IL15
IL15,即白細胞介素15,它主要由單核細胞和巨噬細胞產生,人體多種組織如心、肺、腎以及胎盤和肌肉等都能表達IL-15 mRNA。IL15的作用機制涉及與其特異性受體IL-15Rα結合,形成免疫突觸,并激活JAK1/JAK3和STAT3/STAT5途徑、Syk激酶和磷脂酶C(PLC)γ等,導致PI3K/Akt和Ras/Raf/MAPK信號級聯的激活。在生物學意義上,IL15具有調節T細胞、B細胞、NK細胞和CTL功能,刺激這些細胞的增殖,并在促炎癥、抗腫瘤、抗感染中發揮重要作用。IL15與IL-2功能相似但具有不同的受體結構和信號轉導通路,IL15的優勢在于不會引起活化T細胞的凋亡,并能維持記憶性T細胞,對長期抗腫瘤活性起到關鍵作用。
熱銷產品
Recombinant Human Interleukin-15 (IL15) (CSB-MP011593HU)
驗證數據
(Tris-Glycine gel) Discontinuous SDS-PAGE (reduced) with 5% enrichment gel and 15% separation gel.
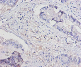
IL15 Antibody (CSB-PA06635A0Rb)
驗證數據
Immunohistochemistry of paraffin-embedded human colon cancer using CSB-PA06635A0Rb at dilution of 1:100
Rat Interleukin 15,IL-15 ELISA KIT (CSB-E07453r)
驗證數據
貨號:CSB-E07453r
規格:96T/48T
靈敏度:0.39 pg/mL
檢測范圍:1.56 pg/mL-100 pg/mL
These standard curves are provided for demonstration only. A standard curve should be generated for each set of samples assayed.
IL15 Antibodies
IL15 for Homo sapiens (Human)
| 產品貨號 | 產品名稱 | 種屬反應性 | 應用類型 |
|---|---|---|---|
| CSB-PA011593GA01HU | IL15 Antibody | Human,Mouse,Rat | ELISA,IHC |
| CSB-PA06635C0Rb | IL15 Antibody, FITC conjugated | Human | |
| CSB-PA06635A0Rb | IL15 Antibody | Human | ELISA, IHC |
| CSB-PA06635D0Rb | IL15 Antibody, Biotin conjugated | Human | ELISA |
| CSB-PA06635B0Rb | IL15 Antibody, HRP conjugated | Human | ELISA |
| CSB-RA011593MA1HU | IL15 Recombinant Monoclonal Antibody | Human | ELISA, IF, FC |
IL15 Proteins
IL15 Proteins for Mus musculus (Mouse)
| 產品貨號 | 產品名稱 | 來源 |
|---|---|---|
| CSB-YP011593MO CSB-EP011593MO CSB-BP011593MO CSB-MP011593MO CSB-EP011593MO-B |
Recombinant Mouse Interleukin-15 (Il15) | Yeast E.coli Baculovirus Mammalian cell In Vivo Biotinylation in E.coli |
IL15 Proteins for Macaca mulatta (Rhesus macaque)
| 產品貨號 | 產品名稱 | 來源 |
|---|---|---|
| CSB-YP011593MOW | Recombinant Macaca mulatta Interleukin-15 (IL15) | Yeast |
| CSB-EP011593MOW CSB-BP011593MOW CSB-MP011593MOW CSB-EP011593MOW-B |
Recombinant Macaca mulatta Interleukin-15 (IL15) | E.coli Baculovirus Mammalian cell In Vivo Biotinylation in E.coli |
IL15 Proteins for Felis catus (Cat) (Felis silvestris catus)
| 產品貨號 | 產品名稱 | 來源 |
|---|---|---|
| CSB-YP011593CA CSB-EP011593CA CSB-BP011593CA CSB-MP011593CA CSB-EP011593CA-B |
Recombinant Cat Interleukin-15 (IL15) | Yeast E.coli Baculovirus Mammalian cell In Vivo Biotinylation in E.coli |
IL15 Proteins for Homo sapiens (Human)
| 產品貨號 | 產品名稱 | 來源 |
|---|---|---|
| CSB-EP011593HU | Recombinant Human Interleukin-15 (IL15) | E.coli |
| CSB-AP001621HU | Recombinant Human Interleukin-15 protein (IL15) | E.Coli |
| CSB-EP011593HU CSB-BP011593HU CSB-EP011593HU-B |
Recombinant Human Interleukin-15 (IL15) | E.coli Baculovirus In Vivo Biotinylation in E.coli |
| CSB-AP004391HU | Recombinant Human Interleukin-15 (IL15) (Active) | E.coli |
| CSB-AP005861HU | Recombinant Human Interleukin-15 (IL15) (Active) (GMP) | E.Coli |
| CSB-MP011593HU | Recombinant Human Interleukin-15 (IL15) | Mammalian cell |
| CSB-MP011593HU-B | Recombinant Human Interleukin-15 (IL15), Biotinylated | Mammalian cell |
| CSB-MP011593HU-WD | Recombinant Human Interleukin-15 (IL15) (Active) | Mammalian cell |
| CSB-EP011593HUc7 | Recombinant Human Interleukin-15 (IL15) | E.coli |
IL15 Proteins for Rattus norvegicus (Rat)
| 產品貨號 | 產品名稱 | 來源 |
|---|---|---|
| CSB-YP011593RA CSB-EP011593RA CSB-BP011593RA CSB-MP011593RA CSB-EP011593RA-B |
Recombinant Rat Interleukin-15 (Il15) | Yeast E.coli Baculovirus Mammalian cell In Vivo Biotinylation in E.coli |
IL15 Proteins for Chlorocebus aethiops (Green monkey) (Cercopithecus aethiops)
| 產品貨號 | 產品名稱 | 來源 |
|---|---|---|
| CSB-YP011593DSU CSB-EP011593DSU CSB-BP011593DSU CSB-MP011593DSU CSB-EP011593DSU-B |
Recombinant Chlorocebus aethiops Interleukin-15 (IL15) | Yeast E.coli Baculovirus Mammalian cell In Vivo Biotinylation in E.coli |
IL15 Proteins for Marmota himalayana (Himalayan marmot)
| 產品貨號 | 產品名稱 | 來源 |
|---|---|---|
| CSB-YP011593MQF CSB-EP011593MQF CSB-BP011593MQF CSB-MP011593MQF CSB-EP011593MQF-B |
Recombinant Marmota himalayana Interleukin-15 (IL15) | Yeast E.coli Baculovirus Mammalian cell In Vivo Biotinylation in E.coli |
IL15 Proteins for Ailuropoda melanoleuca (Giant panda)
| 產品貨號 | 產品名稱 | 來源 |
|---|---|---|
| CSB-YP011593AYX CSB-EP011593AYX CSB-BP011593AYX CSB-MP011593AYX CSB-EP011593AYX-B |
Recombinant Ailuropoda melanoleuca Interleukin-15 (IL15) | Yeast E.coli Baculovirus Mammalian cell In Vivo Biotinylation in E.coli |
IL15 Proteins for Bos taurus (Bovine)
| 產品貨號 | 產品名稱 | 來源 |
|---|---|---|
| CSB-YP631693BO CSB-EP631693BO CSB-BP631693BO CSB-MP631693BO CSB-EP631693BO-B |
Recombinant Bovine Interleukin-15 (IL15) | Yeast E.coli Baculovirus Mammalian cell In Vivo Biotinylation in E.coli |
IL15 Proteins for Oryctolagus cuniculus (Rabbit)
| 產品貨號 | 產品名稱 | 來源 |
|---|---|---|
| CSB-YP667634RB CSB-EP667634RB CSB-BP667634RB CSB-MP667634RB CSB-EP667634RB-B |
Recombinant Rabbit Interleukin-15 (IL15) | Yeast E.coli Baculovirus Mammalian cell In Vivo Biotinylation in E.coli |
IL15 Proteins for Bubalus bubalis (Domestic water buffalo)
| 產品貨號 | 產品名稱 | 來源 |
|---|---|---|
| CSB-YP674593BWX CSB-EP674593BWX CSB-BP674593BWX CSB-MP674593BWX CSB-EP674593BWX-B |
Recombinant Bubalus bubalis Interleukin-15 (IL15) | Yeast E.coli Baculovirus Mammalian cell In Vivo Biotinylation in E.coli |
IL15 Proteins for Macaca thibetana (Pere David's macaque) (Tibetan macaque)
| 產品貨號 | 產品名稱 | 來源 |
|---|---|---|
| CSB-YP684005MDAO CSB-EP684005MDAO CSB-BP684005MDAO CSB-MP684005MDAO CSB-EP684005MDAO-B |
Recombinant Macaca thibetana Interleukin-15 (IL15) | Yeast E.coli Baculovirus Mammalian cell In Vivo Biotinylation in E.coli |
IL15 Proteins for Marmota monax (Woodchuck)
| 產品貨號 | 產品名稱 | 來源 |
|---|---|---|
| CSB-YP719701MQG CSB-EP719701MQG CSB-BP719701MQG CSB-MP719701MQG CSB-EP719701MQG-B |
Recombinant Marmota monax Interleukin-15 (IL15) | Yeast E.coli Baculovirus Mammalian cell In Vivo Biotinylation in E.coli |
IL15 Proteins for Cavia porcellus (Guinea pig)
| 產品貨號 | 產品名稱 | 來源 |
|---|---|---|
| CSB-YP745062GU CSB-EP745062GU CSB-BP745062GU CSB-MP745062GU CSB-EP745062GU-B |
Recombinant Guinea pig Interleukin-15 (IL15) | Yeast E.coli Baculovirus Mammalian cell In Vivo Biotinylation in E.coli |
IL15 Proteins for Sus scrofa (Pig)
| 產品貨號 | 產品名稱 | 來源 |
|---|---|---|
| CSB-YP836055PI CSB-EP836055PI CSB-BP836055PI CSB-MP836055PI CSB-EP836055PI-B |
Recombinant Pig Interleukin-15 (IL15) | Yeast E.coli Baculovirus Mammalian cell In Vivo Biotinylation in E.coli |
IL15 Proteins for Ovis aries (Sheep)
| 產品貨號 | 產品名稱 | 來源 |
|---|---|---|
| CSB-YP893166SH CSB-EP893166SH CSB-BP893166SH CSB-MP893166SH CSB-EP893166SH-B |
Recombinant Sheep Interleukin-15 (IL15) | Yeast E.coli Baculovirus Mammalian cell In Vivo Biotinylation in E.coli |
IL15 ELISA Kit
IL15 ELISA Kit for Homo sapiens (Human)
| 產品貨號 | 產品名稱 | 樣本類型 | 靈敏度 |
|---|---|---|---|
| CSB-E04603h | Human Interleukin 15,IL-15 ELISA KIT | serum, plasma, tissue homogenates | 0.78 pg/ml |
IL15 ELISA Kit for Monkey
| 產品貨號 | 產品名稱 | 樣本類型 | 靈敏度 |
|---|---|---|---|
| CSB-E14392Mk | Monkey Interleukin 15,IL-15 ELISA Kit | serum, plasma | 3.9 pg/mL |
IL15 ELISA Kit for Mus musculus (Mouse)
| 產品貨號 | 產品名稱 | 樣本類型 | 靈敏度 |
|---|---|---|---|
| CSB-E04604m | Mouse Interleukin 15,IL-15 ELISA Kit | serum, plasma, tissue homogenates | 0.078 ng/ml |
IL15 ELISA Kit for Sus scrofa (Pig)
| 產品貨號 | 產品名稱 | 樣本類型 | 靈敏度 |
|---|---|---|---|
| CSB-E14320p | Pig Interleukin 15(IL-15) ELISA Kit | serum, plasma, cell culture supernates, tissue homogenates, cell lysates | 0.195 pg/mL |
IL15 ELISA Kit for Rattus norvegicus (Rat)
| 產品貨號 | 產品名稱 | 樣本類型 | 靈敏度 |
|---|---|---|---|
| CSB-E07453r | Rat Interleukin 15,IL-15 ELISA KIT | serum, plasma, tissue homogenates, cell lysates | 0.39 pg/mL |






