IGSF9
IGSF9,全稱為免疫球蛋白超家族成員9,是一種廣泛存在于細胞膜上的蛋白質,其特點在于含有免疫球蛋白樣結構域,參與細胞間的識別、黏附和信號傳導等過程。IGSF9蛋白在突觸部位富集,作為一種跨膜蛋白,與其他突觸蛋白相互作用,參與突觸的形成和功能調控。研究表明,IGSF9蛋白在抑制性突觸中發揮重要作用,通過與突觸后支架蛋白如Gephyrin結合,調節GABA能突觸的穩定性和功能,從而影響神經回路的興奮與抑制平衡。
IGSF9蛋白的突變或表達異??赡軐е峦挥|功能紊亂,與多種神經系統疾病相關,如自閉癥譜系障礙、精神分裂癥和癲癇等。動物模型中發現,IGSF9蛋白的缺失會導致小鼠表現出社交行為異常和焦慮樣行為增加,提示其與神經精神疾病密切相關。IGSF9蛋白的過表達可能增強抑制性突觸的功能,導致神經回路過度抑制,而表達降低則可能削弱抑制性突觸,引發神經興奮性增高。此外,IGSF9蛋白還可能與其它IgSF成員如SynCAM家族存在功能交叉,共同調控突觸可塑性。IGSF9蛋白的研究有助于深入理解突觸調控機制及相關疾病的病理基礎,為相關疾病的治療提供新的思路。
熱銷產品
Recombinant Human Protein turtle homolog A (IGSF9), partial (CSB-MP882181HUd7)
驗證數據
(Tris-Glycine gel) Discontinuous SDS-PAGE (reduced) with 5% enrichment gel and 15% separation gel.
The purity of IGSF9 was greater than 95% as determined by SEC-HPLC
IGSF9 Antibody (CSB-PA23039A0Rb)
驗證數據
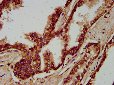
IHC image of CSB-PA23039A0Rb diluted at 1:200 and staining in paraffin-embedded human endometrial cancer performed on a Leica BondTM system. After dewaxing and hydration, antigen retrieval was mediated by high pressure in a citrate buffer (pH 6.0). Section was blocked with 10% normal goat serum 30min at RT. Then primary antibody (1% BSA) was incubated at 4°C overnight. The primary is detected by a biotinylated secondary antibody and visualized using an HRP conjugated SP system.
IHC image of CSB-PA23039A0Rb diluted at 1:200 and staining in paraffin-embedded human prostate cancer performed on a Leica BondTM system. After dewaxing and hydration, antigen retrieval was mediated by high pressure in a citrate buffer (pH 6.0). Section was blocked with 10% normal goat serum 30min at RT. Then primary antibody (1% BSA) was incubated at 4°C overnight. The primary is detected by a biotinylated secondary antibody and visualized using an HRP conjugated SP system.
IGSF9 Antibodies
IGSF9 for Homo sapiens (Human)
| 產品貨號 | 產品名稱 | 種屬反應性 | 應用類型 |
|---|---|---|---|
| CSB-PA23039A0Rb | IGSF9 Antibody | Human | ELISA, IHC |
| CSB-PA23039B0Rb | IGSF9 Antibody, HRP conjugated | Human | ELISA |
| CSB-PA23039C0Rb | IGSF9 Antibody, FITC conjugated | Human | |
| CSB-PA23039D0Rb | IGSF9 Antibody, Biotin conjugated | Human | ELISA |
IGSF9 Proteins
IGSF9 Proteins for Homo sapiens (Human)
| 產品貨號 | 產品名稱 | 來源 |
|---|---|---|
| CSB-YP882181HU CSB-BP882181HU CSB-EP882181HU-B |
Recombinant Human Protein turtle homolog A (IGSF9), partial | Yeast Baculovirus In Vivo Biotinylation in E.coli |
| CSB-EP882181HU | Recombinant Human Protein turtle homolog A (IGSF9), partial | E.coli |
| CSB-MP882181HUd7 | Recombinant Human Protein turtle homolog A (IGSF9), partial | Mammalian cell |
| CSB-MP882181HU | Recombinant Human Protein turtle homolog A(IGSF9), partial | Mammalian cell |






