ITK
ITK,即白細胞介素-2誘導型T細胞激酶,別名Emt、Tsk。它是由人類ITK基因編碼的蛋白質,主要在T細胞中表達。ITK的作用機制涉及T細胞受體(TCR)激活后的信號傳導過程,其通過被招募到細胞膜上,靠近被激活的TCR受體,并在那里被LCK激酶磷酸化。磷酸化導致ITK自磷酸化和完全激活。一旦激活,ITK會磷酸化PLCG1,導致這種脂酶的激活和隨后對其底物的切割。進而內質網釋放鈣離子到細胞質中,激活T細胞的核因子(NFAT)轉移到細胞核中執行其轉錄功能。ITK對調節適應性免疫反應至關重要,它調控傳統T細胞和非傳統NKT細胞的發育、功能和分化。ITK對Th2和Th17細胞的發育和效應功能具有重要作用,缺乏ITK的小鼠被證明不易患哮喘。
熱銷產品
ITK Recombinant Monoclonal Antibody (CSB-RA954682A0HU)
驗證數據
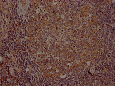
IHC image of CSB-RA954682A0HU diluted at 1:100 and staining in paraffin-embedded human lymph node tissue performed on a Leica BondTM system. After dewaxing and hydration, antigen retrieval was mediated by high pressure in a citrate buffer (pH 6.0). Section was blocked with 10% normal goat serum 30min at RT. Then primary antibody (1% BSA) was incubated at 4℃ overnight. The primary is detected by a Goat anti-rabbit IgG polymer labeled by HRP and visualized using 0.05% DAB.
ITK Antibodies
ITK for Homo sapiens (Human)
| 產品貨號 | 產品名稱 | 種屬反應性 | 應用類型 |
|---|---|---|---|
| CSB-PA011900GA01HU | ITK Antibody | Human,Mouse,Rat | ELISA,WB |
| CSB-PA011277 | Phospho-ITK (Y512) Antibody | Human,Mouse | WB, IHC, ELISA |
| CSB-PA087882 | ITK Antibody | Human,Mouse | ELISA,IHC |
| CSB-RA954682A0HU | ITK Recombinant Monoclonal Antibody | Human | ELISA, IHC |
ITK Proteins
ITK Proteins for Homo sapiens (Human)
| 產品貨號 | 產品名稱 | 來源 |
|---|---|---|
| CSB-YP600145HU CSB-EP600145HU CSB-BP600145HU CSB-MP600145HU CSB-EP600145HU-B |
Recombinant Human Tyrosine-protein kinase ITK/TSK (ITK) | Yeast E.coli Baculovirus Mammalian cell In Vivo Biotinylation in E.coli |






