CSB-PA012306LA01HU at dilution of 1:100 and Alexa Fluor 488-congugated AffiniPure Goat Anti-Rabbit IgG(H+L)
KIDINS220 Antibodies
KIDINS220 for Homo sapiens (Human)
| 產品貨號 | 產品名稱 | 種屬反應性 | 應用類型 |
|---|---|---|---|
| CSB-PA012306GA01HU | KIDINS220 Antibody | Human,Mouse,Rat | ELISA,WB |
| CSB-PA928650 | KIDINS220 Antibody | Human,Rat | ELISA,WB |
| CSB-PA012306LA01HU | KIDINS220 Antibody | Human | ELISA, WB, IHC, IF |
| CSB-PA012306LB01HU | KIDINS220 Antibody, HRP conjugated | Human | ELISA |
| CSB-PA012306LC01HU | KIDINS220 Antibody, FITC conjugated | Human |
KIDINS220 Proteins
KIDINS220 Proteins for Rattus norvegicus (Rat)
| 產品貨號 | 產品名稱 | 來源 |
|---|---|---|
| CSB-YP872116RA CSB-EP872116RA CSB-BP872116RA CSB-MP872116RA CSB-EP872116RA-B |
Recombinant Rat Kinase D-interacting substrate of 220 kDa (Kidins220), partial | Yeast E.coli Baculovirus Mammalian cell In Vivo Biotinylation in E.coli |
KIDINS220 Proteins for Homo sapiens (Human)
| 產品貨號 | 產品名稱 | 來源 |
|---|---|---|
| CSB-YP890930HU CSB-EP890930HU CSB-BP890930HU CSB-MP890930HU CSB-EP890930HU-B |
Recombinant Human Kinase D-interacting substrate of 220 kDa (KIDINS220), partial | Yeast E.coli Baculovirus Mammalian cell In Vivo Biotinylation in E.coli |






