ITGAV
整合素αV(ITGAV),也稱為CD51或VTNR,是一類廣泛分布于細胞表面的跨膜受體蛋白,通過與β亞基結合形成異二聚體,參與調控細胞與細胞外基質的相互作用。該蛋白在胚胎發育、組織修復及免疫調節等生理過程中發揮關鍵作用,尤其在腫瘤侵襲轉移、血管生成和纖維化疾病中備受關注。研究表明,ITGAV異常表達與多種惡性腫瘤(如膠質母細胞瘤、乳腺癌)、器官纖維化(肺、肝)及骨代謝疾病密切相關,其功能失調可導致細胞黏附異常和微環境重塑。
近年來,靶向ITGAV的藥物研發進展顯著。例如,抑制劑Cilengitide通過阻斷αVβ3和αVβ5整合素活性,曾進入晚期膠質瘤的III期臨床試驗,但因療效未達預期而終止。當前研究聚焦于開發新型小分子拮抗劑和抗體藥物,探索其在抗腫瘤血管生成、抑制轉移及纖維化治療中的潛力。此外,ITGAV與免疫檢查點分子的協同作用也為聯合療法提供了新方向,部分候選藥物已進入早期臨床評估階段。
熱銷產品
Recombinant Human ITGAV&ITGB6 Heterodimer Protein (Active) (CSB-MP6145HU)
驗證數據
(Tris-Glycine gel) Discontinuous SDS-PAGE (reduced) with 5% enrichment gel and 15% separation gel.
Activity
Measured by its binding ability in a functional ELISA. Immobilized Human ITGAV&ITGB6 at 2 μg/ml can bind Human TGFB1 (CSB-MP023446HU(A4)c9). The EC50 is 8.576-10.18 ng/mL.
Activity
Measured by its binding ability in a functional ELISA. Immobilized Human ITGAV&ITGB6 at 2 μg/ml can bind Anti-ITGB6 recombinant antibody (CSB-RA011890MA1HU). The EC50 is 7.021-9.054 ng/mL.
The purity of ITGAV&ITGB6 was greater than 90% as determined by SEC-HPLC
ITGAV Recombinant Monoclonal Antibody (CSB-RA279866A0HU)
驗證數據
Western Blot
Positive WB detected in: U-251 whole cell lysate, Hela whole cell lysate, HepG2 whole cell lysate
All lanes: ITGAV antibody at 1:1000
Secondary
Goat polyclonal to rabbit IgG at 1/50000 dilution
Predicted band size: 117, 113, 112 kDa
Observed band size: 130 kDa
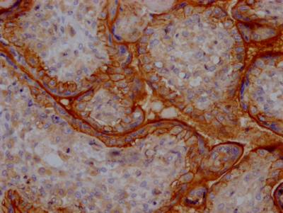
IHC image of CSB-RA279866A0HU diluted at 1:100 and staining in paraffin-embedded human placenta tissue performed on a Leica BondTM system. After dewaxing and hydration, antigen retrieval was mediated by high pressure in a citrate buffer (pH 6.0). Section was blocked with 10% normal goat serum 30min at RT. Then primary antibody (1% BSA) was incubated at 4℃ overnight. The primary is detected by a Goat anti-rabbit IgG polymer labeled by HRP and visualized using 0.05% DAB.
ITGAV Antibodies
ITGAV for Homo sapiens (Human)
| 產品貨號 | 產品名稱 | 種屬反應性 | 應用類型 |
|---|---|---|---|
| CSB-PA000074 | Cleaved-ITGAV (K889) Antibody | Human | WB, ELISA |
| CSB-PA003047 | ITGAV Antibody | Human,Mouse | WB, IHC, ELISA |
| CSB-PA011877LA01HU | ITGAV Antibody | Human | ELISA, WB, IHC, IF |
| CSB-PA011877LB01HU | ITGAV Antibody, HRP conjugated | Human | ELISA |
| CSB-PA011877LC01HU | ITGAV Antibody, FITC conjugated | Human | |
| CSB-PA011877LD01HU | ITGAV Antibody, Biotin conjugated | Human | ELISA |
| CSB-RA548303A0HU | ITGAV Recombinant Monoclonal Antibody | Human | ELISA, IHC |
| CSB-RA279866A0HU | ITGAV Recombinant Monoclonal Antibody | Human | ELISA, WB, IHC |
| CSB-RA011877MA1HU | ITGAV Recombinant Monoclonal Antibody | Human, Mouse | ELISA, IF, FC |
ITGAV Proteins
ITGAV Proteins for Bos taurus (Bovine)
| 產品貨號 | 產品名稱 | 來源 |
|---|---|---|
| CSB-YP011877BO CSB-EP011877BO CSB-BP011877BO CSB-MP011877BO CSB-EP011877BO-B |
Recombinant Bovine Integrin alpha-V (ITGAV), partial | Yeast E.coli Baculovirus Mammalian cell In Vivo Biotinylation in E.coli |
ITGAV Proteins for Mus musculus (Mouse)
| 產品貨號 | 產品名稱 | 來源 |
|---|---|---|
| CSB-YP011877MO CSB-EP011877MO CSB-BP011877MO CSB-EP011877MO-B |
Recombinant Mouse Integrin alpha-V (Itgav), partial | Yeast E.coli Baculovirus In Vivo Biotinylation in E.coli |
ITGAV Proteins for Gallus gallus (Chicken)
| 產品貨號 | 產品名稱 | 來源 |
|---|---|---|
| CSB-YP011877CH CSB-EP011877CH CSB-BP011877CH CSB-MP011877CH CSB-EP011877CH-B |
Recombinant Chicken Integrin alpha-V (ITGAV), partial | Yeast E.coli Baculovirus Mammalian cell In Vivo Biotinylation in E.coli |
ITGAV Proteins for Homo sapiens (Human)
| 產品貨號 | 產品名稱 | 來源 |
|---|---|---|
| CSB-YP011877HU | Recombinant Human Integrin alpha-V (ITGAV), partial | Yeast |
| CSB-EP011877HU CSB-BP011877HU CSB-EP011877HU-B |
Recombinant Human Integrin alpha-V (ITGAV), partial | E.coli Baculovirus In Vivo Biotinylation in E.coli |






