ITGA11
整合素α11(ITGA11)是整合素家族中負責介導細胞與細胞外基質相互作用的關鍵成員,常被稱為CD抗原或膠原結合受體。該蛋白通過識別特定膠原類型參與組織微環境調控,尤其在成纖維細胞與間質成分的黏附中發揮核心作用。ITGA11活性異常可破壞細胞遷移與組織修復的平衡,與特發性肺纖維化、肝硬化和多種實體瘤的侵襲轉移密切相關。ITGA11在腫瘤微環境中通過調節基質硬化程度促進癌細胞存活,這一特性使其成為抗癌藥物開發的新焦點。目前已有單克隆抗體類藥物進入臨床前研究階段,旨在阻斷腫瘤相關成纖維細胞中ITGA11的功能。此外,針對纖維化疾病的抑制劑研發也在探索中,部分小分子化合物在動物模型中展現出減緩器官纖維化的潛力。隨著對整合素α11在病理微環境中雙重作用的深入理解,該蛋白正逐漸從基礎研究走向轉化醫學的前沿領域。
熱銷產品
ITGA11 Antibody (CSB-PA033958)
驗證數據
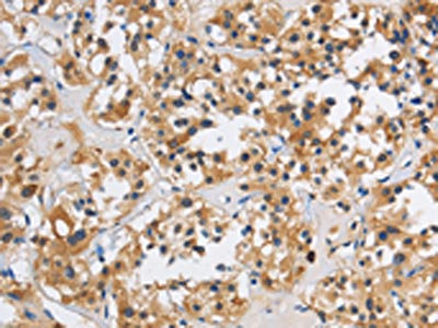
The image on the left is immunohistochemistry of paraffin-embedded Human liver cancer tissue using CSB-PA033958(ITGA11 Antibody) at dilution 1/40, on the right is treated with synthetic peptide. (Original magnification: ×200)
The image on the left is immunohistochemistry of paraffin-embedded Human thyroid cancer tissue using CSB-PA033958(ITGA11 Antibody) at dilution 1/40, on the right is treated with synthetic peptide. (Original magnification: ×200)
Gel: 6%SDS-PAGE, Lysate: 40 μg, Lane: Mouse skeletal muscle tissue, Primary antibody: CSB-PA033958(ITGA11 Antibody) at dilution 1/200, Secondary antibody: Goat anti rabbit IgG at 1/8000 dilution, Exposure time: 3 minutes
ITGA11 Antibodies
ITGA11 for Homo sapiens (Human)
| 產品貨號 | 產品名稱 | 種屬反應性 | 應用類型 |
|---|---|---|---|
| CSB-PA033958 | ITGA11 Antibody | Human,Mouse | ELISA,WB,IHC |
| CSB-PA108283 | ITGA11 Antibody | Human | ELISA,IHC |
| CSB-PA891732ESR1HU | ITGA11 Antibody | Human | ELISA, IHC |
ITGA11 Proteins
ITGA11 Proteins for Mus musculus (Mouse)
| 產品貨號 | 產品名稱 | 來源 |
|---|---|---|
| CSB-YP011863MO CSB-EP011863MO CSB-BP011863MO CSB-MP011863MO CSB-EP011863MO-B |
Recombinant Mouse Integrin alpha-11 (Itga11), partial | Yeast E.coli Baculovirus Mammalian cell In Vivo Biotinylation in E.coli |
ITGA11 Proteins for Homo sapiens (Human)
| 產品貨號 | 產品名稱 | 來源 |
|---|---|---|
| CSB-YP891732HU CSB-EP891732HU CSB-BP891732HU CSB-MP891732HU CSB-EP891732HU-B |
Recombinant Human Integrin alpha-11 (ITGA11), partial | Yeast E.coli Baculovirus Mammalian cell In Vivo Biotinylation in E.coli |






