ITGA2B
ITGA2,即整合素亞基α2b,別名血小板膜糖蛋白IIb(GPIIb)、CD41B、αIIbβ3整合素的α亞基。ITGA2B是一種細胞表面受體,由ITGA2B基因編碼,屬于整合素α鏈家族成員之一。它在血小板中與β3亞基(ITGB3)非共價結合,形成αIIbβ3整合素,這是血小板聚集和血液凝固的關鍵受體。ITGA2B的作用機制涉及與多種配體的結合,如纖維蛋白原、纖維連接蛋白、凝血酶原、血小板反應蛋白和玻璃連接蛋白,通過識別特定的氨基酸序列如R-G-D和H-H-L-G-G-G-A-K-Q-A-G-D-V。ITGA2B在生物學上的意義非常廣泛,它在血液凝固、傷口愈合、炎癥反應和細胞遷移等過程中發揮重要作用。αIIbβ3整合素作為血小板的主要聚集受體,參與血小板與血管損傷部位的粘附和聚集,對維持血液流動性和防止出血至關重要。此外,ITGA2B的功能異常與多種疾病有關,包括Glanzmann血栓減少癥(一種遺傳性血小板功能障礙疾病)和其他出血性疾病。因此,ITGA2B是血液學研究和相關疾病治療中的一個重要靶點。
熱銷產品
Recombinant Human Integrin alpha-IIb (ITGA2B), partial (CSB-EP011865HU)
驗證數據
(Tris-Glycine gel) Discontinuous SDS-PAGE (reduced) with 5% enrichment gel and 15% separation gel.
ITGA2B Antibody (CSB-PA011865LA01HU)
驗證數據
Immunofluorescence staining of A549 cells with CSB-PA011865LA01HU at 1:400, counter-stained with DAPI. The cells were fixed in 4% formaldehyde, permeabilized using 0.2% Triton X-100 and blocked in 10% normal Goat Serum. The cells were then incubated with the antibody overnight at 4°C. The secondary antibody was Alexa Fluor 488-congugated AffiniPure Goat Anti-Rabbit IgG(H+L).
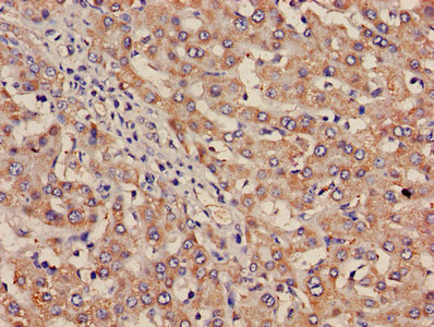
Immunohistochemistry of paraffin-embedded human liver cancer using CSB-PA011865LA01HU at dilution of 1:100
Human Integrin alpha-IIb(ITGA2B) ELISA kit (CSB-EL011865HU)
驗證數據
貨號:CSB-EL011865HU
規格:96T/48T
靈敏度:0.039 ng/mL
檢測范圍:0.156 ng/mL-10 ng/mL
These standard curves are provided for demonstration only. A standard curve should be generated for each set of samples assayed.
ITGA2B Antibodies
ITGA2B for Homo sapiens (Human)
| 產品貨號 | 產品名稱 | 種屬反應性 | 應用類型 |
|---|---|---|---|
| CSB-PA011865LA01HU | ITGA2B Antibody | Human | ELISA, IHC, IF |
| CSB-PA011865LB01HU | ITGA2B Antibody, HRP conjugated | Human | ELISA |
| CSB-PA011865LC01HU | ITGA2B Antibody, FITC conjugated | Human | |
| CSB-PA011865LD01HU | ITGA2B Antibody, Biotin conjugated | Human | ELISA |
| CSB-PA249653 | ITGA2B Antibody | Human,Mouse | ELISA,WB,IHC |
| CSB-PA729448 | ITGA2B Antibody | Human,Mouse | ELISA,WB |
ITGA2B for Human
| 產品貨號 | 產品名稱 | 種屬反應性 | 應用類型 |
|---|---|---|---|
| CSB-MA000265 | ITGA2B Monoclonal Antibody | Human | ELISA,IHC |
ITGA2B Proteins
ITGA2B Proteins for Homo sapiens (Human)
| 產品貨號 | 產品名稱 | 來源 |
|---|---|---|
| CSB-YP011865HU | Recombinant Human Integrin alpha-IIb (ITGA2B), partial | Yeast |
| CSB-EP011865HU | Recombinant Human Integrin alpha-IIb (ITGA2B), partial | E.coli |
| CSB-BP011865HU CSB-MP011865HU CSB-EP011865HU-B |
Recombinant Human Integrin alpha-IIb (ITGA2B), partial | Baculovirus Mammalian cell In Vivo Biotinylation in E.coli |
| CSB-EP011865HUc7 | Recombinant Human Integrin alpha-IIb (ITGA2B), partial | E.coli |
ITGA2B Proteins for Papio cynocephalus (Yellow baboon)
| 產品貨號 | 產品名稱 | 來源 |
|---|---|---|
| CSB-YP011865PBR CSB-EP011865PBR CSB-BP011865PBR CSB-MP011865PBR CSB-EP011865PBR-B |
Recombinant Papio cynocephalus Integrin alpha-IIb (ITGA2B), partial | Yeast E.coli Baculovirus Mammalian cell In Vivo Biotinylation in E.coli |
ITGA2B Proteins for Mus musculus (Mouse)
| 產品貨號 | 產品名稱 | 來源 |
|---|---|---|
| CSB-YP865567MO CSB-EP865567MO CSB-BP865567MO CSB-MP865567MO CSB-EP865567MO-B |
Recombinant Mouse Integrin alpha-IIb (Itga2b), partial | Yeast E.coli Baculovirus Mammalian cell In Vivo Biotinylation in E.coli |
ITGA2B ELISA Kit
ITGA2B ELISA Kit for Homo sapiens (Human)
| 產品貨號 | 產品名稱 | 樣本類型 | 靈敏度 |
|---|---|---|---|
| CSB-EL011865HU | Human Integrin alpha-IIb(ITGA2B) ELISA kit | serum, plasma, tissue homogenates, cell lysates | 0.039 ng/mL |






