KDM1A
KDM1A,即組蛋白賴氨酸特異性去甲基化酶1A,別名LSD1、AOF2、BHC110。它是一種在人體中由KDM1A基因編碼的酶,屬于賴氨酸特異性去甲基化酶家族成員。KDM1A在多種生物學過程中發揮關鍵作用,包括信號傳導、染色體重構、胚胎發育、造血和糖脂代謝等。其作用機制主要是通過去除組蛋白H3上第4位和第9位賴氨酸殘基的單、雙甲基化修飾,以及非組蛋白底物上的甲基化修飾,從而調控基因的表達。KDM1A的活性依賴于黃素腺嘌呤二核苷酸(FAD)作為輔酶,通過催化反應將甲基從底物上轉移至FAD,生成不穩定的亞胺中間體,最終水解為甲醛和水,從而實現去甲基化作用。KDM1A在生物學上的意義非常廣泛,它參與多種信號通路的調控,如與低氧誘導因子HIF1α協同作用維持腫瘤細胞的糖酵解過程,影響腫瘤的發生發展。KDM1A還能通過與其他蛋白質復合物、長非編碼RNAs、微小RNAs等相互作用,調控細胞內的癌癥發生過程。此外,KDM1A在多種腫瘤中發揮著促癌基因的作用,其表達與腫瘤的發生發展密切相關,尤其是在維持腫瘤細胞的沃伯格效應中扮演重要角色。因此,KDM1A是腫瘤臨床診斷和治療的重要潛在靶點。
熱銷產品
KDM1A Recombinant Monoclonal Antibody (CSB-RA222329A0HU)
驗證數據
Western Blot
Positive WB detected in: MCF-7 whole cell lysate, Jurkat whole cell lysate, PC-3 whole cell lysate, K562 whole cell lysate
All lanes: KDM1A antibody at 1:2000
Secondary
Goat polyclonal to rabbit IgG at 1/50000 dilution
Predicted band size: 93, 96 kDa
Observed band size: 110 kDa
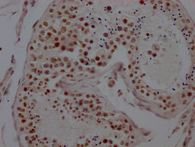
IHC image of CSB-RA222329A0HU diluted at 1:100 and staining in paraffin-embedded human testis tissue performed on a Leica BondTM system. After dewaxing and hydration, antigen retrieval was mediated by high pressure in a citrate buffer (pH 6.0). Section was blocked with 10% normal goat serum 30min at RT. Then primary antibody (1% BSA) was incubated at 4℃ overnight. The primary is detected by a Goat anti-rabbit IgG polymer labeled by HRP and visualized using 0.05% DAB.
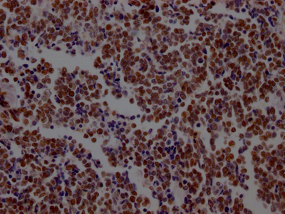
IHC image of CSB-RA222329A0HU diluted at 1:100 and staining in paraffin-embedded human lung cancer performed on a Leica BondTM system. After dewaxing and hydration, antigen retrieval was mediated by high pressure in a citrate buffer (pH 6.0). Section was blocked with 10% normal goat serum 30min at RT. Then primary antibody (1% BSA) was incubated at 4℃ overnight. The primary is detected by a Goat anti-rabbit IgG polymer labeled by HRP and visualized using 0.05% DAB.
KDM1A Antibodies
KDM1A for Homo sapiens (Human)
| 產品貨號 | 產品名稱 | 種屬反應性 | 應用類型 |
|---|---|---|---|
| CSB-PA525314KA01HU | KDM1A Antibody | Human,Mouse,Rat | ELISA,WB,IHC |
| CSB-PA787915 | KDM1A Antibody | Human,Mouse | ELISA,WB,IHC |
| CSB-PA236497 | KDM1A Antibody | Human,Mouse | ELISA,WB,IHC |
| CSB-PA525314HA01HU | KDM1A Antibody | Human, Mouse | ELISA, WB, IHC, IF |
| CSB-PA525314HB01HU | KDM1A Antibody, HRP conjugated | Human | ELISA |
| CSB-PA525314HD01HU | KDM1A Antibody, Biotin conjugated | Human | ELISA |
| CSB-RA222329A0HU | KDM1A Recombinant Monoclonal Antibody | Human | ELISA, WB, IHC |
KDM1A Proteins
KDM1A Proteins for Homo sapiens (Human)
| 產品貨號 | 產品名稱 | 來源 |
|---|---|---|
| CSB-YP525314HU CSB-EP525314HU CSB-BP525314HU CSB-MP525314HU CSB-EP525314HU-B |
Recombinant Human Lysine-specific histone demethylase 1A (KDM1A), partial | Yeast E.coli Baculovirus Mammalian cell In Vivo Biotinylation in E.coli |






