IL13RA1
IL13RA1,即白細胞介素13受體亞單位α1,別名NR4、CT19、CD213A1。該基因位于X染色體上。IL13RA1是IL-13受體的主要結合亞基,與IL-4受體α形成受體復合體,這是IL-13和IL-4受體共有的亞基。IL13RA1與IL-13結合后,與IL-4受體α鏈形成異二聚體,激活JAK2/Tyk2依賴的信號轉導和轉錄激活因子STAT的磷酸化。IL13RA1在免疫調節、炎癥反應、過敏反應等多個生物學過程中發揮關鍵作用,對單核巨噬細胞、B淋巴細胞、NK細胞和血管內皮細胞等具有多種生物學作用,是機體免疫反應的重要調節介質。
熱銷產品
驗證數據
(Tris-Glycine gel) Discontinuous SDS-PAGE (reduced) with 5% enrichment gel and 15% separation gel.
Activity
Measured by its binding ability in a functional ELISA. Immobilized Human IL13RA1 at 2 μg/ml can bind Anti-IL13RA1 recombinant antibody (CSB-RA011591MA1HU). The EC50 is 0.8074-0.9029 ng/mL.
Recombinant Human Interleukin-13 receptor subunit alpha-1 (IL13RA1) (CSB-CF011591HU)
驗證數據
(Tris-Glycine gel) Discontinuous SDS-PAGE (reduced) with 5% enrichment gel and 15% separation gel.
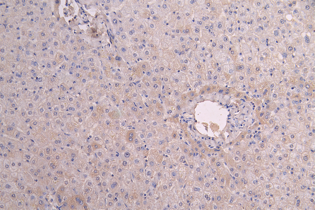
IL13RA1 Recombinant Monoclonal Antibody (CSB-RA011591MA1HU)
驗證數據
IHC image of CSB-RA011591MA1HU diluted at 1:200 and staining in paraffin-embedded human liver tissue performed on a Leica BondTM system. After dewaxing and hydration, antigen retrieval was mediated by high pressure in a citrate buffer (pH 6.0). Section was blocked with 10% normal goat serum 30min at RT. Then primary antibody (1% BSA) was incubated at 4°C overnight. The primary is detected by a Goat anti-human polymer IgG labeled by HRP and visualized using 0.05% DAB.
IL13RA1 Antibodies
IL13RA1 for Homo sapiens (Human)
| 產品貨號 | 產品名稱 | 種屬反應性 | 應用類型 |
|---|---|---|---|
| CSB-PA003019 | IL13RA1 Antibody | Human,Mouse,Rat | WB, IHC, IF, ELISA |
| CSB-PA009595 | Phospho-IL13RA1 (Y405) Antibody | Human,Mouse,Rat | WB, IF, ELISA |
| CSB-PA058807 | IL13RA1 Antibody | Human | ELISA,IHC |
| CSB-PA011591LA01HU | IL13RA1 Antibody | Human | ELISA, IHC, IF |
| CSB-PA011591LB01HU | IL13RA1 Antibody, HRP conjugated | Human | ELISA |
| CSB-PA011591LC01HU | IL13RA1 Antibody, FITC conjugated | Human | |
| CSB-PA011591LD01HU | IL13RA1 Antibody, Biotin conjugated | Human | ELISA |
| CSB-RA011591MA1HU | IL13RA1 Recombinant Monoclonal Antibody | Human | ELISA, IHC |
IL13RA1 Proteins
IL13RA1 Proteins for Homo sapiens (Human)
| 產品貨號 | 產品名稱 | 來源 |
|---|---|---|
| CSB-YP011591HU1 CSB-EP011591HU1 CSB-BP011591HU1 CSB-EP011591HU1-B |
Recombinant Human Interleukin-13 receptor subunit alpha-1 (IL13RA1), partial | Yeast E.coli Baculovirus In Vivo Biotinylation in E.coli |
| CSB-CF011591HU | Recombinant Human Interleukin-13 receptor subunit alpha-1 (IL13RA1) | in vitro E.coli expression system |
| CSB-AP004571HU | Recombinant Human Interleukin-13 receptor subunit alpha-1 (IL13RA1), partial (Active) | Mammalian cell |
| CSB-MP011591HU | Recombinant Human Interleukin-13 receptor subunit alpha-1 (IL13RA1)-VLPs | Mammalian cell |
IL13RA1 Proteins for Mus musculus (Mouse)
| 產品貨號 | 產品名稱 | 來源 |
|---|---|---|
| CSB-YP011591MO1 CSB-EP011591MO1 CSB-BP011591MO1 CSB-EP011591MO1-B |
Recombinant Mouse Interleukin-13 receptor subunit alpha-1 (Il13ra1), partial | Yeast E.coli Baculovirus In Vivo Biotinylation in E.coli |
| CSB-CF011591MO | Recombinant Mouse Interleukin-13 receptor subunit alpha-1 (Il13ra1) | in vitro E.coli expression system |






