JAK3
JAK3,即Janus激酶3,別名Janus Kinase3、L-JAK,是JAK激酶家族中的一個關鍵成員,主要在免疫系統的細胞中發揮作用。作為一種非受體型酪氨酸激酶,JAK3通過參與JAK-STAT信號通路,調控細胞因子介導的細胞增殖、分化和凋亡等過程。JAK3的活性對維持免疫平衡至關重要,其異常表達或功能失調與多種自身免疫性疾病,如類風濕性關節炎、系統性紅斑狼瘡等有關。此外,JAK3也是癌癥治療中的潛在靶點,針對JAK3的抑制劑,如托法替布,已被批準用于治療某些自身免疫性疾病,展現出良好的療效和安全性。因此,JAK3在藥物開發和疾病治療中具有重要的生物學意義和臨床應用價值。
熱銷產品
JAK3 Recombinant Monoclonal Antibody (CSB-RA206737A0HU)
驗證數據
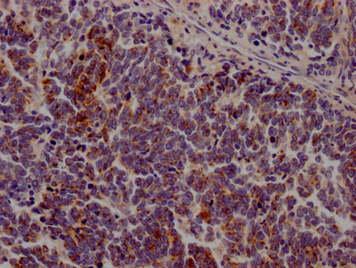
IHC image of CSB-RA206737A0HU diluted at 1:100 and staining in paraffin-embedded human lung cancer performed on a Leica BondTM system. After dewaxing and hydration, antigen retrieval was mediated by high pressure in a citrate buffer (pH 6.0). Section was blocked with 10% normal goat serum 30min at RT. Then primary antibody (1% BSA) was incubated at 4℃ overnight. The primary is detected by a Goat anti-rabbit IgG polymer labeled by HRP and visualized using 0.05% DAB.
JAK3 Antibodies
JAK3 for Homo sapiens (Human)
| 產品貨號 | 產品名稱 | 種屬反應性 | 應用類型 |
|---|---|---|---|
| CSB-PA088850 | JAK3 (Ab-785) Antibody | Human,Mouse,Rat | ELISA,WB,IHC |
| CSB-PA011292 | Phospho-JAK3 (Y785) Antibody | Human,Mouse,Rat | WB, IHC, ELISA |
| CSB-PA011293 | JAK3 Antibody | Human,Mouse,Rat | WB, IHC, IF, ELISA |
| CSB-PA011932LA01HU | JAK3 Antibody | Human | ELISA |
| CSB-PA011932LD01HU | JAK3 Antibody, Biotin conjugated | Human | ELISA |
| CSB-RA206737A0HU | JAK3 Recombinant Monoclonal Antibody | Human | ELISA, IHC |
JAK3 Proteins
JAK3 Proteins for Homo sapiens (Human)
| 產品貨號 | 產品名稱 | 來源 |
|---|---|---|
| CSB-YP011932HU CSB-EP011932HU CSB-BP011932HU CSB-MP011932HU CSB-EP011932HU-B |
Recombinant Human Tyrosine-protein kinase JAK3 (JAK3), partial | Yeast E.coli Baculovirus Mammalian cell In Vivo Biotinylation in E.coli |
JAK3 Proteins for Mus musculus (Mouse)
| 產品貨號 | 產品名稱 | 來源 |
|---|---|---|
| CSB-YP717252MO | Recombinant Mouse Tyrosine-protein kinase JAK3 (Jak3), partial | Yeast |
| CSB-EP717252MO | Recombinant Mouse Tyrosine-protein kinase JAK3 (Jak3), partial | E.coli |
| CSB-BP717252MO CSB-MP717252MO CSB-EP717252MO-B |
Recombinant Mouse Tyrosine-protein kinase JAK3 (Jak3), partial | Baculovirus Mammalian cell In Vivo Biotinylation in E.coli |
JAK3 Proteins for Rattus norvegicus (Rat)
| 產品貨號 | 產品名稱 | 來源 |
|---|---|---|
| CSB-YP723567RA CSB-EP723567RA CSB-BP723567RA CSB-MP723567RA CSB-EP723567RA-B |
Recombinant Rat Tyrosine-protein kinase JAK3 (Jak3), partial | Yeast E.coli Baculovirus Mammalian cell In Vivo Biotinylation in E.coli |






