ISG15
ISG15,全稱為Interferon-induced 17 kDa protein(干擾素誘導的17 kDa蛋白),是一種小分子蛋白質,在序列和結構上與泛素相似,具有類似泛素的功能。ISG15蛋白在病毒感染時被強烈誘導表達,在抗病毒免疫反應中發揮重要作用。它通過與靶蛋白發生共價結合,即ISG化修飾,來抑制病毒復制和傳播。ISG15蛋白還參與調節細胞內的活性,影響多種細胞過程。在疾病方面,ISG15蛋白的表達與多種病毒感染相關,如流感病毒、HIV、皰疹病毒等。研究表明,ISG15蛋白的表達水平與病毒載量呈正相關,與患者免疫狀態密切相關。目前,針對ISG15蛋白的藥物研發尚處于探索階段,但其在疾病診斷和治療中的應用前景廣闊。
熱銷產品
Recombinant Human Ubiquitin-like protein ISG15 (ISG15) (CSB-YP011843HU)
驗證數據
(Tris-Glycine gel) Discontinuous SDS-PAGE (reduced) with 5% enrichment gel and 15% separation gel.
ISG15 Recombinant Monoclonal Antibody (CSB-RA937491A0HU)
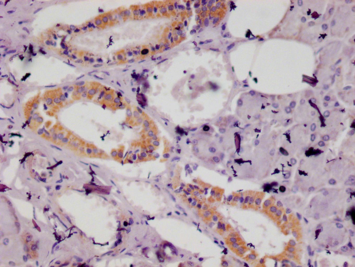
驗證數據
IHC image of CSB-RA937491A0HU diluted at 1:100 and staining in paraffin-embedded human salivary gland tissue performed on a Leica BondTM system. After dewaxing and hydration, antigen retrieval was mediated by high pressure in a citrate buffer (pH 6.0). Section was blocked with 10% normal goat serum 30min at RT. Then primary antibody (1% BSA) was incubated at 4°C overnight. The primary is detected by a Goat anti-rabbit polymer IgG labeled by HRP and visualized using 0.05% DAB.
Overlay Peak curve showing HepG2 cells stained with CSB-RA937491A0HU (red line) at 1:100. The cells were fixed in 4% formaldehyde and permeated by 0.2% TritonX-100. Then 10% normal goat serum to block non-specific protein-protein interactions followed by the antibody (1ug/1*106cells) for 45min at 4℃. The secondary antibody used was FITC-conjugated Goat Anti-rabbit IgG(H+L) at 1:200 dilution for 35min at 4℃.Control antibody (green line) was rabbit IgG (1ug/1*106cells) used under the same conditions. Acquisition of >10,000 events was performed.
Human ubiquitin-like modifier (ISG15) ELISA kit (CSB-E12075h)
驗證數據
貨號:CSB-E12075h
規格:96T/48T
靈敏度:0.195 ng/mL
檢測范圍:0.78 ng/mL-50 ng/mL
These standard curves are provided for demonstration only. A standard curve should be generated for each set of samples assayed.
ISG15 Antibodies
ISG15 for Homo sapiens (Human)
| 產品貨號 | 產品名稱 | 種屬反應性 | 應用類型 |
|---|---|---|---|
| CSB-PA011843GA01HU | ISG15 Antibody | Human | ELISA,WB,IHC |
| CSB-PA09744B0Rb | ISG15 Antibody, HRP conjugated | Human | ELISA |
| CSB-PA09744C0Rb | ISG15 Antibody, FITC conjugated | Human | |
| CSB-PA09744A0Rb | ISG15 Antibody | Human | ELISA, WB, IP |
| CSB-RA937491A0HU | ISG15 Recombinant Monoclonal Antibody | Human | ELISA, IHC, FC |
| CSB-RA447286A0HU | ISG15 Recombinant Monoclonal Antibody | Human | ELISA, WB |
ISG15 Proteins
ISG15 Proteins for Homo sapiens (Human)
| 產品貨號 | 產品名稱 | 來源 |
|---|---|---|
| CSB-BP011843HU CSB-MP011843HU CSB-EP011843HU-B |
Recombinant Human Ubiquitin-like protein ISG15 (ISG15) | Baculovirus Mammalian cell In Vivo Biotinylation in E.coli |
| CSB-EP011843HU | Recombinant Human Ubiquitin-like protein ISG15 (Isg15) | E.coli |
| CSB-EP011843HUa0 | Recombinant Human Ubiquitin-like protein ISG15 (Isg15) | E.coli |
| CSB-YP011843HU | Recombinant Human Ubiquitin-like protein ISG15 (ISG15) | Yeast |
ISG15 ELISA Kit
ISG15 ELISA Kit for Homo sapiens (Human)
| 產品貨號 | 產品名稱 | 樣本類型 | 靈敏度 |
|---|---|---|---|
| CSB-E12075h | Human ubiquitin-like modifier (ISG15) ELISA kit | serum, tissue homogenates, cell culture supernates | 0.195 ng/mL |






