ITGA5
整合素α5(ITGA5)是細胞表面粘附分子家族的重要成員,常與β1亞基結合形成α5β1異源二聚體受體。ITGA5因能特異性識別纖維連接蛋白中的RGD序列,被稱作纖維連接蛋白受體,在胚胎發育、創傷修復等生理過程中調控細胞粘附與遷移。α5β1通過激活細胞內FAK/Src信號網絡,促進腫瘤細胞侵襲轉移能力,其異常表達與乳腺癌、肝癌、結直腸癌等惡性腫瘤的進展密切相關。在特發性肺纖維化、動脈粥樣硬化等疾病中,ITGA5也參與異常細胞外基質沉積過程。目前針對α5β1的靶向藥物已有十余種進入臨床研究,如單抗藥物Volociximab在卵巢癌治療中顯示出抑制血管新生的潛力,小分子抑制劑JSM6427則應用于眼底黃斑病變的干預。由于整合素家族存在功能代償效應,部分藥物在臨床試驗中出現療效波動,如何精準調控其活性仍是研發難點。
熱銷產品
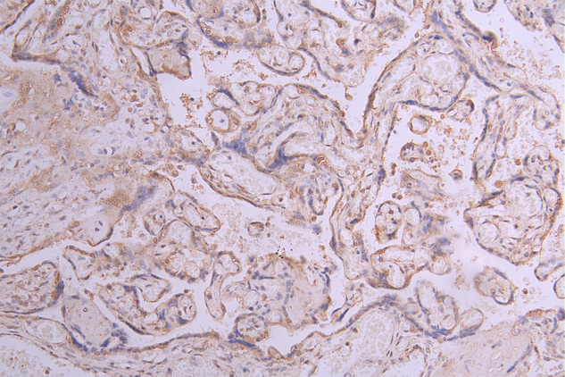
ITGA5 Recombinant Monoclonal Antibody (CSB-RA011868MA1HU)
驗證數據
IHC image of CSB-RA011868MA1HU diluted at 1:50 and staining in paraffin-embedded human placenta tissue performed on a Leica BondTM system. After dewaxing and hydration, antigen retrieval was mediated by high pressure in a citrate buffer (pH 6.0). Section was blocked with 10% normal goat serum 30min at RT. Then primary antibody (1% BSA) was incubated at 4°C overnight. The primary is detected by a Goat anti-human polymer IgG labeled by HRP and visualized using 0.05% DAB.
ITGA5 Antibodies
ITGA5 for Homo sapiens (Human)
| 產品貨號 | 產品名稱 | 種屬反應性 | 應用類型 |
|---|---|---|---|
| CSB-PA011868GA01HU | ITGA5 Antibody | Human,Mouse,Rat | ELISA,WB |
| CSB-PA000070 | Cleaved-ITGA5 (E895) Antibody | Human | WB, ELISA |
| CSB-PA006198 | ITGA5 Antibody | Human,Mouse,Rat | WB, ELISA |
| CSB-PA011261 | Cleaved-ITGA5 (F42) Antibody | Human,Mouse | WB, ELISA |
| CSB-PA011868LA01HU | ITGA5 Antibody | Human, Mouse | ELISA, WB, IHC, IF |
| CSB-PA011868LB01HU | ITGA5 Antibody, HRP conjugated | Human | ELISA |
| CSB-PA011868LC01HU | ITGA5 Antibody, FITC conjugated | Human | |
| CSB-PA011868LD01HU | ITGA5 Antibody, Biotin conjugated | Human | ELISA |
| CSB-RA011868MA1HU | ITGA5 Recombinant Monoclonal Antibody | Human | ELISA, IHC |
ITGA5 Proteins
ITGA5 Proteins for Mus musculus (Mouse)
| 產品貨號 | 產品名稱 | 來源 |
|---|---|---|
| CSB-YP011868MO CSB-EP011868MO CSB-BP011868MO CSB-MP011868MO CSB-EP011868MO-B |
Recombinant Mouse Integrin alpha-5 (Itga5), partial | Yeast E.coli Baculovirus Mammalian cell In Vivo Biotinylation in E.coli |
ITGA5 Proteins for Homo sapiens (Human)
| 產品貨號 | 產品名稱 | 來源 |
|---|---|---|
| CSB-YP011868HU CSB-EP011868HU CSB-BP011868HU CSB-MP011868HU CSB-EP011868HU-B |
Recombinant Human Integrin alpha-5 (ITGA5), partial | Yeast E.coli Baculovirus Mammalian cell In Vivo Biotinylation in E.coli |
| CSB-AP005451HU | Recombinant Human Integrin alpha-5 (ITGA5), partial (Active) | Mammalian cell |
ITGA5 Proteins for Bos taurus (Bovine)
| 產品貨號 | 產品名稱 | 來源 |
|---|---|---|
| CSB-YP630655BO CSB-EP630655BO CSB-BP630655BO CSB-MP630655BO CSB-EP630655BO-B |
Recombinant Bovine Integrin alpha-5 (ITGA5), partial | Yeast E.coli Baculovirus Mammalian cell In Vivo Biotinylation in E.coli |






