IL25
IL25,即白細胞介素25,別名IL-17E、interleukin17E。IL25由多種細胞產生,包括活化的Th2細胞、肥大細胞等。其作用機制主要通過與IL-17BR受體結合,激活下游信號通路,包括NF-κB的激活,進而促進IL-8等細胞因子的產生。IL25在抑制炎癥反應和促進二型免疫反應中發揮著獨特作用,能夠誘導多種組織表達細胞因子基因,增加肝臟、肺臟和腎臟中IL-4、IL-5、IL-10mRNA的表達,并誘導中性粒白細胞特異性趨化因子GRO-αmRNA表達。IL25還參與調節腸道免疫,與胃腸道相關的慢性炎癥反應有關,并在一些固有免疫細胞和獲得性免疫細胞中發揮作用,影響嗜酸性粒細胞等的分化和功能。
熱銷產品
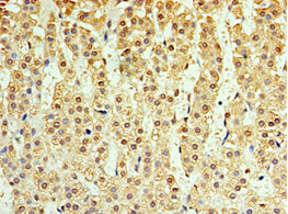
IL25 Antibody (CSB-PA875653ESR1HU)
驗證數據
Immunohistochemistry of paraffin-embedded human adrenal gland tissue using CSB-PA875653ESR1HU at dilution of 1:100
Human Interleukin 25,IL-25 ELISA kit (CSB-E11715h)
驗證數據
貨號:CSB-E11715h
規格:96T/48T
靈敏度:15.6 pg/mL
檢測范圍:62.5 pg/mL-4000 pg/mL
These standard curves are provided for demonstration only. A standard curve should be generated for each set of samples assayed.
IL25 Antibodies
IL25 for Homo sapiens (Human)
| 產品貨號 | 產品名稱 | 種屬反應性 | 應用類型 |
|---|---|---|---|
| CSB-PA875653ESR1HU | IL25 Antibody | Human | ELISA, IHC |
IL25 Proteins
IL25 Proteins for Homo sapiens (Human)
| 產品貨號 | 產品名稱 | 來源 |
|---|---|---|
| CSB-YP875653HU CSB-EP875653HU CSB-BP875653HU CSB-EP875653HU-B |
Recombinant Human Interleukin-25 (IL25) | Yeast E.coli Baculovirus In Vivo Biotinylation in E.coli |
IL25 ELISA Kit
IL25 ELISA Kit for Homo sapiens (Human)
| 產品貨號 | 產品名稱 | 樣本類型 | 靈敏度 |
|---|---|---|---|
| CSB-E11715h | Human Interleukin 25,IL-25 ELISA kit | serum, cell culturesupernates, urine, tissue homogenates | 15.6 pg/mL |






