IGF2BP3
IGF2BP3,即胰島素樣生長因子2的mRNA結合蛋白3,是一種RNA結合蛋白,其結構包含RNA結合結構域、RRM結構域和蛋白質互作結構域。它通過與mRNA結合,促進其穩定性和翻譯過程,從而調控細胞的增殖、分化和存活。在生物學過程中,IGF2BP3扮演著重要角色,尤其在發育、腫瘤發生和干細胞形成等方面。作為N6-腺苷酸甲基化閱讀蛋白,它還能識別m6A GC序列,影響下游靶基因mRNA的穩定性和翻譯。關于其信號通路,IGF2BP3可能通過與特定分子或蛋白質相互作用,形成復雜的信號網絡,如在結直腸癌中,它與METTL14合作,通過m6A依賴的方式促進EGFR mRNA的穩定性和翻譯,進而激活EGFR通路。因此,深入研究IGF2BP3的信號通路和調控機制對于理解其生物學功能以及開發新的治療策略具有重要意義。
熱銷產品
● Recombinant Human Insulin-like growth factor 2 mRNA-binding protein 3 (IGF2BP3)
驗證數據
驗證數據
Positive WB detected in: Hela whole cell lysate, K562 whole cell lysate, HEK293 whole cell lysate, Mouse brain tissue
All lanes: IGF2BP3 antibody at 2μg/ml
Secondary
Goat polyclonal to rabbit IgG at 1/50000 dilution
Predicted band size: 64, 22 kDa
Observed band size: 64, 50 kDa
Immunofluorescent analysis of MCF-7 cells using CSB-PA011092LA01HU at dilution of 1:100 and Alexa Fluor 488-congugated AffiniPure Goat Anti-Rabbit IgG(H+L)
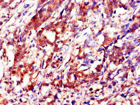
Immunohistochemistry of paraffin-embedded human gastric cancer using CSB-PA011092LA01HU at dilution of 1:100
Immunohistochemistry of paraffin-embedded human placenta tissue using CSB-PA011092LA01HU at dilution of 1:100
IGF2BP3 Antibodies
IGF2BP3 for Homo sapiens (Human)
| 產品貨號 | 產品名稱 | 種屬反應性 | 應用類型 |
|---|---|---|---|
| CSB-PA011092GA01HU | IGF2BP3 Antibody | Human,Mouse,Rat | ELISA,WB,IHC |
| CSB-PA745585 | IGF2BP3 Antibody | Human,Mouse | ELISA,WB |
| CSB-PA011092LA01HU | IGF2BP3 Antibody | Human, Mouse | ELISA, WB, IHC, IF |
| CSB-PA011092LB01HU | IGF2BP3 Antibody, HRP conjugated | Human | ELISA |
| CSB-PA011092LC01HU | IGF2BP3 Antibody, FITC conjugated | Human | |
| CSB-PA011092LD01HU | IGF2BP3 Antibody, Biotin conjugated | Human | ELISA |
IGF2BP3 Proteins
IGF2BP3 Proteins for Homo sapiens (Human)
| 產品貨號 | 產品名稱 | 來源 |
|---|---|---|
| CSB-YP011092HU CSB-BP011092HU CSB-MP011092HU CSB-EP011092HU-B |
Recombinant Human Insulin-like growth factor 2 mRNA-binding protein 3 (IGF2BP3) | Yeast Baculovirus Mammalian cell In Vivo Biotinylation in E.coli |
| CSB-EP011092HU | Recombinant Human Insulin-like growth factor 2 mRNA-binding protein 3 (IGF2BP3) | E.coli |
IGF2BP3 ELISA Kit
IGF2BP3 ELISA Kit for Homo sapiens (Human)
| 產品貨號 | 產品名稱 | 樣本類型 | 靈敏度 |
|---|---|---|---|
| CSB-EL011092HU | Human Insulin-like growth factor 2 mRNA-binding protein 3(IGF2BP3) ELISA kit | serum, plasma, tissue homogenates, cell lysates | 9.37 pg/mL |






