IL27
IL27,全名為白細胞介素-27,也被稱為IL-27、p28、IL27p28、IL-27A、IL27A等。它是IL-12家族的一員,由兩個亞基組成:EBI3(IL-27B)和IL27p28(IL-30)。IL27蛋白主要由抗原呈遞細胞產生,在調節B和T淋巴細胞活性中發揮重要作用。它具有促炎和消炎特性,可以誘導單核細胞和肥大細胞分泌促炎細胞因子,促進幼稚CD4+T細胞增殖和Th1細胞應答。此外,IL27還與NK細胞和CD8+T細胞的效應功能有關。在疾病方面,IL27與類風濕性關節炎等炎癥性疾病有關。在藥物研發方面,IL27作為抗腫瘤和免疫調節的靶點,目前已有藥物進入臨床研究階段。
熱銷產品
驗證數據
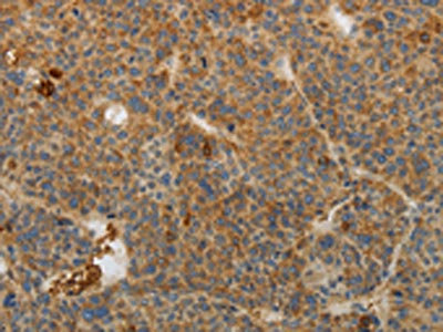
The image on the left is immunohistochemistry of paraffin-embedded Human lymphoma tissue using CSB-PA592707(IL27 Antibody) at dilution 1/10, on the right is treated with fusion protein. (Original magnification: ×200)
The image on the left is immunohistochemistry of paraffin-embedded Human liver cancer tissue using CSB-PA592707(IL27 Antibody) at dilution 1/10, on the right is treated with fusion protein. (Original magnification: ×200)
Human Interleukin 27,IL-27 ELISA Kit (CSB-E08464h)
驗證數據
貨號:CSB-E08464h
規格:96T/48T
靈敏度:0.039 ng/ml
檢測范圍:0.156 ng/ml - 10 ng/ml
These standard curves are provided for demonstration only. A standard curve should be generated for each set of samples assayed.
IL27 Antibodies
IL27 for Homo sapiens (Human)
| 產品貨號 | 產品名稱 | 種屬反應性 | 應用類型 |
|---|---|---|---|
| CSB-PA847702ESR1HU | IL27 Antibody | Human, Mouse | ELISA, WB |
| CSB-PA592707 | IL27 Antibody | Human | ELISA,IHC |
| CSB-PA127030 | IL27 Antibody | Human | ELISA,IHC |
IL27 Proteins
IL27 Proteins for Homo sapiens (Human)
| 產品貨號 | 產品名稱 | 來源 |
|---|---|---|
| CSB-YP847702HU CSB-EP847702HU CSB-BP847702HU CSB-MP847702HU CSB-EP847702HU-B |
Recombinant Human Interleukin-27 subunit alpha (IL27) | Yeast E.coli Baculovirus Mammalian cell In Vivo Biotinylation in E.coli |
IL27 ELISA Kit
IL27 ELISA Kit for Homo sapiens (Human)
| 產品貨號 | 產品名稱 | 樣本類型 | 靈敏度 |
|---|---|---|---|
| CSB-E08464h | Human Interleukin 27,IL-27 ELISA Kit | serum, plasma, tissue homogenates | 0.039 ng/ml |






