KDR
KDR,即Kinase Domain-containing Receptor,也被稱為血管內皮生長因子受體2。KDR是一種跨膜受體酪氨酸激酶,主要在血管內皮細胞表達,參與調控血管生成和維護血管的完整性。其作用機制涉及與VEGF家族成員如VEGFA、VEGFC和VEGFD的結合,激活后引發受體二聚化和自身酪氨酸激酶活性,進而觸發下游信號通路,如PI3K-Akt、Ras-Raf-MEK-ERK等,這些通路促進內皮細胞的增殖、遷移和血管通透性的增加。KDR在胚胎發育、組織修復、傷口愈合中發揮關鍵作用,是正常生理功能中必不可少的。同時,KDR的功能在多種病理狀態下也至關重要,尤其是在腫瘤血管生成中,其過度激活與多種腫瘤的進展、轉移密切相關,使其成為癌癥治療的重要靶點。此外,KDR還在某些心血管疾病中發揮作用,是研究和治療相關疾病的潛在靶點。
熱銷產品
驗證數據
(Tris-Glycine gel) Discontinuous SDS-PAGE (reduced) with 5% enrichment gel and 15% separation gel.
Activity
Measured by its binding ability in a functional ELISA.Immobilized Human VEGFA(CSB-MP025833HU(F4)) at 2 μg/ml can bind Human KDR. The EC50 is 11.19-12.63 ng/mL.
The purity of KDR was greater than 90% as determined by SEC-HPLC
Recombinant Human Vascular endothelial growth factor receptor 2 (KDR), partial (CSB-EP012145HU)
驗證數據
(Tris-Glycine gel) Discontinuous SDS-PAGE (reduced) with 5% enrichment gel and 15% separation gel.
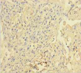
KDR Antibody (CSB-PA07279A0Rb)
驗證數據
Immunohistochemistry of paraffin-embedded human liver cancer using CSB-PA07279A0Rb at dilution of 1:100
Immunohistochemistry of paraffin-embedded human lung cancer using CSB-PA07279A0Rb at dilution of 1:100
KDR Antibodies
KDR for Homo sapiens (Human)
| 產品貨號 | 產品名稱 | 種屬反應性 | 應用類型 |
|---|---|---|---|
| CSB-PA07279A0Rb | KDR Antibody | Human | ELISA, IHC |
| CSB-PA07279B0Rb | KDR Antibody, HRP conjugated | Human | ELISA |
| CSB-PA07279C0Rb | KDR Antibody, FITC conjugated | Human | |
| CSB-PA07279D0Rb | KDR Antibody, Biotin conjugated | Human | ELISA |
| CSB-PA012145GA01HU | KDR Antibody | Human,Mouse,Rat | ELISA,WB |
| CSB-PA898056 | Phospho-KDR (Tyr1175) Antibody | Human,Mouse,Rat | ELISA,IHC,IF |
| CSB-PA917275 | Phospho-KDR (Tyr1214) Antibody | Human,Mouse | ELISA,WB,IHC,IF |
| CSB-PA200726 | Phospho-KDR (Tyr951) Antibody | Human,Mouse,Rat | ELISA,WB,IHC,IF |
| CSB-PA905984 | KDR (Ab-1175) Antibody | Human,Mouse,Rat | ELISA,WB,IHC,IF |
| CSB-PA274392 | KDR (Ab-1214) Antibody | Human,Mouse | ELISA,WB,IHC,IF |
| CSB-PA920878 | KDR (Ab-951) Antibody | Human,Mouse,Rat | ELISA,WB,IHC,IF |
| CSB-PA444815 | Phospho-KDR (Tyr1059) Antibody | Human,Mouse | ELISA,WB |
| CSB-PA070091 | KDR (Ab-1059) Antibody | Human,Mouse | ELISA,WB |
| CSB-PA000527 | Phospho-KDR (Y1175) Antibody | Human,Mouse,Rat | WB, IHC, ELISA |
| CSB-PA000528 | Phospho-KDR (Y1214) Antibody | Human,Mouse,Rat | WB, IHC, IF, ELISA |
| CSB-PA002542 | KDR Antibody | Human,Mouse | WB, IHC, IF, ELISA |
| CSB-PA002543 | KDR Antibody | Human,Mouse,Rat | WB, ELISA |
| CSB-PA009633 | Phospho-KDR (Y951) Antibody | Human,Mouse | WB, IHC, IF, ELISA |
| CSB-PA009634 | Phospho-KDR (Y1059) Antibody | Human,Mouse,Rat | WB, ELISA |
| CSB-PA009638 | KDR Antibody | Human,Mouse,Rat | WB, IHC, IF, ELISA |
| CSB-PA009642 | KDR Antibody | Human,Mouse,Rat | WB, IHC, ELISA |
| CSB-PA490567 | KDR Antibody | Human,Mouse,Rat | IHC,ELISA |
| CSB-RA012145MA1HU | KDR Recombinant Monoclonal Antibody | Human | ELISA, IHC |
KDR Proteins
KDR Proteins for Mus musculus (Mouse)
| 產品貨號 | 產品名稱 | 來源 |
|---|---|---|
| CSB-YP012145MO CSB-EP012145MO CSB-BP012145MO CSB-MP012145MO CSB-EP012145MO-B |
Recombinant Mouse Vascular endothelial growth factor receptor 2 (Kdr), partial | Yeast E.coli Baculovirus Mammalian cell In Vivo Biotinylation in E.coli |
KDR Proteins for Homo sapiens (Human)
| 產品貨號 | 產品名稱 | 來源 |
|---|---|---|
| CSB-YP012145HU CSB-BP012145HU CSB-EP012145HU-B |
Recombinant Human Vascular endothelial growth factor receptor 2 (KDR), partial | Yeast Baculovirus In Vivo Biotinylation in E.coli |
| CSB-EP012145HU | Recombinant Human Vascular endothelial growth factor receptor 2 (KDR), partial | E.coli |
| CSB-MP012145HU | Recombinant Human Vascular endothelial growth factor receptor 2 (KDR), partial (Active) | Mammalian cell |
| CSB-MP012145HUd7 | Recombinant Human Vascular endothelial growth factor receptor 2 (KDR),partial | Mammalian cell |
KDR Proteins for Rattus norvegicus (Rat)
| 產品貨號 | 產品名稱 | 來源 |
|---|---|---|
| CSB-YP012145RA CSB-EP012145RA CSB-BP012145RA CSB-MP012145RA CSB-EP012145RA-B |
Recombinant Rat Vascular endothelial growth factor receptor 2 (Kdr), partial | Yeast E.coli Baculovirus Mammalian cell In Vivo Biotinylation in E.coli |
KDR Proteins for Coturnix coturnix japonica (Japanese quail) (Coturnix japonica)
| 產品貨號 | 產品名稱 | 來源 |
|---|---|---|
| CSB-YP346773DXJ CSB-EP346773DXJ CSB-BP346773DXJ CSB-MP346773DXJ CSB-EP346773DXJ-B |
Recombinant Coturnix coturnix japonica Vascular endothelial growth factor receptor 2 (KDR), partial | Yeast E.coli Baculovirus Mammalian cell In Vivo Biotinylation in E.coli |
KDR Proteins for Danio rerio (Zebrafish) (Brachydanio rerio)
| 產品貨號 | 產品名稱 | 來源 |
|---|---|---|
| CSB-YP708034DIL CSB-EP708034DIL CSB-BP708034DIL CSB-MP708034DIL CSB-EP708034DIL-B |
Recombinant Danio rerio Vascular endothelial growth factor receptor 2 (kdr), partial | Yeast E.coli Baculovirus Mammalian cell In Vivo Biotinylation in E.coli |
KDR ELISA Kit
KDR ELISA Kit for Homo sapiens (Human)
| 產品貨號 | 產品名稱 | 樣本類型 | 靈敏度 |
|---|---|---|---|
| CSB-E04763h | Human Vascular endothelial cell growth factor receptor 2,VEGFR-2/Flk-1 ELISA kit | serum, plasma, tissue homogenates | 0.098 ng/mL |
KDR ELISA Kit for Mus musculus (Mouse)
| 產品貨號 | 產品名稱 | 樣本類型 | 靈敏度 |
|---|---|---|---|
| CSB-E04764m | Mouse Vascular endothelial cell growth factor receptor 2,VEGFR-2/Flk-1 ELISA kit | serum,plasma, tissue homogenates | 1.95 pg/mL |
KDR ELISA Kit for Rattus norvegicus (Rat)
| 產品貨號 | 產品名稱 | 樣本類型 | 靈敏度 |
|---|---|---|---|
| CSB-E07348r | Rat Vascular endothelial cell growth factor receptor 2,VEGFR-2/Flk-1 ELISA kit | serum, plasma, tissue homogenates | 0.39 ng/mL |






