IL21
IL21,即白細胞介素-21,是一種由免疫細胞如CD4+T細胞、NK細胞等分泌的細胞因子。它通過結合特異性受體IL-21R,激活JAK/STAT信號通路,調控免疫細胞的增殖、分化和功能。IL21在抗腫瘤免疫中尤為關鍵,能增強T細胞和NK細胞的抗腫瘤活性,促進B細胞生成特異性抗體,從而強化體液免疫。此外,它在自身免疫性疾病中也發揮重要作用,其表達異常可能引發自身免疫反應。
熱銷產品
Recombinant Human Interleukin-21 (IL21) (Active) (CSB-MP872537HU)
驗證數據
(Tris-Glycine gel) Discontinuous SDS-PAGE (reduced) with 5% enrichment gel and 15% separation gel.
Activity
Measured by its binding ability in a functional ELISA. Immobilized Macaca fascicularis IL21R (CSB-MP7140MOV) at 2 μg/ml can bind Human IL21. The EC50 is 15.01-19.43 ng/mL.
Activity
Measured by its binding ability in a functional ELISA. Immobilized Human IL21R (CSB-MP862061HU) at 2 μg/ml can bind Human IL21. The EC50 is 16.65-19.49 ng/mL.
Activity
Human IL21 captured on Protein A Chip can bind Recombinant Macaca fascicularis IL21R (CSB-MP7140MOV) with an affinity constant of 1.31 nM as detected by MetaSPR Assay (WeSPRTM 200).
Activity
Human IL21 captured on Protein A Chip can bind Recombinant Human IL21R (CSB-MP862061HU) with an affinity constant of 1.87 nM as detected by MetaSPR Assay (WeSPRTM 200).
IL21 Antibody (CSB-PA872537ESR1HU)
驗證數據
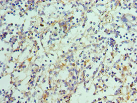
Immunohistochemistry of paraffin-embedded human breast cancer using CSB-PA872537ESR1HU at dilution of 1:100
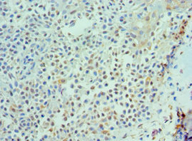
Immunohistochemistry of paraffin-embedded human spleen tissue using CSB-PA872537ESR1HU at dilution of 1:100
Human Interleukin 21,IL-21 ELISA Kit (CSB-E11707h)
驗證數據
貨號:CSB-E11707h
規格:96T/48T
靈敏度:0.78 pg/mL
檢測范圍:3.12 pg/mL-200 pg/mL
These standard curves are provided for demonstration only. A standard curve should be generated for each set of samples assayed.
IL21 Antibodies
IL21 for Homo sapiens (Human)
| 產品貨號 | 產品名稱 | 種屬反應性 | 應用類型 |
|---|---|---|---|
| CSB-PA872537ESR1HU | IL21 Antibody | Human | ELISA, IHC |
| CSB-PA003027 | IL21 Antibody | Human,Mouse | WB, ELISA |
IL21 Proteins
IL21 Proteins for Rattus norvegicus (Rat)
| 產品貨號 | 產品名稱 | 來源 |
|---|---|---|
| CSB-YP011633RA CSB-EP011633RA CSB-BP011633RA CSB-MP011633RA CSB-EP011633RA-B |
Recombinant Rat Interleukin-21 (Il21) | Yeast E.coli Baculovirus Mammalian cell In Vivo Biotinylation in E.coli |
IL21 Proteins for Sus scrofa (Pig)
| 產品貨號 | 產品名稱 | 來源 |
|---|---|---|
| CSB-YP741735PI CSB-EP741735PI CSB-BP741735PI CSB-MP741735PI CSB-EP741735PI-B |
Recombinant Pig Interleukin-21 (IL21) | Yeast E.coli Baculovirus Mammalian cell In Vivo Biotinylation in E.coli |
IL21 Proteins for Canis familiaris (Dog) (Canis lupus familiaris)
| 產品貨號 | 產品名稱 | 來源 |
|---|---|---|
| CSB-YP757207DO CSB-EP757207DO CSB-BP757207DO CSB-MP757207DO CSB-EP757207DO-B |
Recombinant Dog Interleukin-21 (IL21) | Yeast E.coli Baculovirus Mammalian cell In Vivo Biotinylation in E.coli |
IL21 Proteins for Bos taurus (Bovine)
| 產品貨號 | 產品名稱 | 來源 |
|---|---|---|
| CSB-YP765738BO CSB-EP765738BO CSB-BP765738BO CSB-MP765738BO CSB-EP765738BO-B |
Recombinant Bovine Interleukin-21 (IL21) | Yeast E.coli Baculovirus Mammalian cell In Vivo Biotinylation in E.coli |
IL21 Proteins for Peromyscus maniculatus (North American deer mouse)
| 產品貨號 | 產品名稱 | 來源 |
|---|---|---|
| CSB-YP800357PGG CSB-EP800357PGG CSB-BP800357PGG CSB-MP800357PGG CSB-EP800357PGG-B |
Recombinant Peromyscus maniculatus Interleukin-21 (Il21) | Yeast E.coli Baculovirus Mammalian cell In Vivo Biotinylation in E.coli |
IL21 Proteins for Homo sapiens (Human)
| 產品貨號 | 產品名稱 | 來源 |
|---|---|---|
| CSB-YP872537HU | Recombinant Human Interleukin-21 (IL21), partial | Yeast |
| CSB-AP001881HU | Recombinant Human Interleukin-21 protein (IL21) | E.Coli |
| CSB-BP872537HU CSB-EP872537HU-B |
Recombinant Human Interleukin-21 (IL21), partial | Baculovirus In Vivo Biotinylation in E.coli |
| CSB-AP005871HU | Recombinant Human Interleukin-21 (IL21), partial (Active) (GMP) | E.Coli |
| CSB-EP872537HU | Recombinant Human Interleukin-21 (IL21), partial | E.coli |
| CSB-MP872537HU-WD1 | Recombinant Human Interleukin-21 (IL21) (Active) | Mammalian cell |
| CSB-MP872537HU-WD2 | Recombinant Human Interleukin-21 (IL21) (Active) | Mammalian cell |
IL21 Proteins for Mus musculus (Mouse)
| 產品貨號 | 產品名稱 | 來源 |
|---|---|---|
| CSB-YP887666MO CSB-EP887666MO CSB-BP887666MO CSB-MP887666MO CSB-EP887666MO-B |
Recombinant Mouse Interleukin-21 (Il21) | Yeast E.coli Baculovirus Mammalian cell In Vivo Biotinylation in E.coli |
| CSB-AP003391MO | Recombinant Mouse Interleukin-21 protein (Il21) | E.Coli |
IL21 ELISA Kit
IL21 ELISA Kit for Homo sapiens (Human)
| 產品貨號 | 產品名稱 | 樣本類型 | 靈敏度 |
|---|---|---|---|
| CSB-E11707h | Human Interleukin 21,IL-21 ELISA Kit | serum, plasma, tissue homogenates | 0.78 pg/mL |
| CSB-E11707h-IS | Human Interleukin 21,IL-21 ELISA Kit | serum, plasma, saliva, tissue homogenates | 4.69 pg/mL |
IL21 ELISA Kit for Mus musculus (Mouse)
| 產品貨號 | 產品名稱 | 樣本類型 | 靈敏度 |
|---|---|---|---|
| CSB-E13162m | Mouse Interleukin 21(IL-21) ELISA Kit | serum, plasma, tissue homogenates | 15.6 pg/ml. |
IL21 ELISA Kit for Rattus norvegicus (Rat)
| 產品貨號 | 產品名稱 | 樣本類型 | 靈敏度 |
|---|---|---|---|
| CSB-E11843r | Rat Interleukin 21,IL-21 ELISA Kit | serum, plasma, tissue homogenates | 3.9 pg/mL |






