IL1RAPL1
IL1RAPL1,也稱為白細胞介素-1受體輔助蛋白,是一種在細胞信號傳導中發揮重要作用的蛋白質。它參與調節白細胞介素-1(IL-1)信號通路,這一通路在免疫反應和炎癥過程中扮演關鍵角色。IL1RAPL1蛋白與多種疾病的發生發展有關,包括精神發育遲滯和神經精神疾病。目前,針對IL1RAPL1的研究正在推動藥物研發,以期開發出能夠調節這一蛋白功能的新藥,從而治療相關疾病。
熱銷產品
驗證數據
(Tris-Glycine gel) Discontinuous SDS-PAGE (reduced) with 5% enrichment gel and 15% separation gel.
Activity
Measured by its binding ability in a functional ELISA. Immobilized Human PTPRD protein (CSB-MP019051HU(A4)) at 2 μg/ml can bind Human IL1RAPL1 protein. The EC50 is 2.645-3.098 ng/mL.
The purity of IL1RAPL1 was greater than 95% as determined by SEC-HPLC
Recombinant Human Interleukin-1 receptor-like 1 (IL1RL1), partial (Active) (CSB-MP011626HU)
驗證數據
(Tris-Glycine gel) Discontinuous SDS-PAGE (reduced) with 5% enrichment gel and 15% separation gel.
Activity
①Measured by its binding ability in a functional ELISA.Immobilized Human IL1RL1 at 2 μg/ml can bind Anti-IL1RL1 recombinant antibody(CSB-RA011626MA1HU). The EC50 is 6.366-7.698 ng/mL.
Activity
②Measured by its binding ability in a functional ELISA.Immobilized Human IL1RL1 at 2 μg/ml can bind Anti-IL1RL1 recombinant antibody(CSB-RA011626MA2HU). The EC50 is 11.85-13.96 ng/mL.
The purity of IL1RL1 was greater than 95% as determined by SEC-HPLC
IL1RAPL1 Antibody (CSB-PA011624LA01HU)
驗證數據
Western Blot
Positive WB detected in: MCF-7 whole cell lysate, Hela whole cell lysate, SH-SY5Y whole cell lysate, U87 whole cell lysate
All lanes: IL1RAPL1 antibody at 5.4µg/ml
Secondary
Goat polyclonal to rabbit IgG at 1/50000 dilution
Predicted band size: 80 kDa
Observed band size: 80 kDa
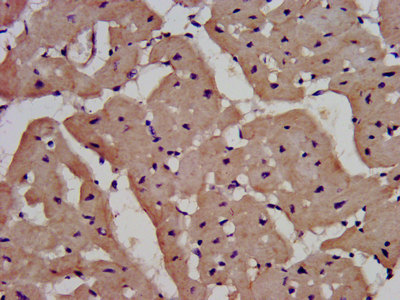
IHC image of CSB-PA011624LA01HU diluted at 1:400 and staining in paraffin-embedded human heart tissue performed on a Leica BondTM system. After dewaxing and hydration, antigen retrieval was mediated by high pressure in a citrate buffer (pH 6.0). Section was blocked with 10% normal goat serum 30min at RT. Then primary antibody (1% BSA) was incubated at 4°C overnight. The primary is detected by a biotinylated secondary antibody and visualized using an HRP conjugated SP system.
Immunofluorescence staining of HepG2 cells with CSB-PA011624LA01HU at 1:133, counter-stained with DAPI. The cells were fixed in 4% formaldehyde, permeabilized using 0.2% Triton X-100 and blocked in 10% normal Goat Serum. The cells were then incubated with the antibody overnight at 4°C. The secondary antibody was Alexa Fluor 488-congugated AffiniPure Goat Anti-Rabbit IgG(H+L).
IL1RAPL1 Antibodies
IL1RAPL1 for Homo sapiens (Human)
| 產品貨號 | 產品名稱 | 種屬反應性 | 應用類型 |
|---|---|---|---|
| CSB-PA011624GA01HU | IL1RAPL1 Antibody | Human,Mouse,Rat | ELISA,WB,IF |
| CSB-PA011624LA01HU | IL1RAPL1 Antibody | Human | ELISA, WB, IHC, IF |
| CSB-PA011624LB01HU | IL1RAPL1 Antibody, HRP conjugated | Human | ELISA |
| CSB-PA011624LC01HU | IL1RAPL1 Antibody, FITC conjugated | Human | |
| CSB-PA011624LD01HU | IL1RAPL1 Antibody, Biotin conjugated | Human | ELISA |
IL1RAPL1 Proteins
IL1RAPL1 Proteins for Homo sapiens (Human)
| 產品貨號 | 產品名稱 | 來源 |
|---|---|---|
| CSB-YP889161HU CSB-EP889161HU CSB-BP889161HU CSB-MP889161HU CSB-EP889161HU-B |
Recombinant Human Interleukin-1 receptor accessory protein-like 1 (IL1RAPL1), partial | Yeast E.coli Baculovirus Mammalian cell In Vivo Biotinylation in E.coli |
| CSB-MP011624HU1 | Recombinant Human Interleukin-1 receptor accessory protein-like 1 (IL1RAPL1), partial (Active) | Mammalian cell |






