ITGA9
整合素α9(ITGA9)是一種跨膜受體蛋白,常與β1亞基形成異源二聚體,在細胞黏附與信號傳遞中發揮關鍵作用。該蛋白也被稱為CD抗原家族成員CD229,廣泛表達于淋巴細胞、上皮細胞及平滑肌細胞中,通過介導細胞與基質蛋白的相互作用參與炎癥反應、組織修復及腫瘤微環境調控。ITGA9異常表達與多種實體瘤轉移密切相關,尤其在肺癌、乳腺癌的侵襲過程中可通過激活特定分子網絡促進血管新生。在疾病關聯方面,整合素α9與慢性阻塞性肺病、動脈粥樣硬化的病理進程存在顯著相關性,其表達水平變化可能影響呼吸道重塑與血管內皮功能。近年來針對ITGA9的藥物開發聚焦于單克隆抗體與多肽抑制劑,已有候選藥物進入Ⅱ期臨床試驗階段,主要探索在特發性肺纖維化與轉移性腫瘤中的治療效果。部分研究同時關注其在自身免疫性疾病中的調控潛力,為風濕性關節炎等疾病的治療提供新思路。
熱銷產品
ITGA9 Antibody (CSB-PA619792ESR2HU)
驗證數據
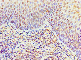
Immunohistochemistry of paraffin-embedded human tonsil tissue using CSB-PA619792ESR2HU at dilution of 1:100
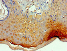
Immunohistochemistry of paraffin-embedded human skin tissue using CSB-PA619792ESR2HU at dilution of 1:100
ITGA9 Antibodies
ITGA9 for Homo sapiens (Human)
| 產品貨號 | 產品名稱 | 種屬反應性 | 應用類型 |
|---|---|---|---|
| CSB-PA011872GA01HU | ITGA9 Antibody | Human,Mouse,Rat | ELISA,WB |
| CSB-PA619792ESR2HU | ITGA9 Antibody | Human | ELISA, IHC |
ITGA9 Proteins
ITGA9 Proteins for Homo sapiens (Human)
| 產品貨號 | 產品名稱 | 來源 |
|---|---|---|
| CSB-YP619792HU CSB-EP619792HU CSB-BP619792HU CSB-MP619792HU CSB-EP619792HU-B |
Recombinant Human Integrin alpha-9 (ITGA9), partial | Yeast E.coli Baculovirus Mammalian cell In Vivo Biotinylation in E.coli |






