KAT2A
KAT2A,即賴氨酸乙酰轉移酶2A,別名GCN5、hGCN5、GCN5L2、PCAF-b等。這是一種在人類細胞中廣泛表達的組蛋白乙酰轉移酶(HAT),主要作用是作為轉錄激活劑,通過乙酰化組蛋白促進基因的轉錄激活。KAT2A還具有其他功能,例如通過促進NF-kappa-B亞基RELA的泛素化來充當NF-kappa-B的阻遏物。此外,KAT2A還參與了多種生物學過程,包括長期記憶、大分子代謝過程的正向調控、調節性T細胞分化等。KAT2A的異常表達與多種疾病相關,如癌癥、代謝性疾病等,是藥物開發的重要靶點之一。
熱銷產品
驗證數據
IHC image of CSB-PA002657 diluted at 1:66 and staining in paraffin-embedded human pancreatic tissue performed on a Leica BondTM system. After dewaxing and hydration, antigen retrieval was mediated by high pressure in a citrate buffer (pH 6.0). Section was blocked with 10% normal goat serum 30min at RT. Then primary antibody (1% BSA) was incubated at 4°C overnight. The primary is detected by a Goat anti-rabbit polymer IgG labeled by HRP and visualized using 0.05% DAB.
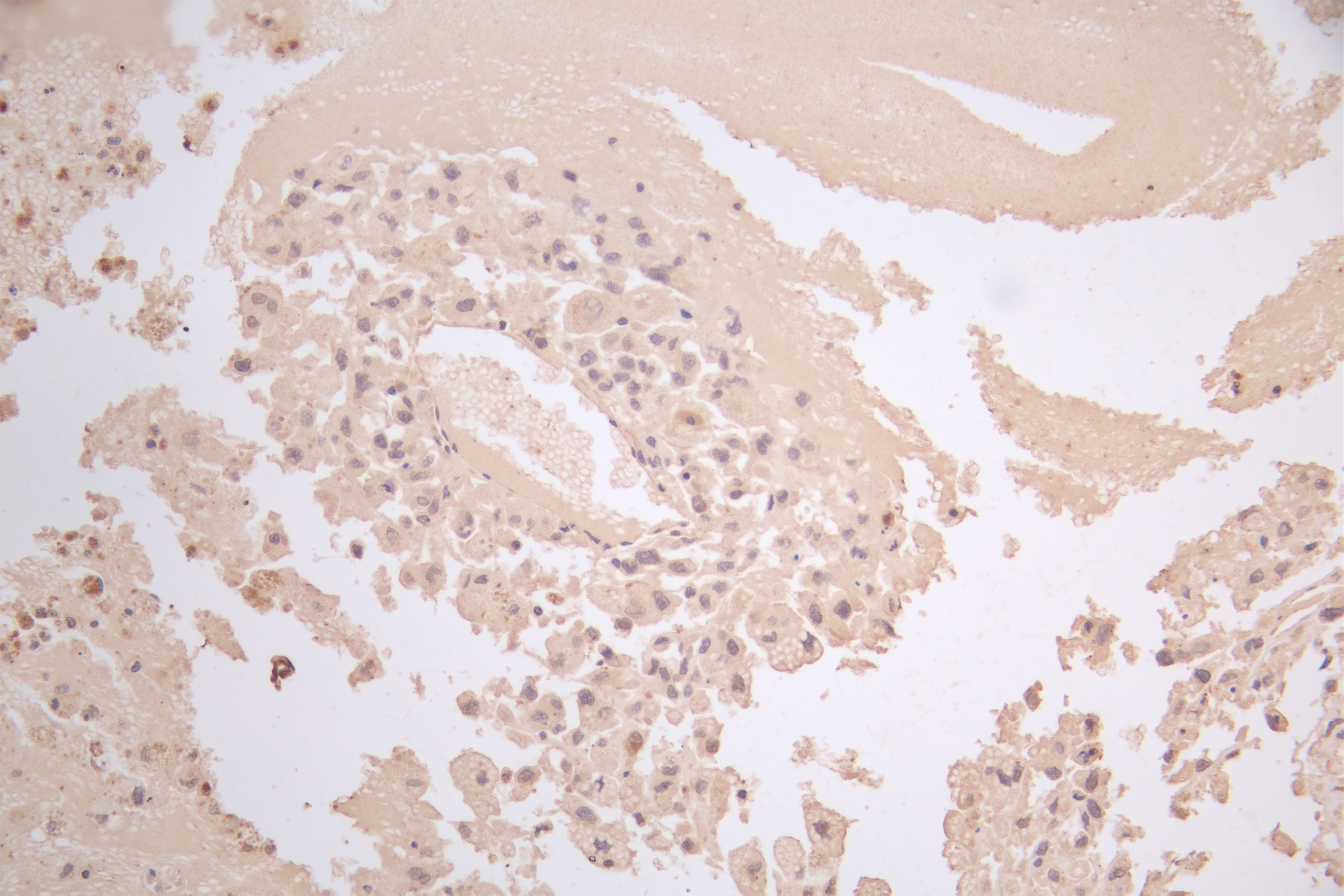
IHC image of CSB-PA002657 diluted at 1:66 and staining in paraffin-embedded human melanoma cancer performed on a Leica BondTM system. After dewaxing and hydration, antigen retrieval was mediated by high pressure in a citrate buffer (pH 6.0). Section was blocked with 10% normal goat serum 30min at RT. Then primary antibody (1% BSA) was incubated at 4°C overnight. The primary is detected by a Goat anti-rabbit polymer IgG labeled by HRP and visualized using 0.05% DAB.
Immunofluorescence staining of Hela cell with CSB-PA002657 at 1:30, counter-stained with DAPI. The cells were fixed in 4% formaldehyde and blocked in 10% normal Goat Serum. The cells were then incubated with the antibody overnight at 4C. The secondary antibody was Alexa Fluor 488-congugated AffiniPure Goat Anti-Rabbit IgG(H+L).
KAT2A Antibodies
KAT2A for Homo sapiens (Human)
| 產品貨號 | 產品名稱 | 種屬反應性 | 應用類型 |
|---|---|---|---|
| CSB-PA011987GA01HU | KAT2A Antibody | Human,Mouse,Rat | ELISA,WB |
| CSB-PA002657 | KAT2A Antibody | Human | IF, IHC, ELISA |
| CSB-PA821706LA01HU | KAT2A Antibody | Human | ELISA, IHC |
| CSB-PA821706LD01HU | KAT2A Antibody, Biotin conjugated | Human | ELISA |
KAT2A Proteins
KAT2A Proteins for Homo sapiens (Human)
| 產品貨號 | 產品名稱 | 來源 |
|---|---|---|
| CSB-YP821706HU CSB-EP821706HU CSB-BP821706HU CSB-MP821706HU CSB-EP821706HU-B |
Recombinant Human Histone acetyltransferase KAT2A (KAT2A), partial | Yeast E.coli Baculovirus Mammalian cell In Vivo Biotinylation in E.coli |
KAT2A Proteins for Mus musculus (Mouse)
| 產品貨號 | 產品名稱 | 來源 |
|---|---|---|
| CSB-YP884898MO CSB-EP884898MO CSB-BP884898MO CSB-MP884898MO CSB-EP884898MO-B |
Recombinant Mouse Histone acetyltransferase KAT2A (Kat2a), partial | Yeast E.coli Baculovirus Mammalian cell In Vivo Biotinylation in E.coli |






