IGF1R
IGF1R,全稱胰島素樣生長因子1受體蛋白,是一種細胞表面受體,參與生長調節和發育。它也被稱為IGFIR、IGFR、JTK13、CD221、MGC142170、MGC142172、MGC18216等。IGF1R蛋白的失調與癌癥和生長障礙等疾病有關。靶向IGF1R蛋白可能通過調節細胞生長、抑制腫瘤進展和管理生長相關疾病,為這些疾病提供潛在的治療干預。
IGF1R蛋白在多種信號通路中發揮重要作用,包括PI3K-AKT/PKB、Ras-MAPK、JAK/STAT和JNK通路。這些通路涉及細胞的生長、存活、增殖和轉化。IGF1R蛋白的高表達與多種癌癥的發生發展有關,如非小細胞肺癌、乳腺癌、結直腸癌等。此外,IGF1R蛋白也與一些其他疾病有關,如2型糖尿病、骨質疏松等。
目前,針對IGF1R蛋白的藥物研發主要集中在抗體類藥物和小分子抑制劑。抗體類藥物可以通過結合IGF1R蛋白,阻斷其信號通路,從而抑制腫瘤細胞的增殖和轉移。小分子抑制劑可以抑制IGF1R蛋白的激酶活性,從而抑制腫瘤細胞的生長和增殖。目前,已有多種IGF1R靶向藥物進入臨床試驗階段,部分藥物已獲得批準上市,為癌癥患者提供了新的治療選擇。
熱銷產品
Recombinant Human Insulin-like growth factor 1 receptor (IGF1R), partial (Active) (CSB-MP011087HU1)
驗證數據
(Tris-Glycine gel) Discontinuous SDS-PAGE (reduced) with 5% enrichment gel and 15% separation gel.
Activity
Measured by its binding ability in a functional ELISA. Immobilized Human IGF1R at 2 μg/ml can bind Anti-IGF1R recombinant antibody (CSB-RA011087MA2HU). The EC50 is 1.479-1.702 ng/mL.
The purity of IGF1R was greater than 90% as determined by SEC-HPLC
IGF1R Recombinant Monoclonal Antibody (CSB-RA011087MA2HU)
驗證數據
The Binding Activity of Human IGF1R with Anti-IGF1R Recombinant Antibody
Activity: Measured by its binding ability in a functional ELISA. Immobilized Human IGF1R (CSB-MP011087HU1) at 2 μg/mL can bind Anti-IGF1R recombinant antibody. The EC50 is 1.479-1.702 ng/mL.
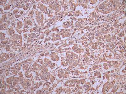
IHC image of CSB-RA011087MA2HU diluted at 1:50 and staining in paraffin-embedded human breast cancer performed on a Leica BondTM system. After dewaxing and hydration, antigen retrieval was mediated by high pressure in a citrate buffer (pH 6.0). Section was blocked with 10% normal goat serum 30min at RT. Then primary antibody (1% BSA) was incubated at 4°C overnight. The primary is detected by a Anti-Human lgG, Fcy Fragment Specific labeled by HRP and visualized using 0.05% DAB.
IHC image of CSB-RA011087MA2HU diluted at 1:50 and staining in paraffin-embedded human liver cancer performed on a Leica BondTM system. After dewaxing and hydration, antigen retrieval was mediated by high pressure in a citrate buffer (pH 6.0). Section was blocked with 10% normal goat serum 30min at RT. Then primary antibody (1% BSA) was incubated at 4°C overnight. The primary is detected by a Anti-Human lgG, Fcy Fragment Specific labeled by HRP and visualized using 0.05% DAB.
Immunofluorescence staining of MCF-7 cell with CSB-RA011087MA2HU at 1:30 ,counter-stained with DAPI. The cells were fixed in 4% formaldehyde and blocked in 10% normal Goat Serum. The cells were then incubated with the antibody overnight at 4°C. The secondary antibody was Fluorescein (FITC) AffiniPure Goat Anti-Human IgG, Fcγ fragment specific.
Immunofluorescence staining of SH-SY5Y cell with CSB-RA011087MA2HU at 1:30 ,counter-stained with DAPI. The cells were fixed in 4% formaldehyde and blocked in 10% normal Goat Serum. The cells were then incubated with the antibody overnight at 4°C. The secondary antibody was Fluorescein (FITC) AffiniPure Goat Anti-Human IgG, Fcγ fragment specific.
Overlay Peak curve showing Hela cells stained with CSB-RA011087MA2HU (red line) at 1:100. Then 10% normal goat serum to block non-specific protein-protein interactions followed by the antibody (1ug/1*106cells) for 45min at 4℃. The secondary antibody used was Fluorescein (FITC) AffiniPure Goat Anti-Human IgG, Fcγ fragment specific at 1:200 dilution for 35 min at 4℃.Control antibody (green line) was mouse IgG2a (1ug/1*106cells) used under the same conditions. Acquisition of >10,000 events was performed.
Human insulin-like growth factors 1 receptor,IGF-1R ELISA Kit (CSB-E13766h)
驗證數據
貨號:CSB-E13766h
規格:96T/48T
靈敏度:0.078 ng/mL
檢測范圍:0.312 ng/mL-20 ng/mL
These standard curves are provided for demonstration only. A standard curve should be generated for each set of samples assayed.
IGF1R Antibodies
IGF1R for Homo sapiens (Human)
| 產品貨號 | 產品名稱 | 種屬反應性 | 應用類型 |
|---|---|---|---|
| CSB-PA011087GA01HU | IGF1R Antibody | Human,Mouse,Rat | ELISA,WB,IP |
| CSB-PA597654 | Phospho-IGF1R (Tyr1165/Tyr1166) Antibody | Human,Mouse,Rat | ELISA,WB,IF |
| CSB-PA067618 | IGF1R (Ab-1161) Antibody | Human,Mouse,Rat | ELISA,WB,IHC,IF |
| CSB-PA142373 | IGF1R (Ab-1165/1166) Antibody | Human,Mouse,Rat | ELISA,WB |
| CSB-PA443662 | IGF1R (Ab-1280) Antibody | Human,Mouse,Rat | ELISA,WB,IHC |
| CSB-PA449888 | Phospho-IGF1R (Tyr1280) Antibody | Human | ELISA,WB |
| CSB-PA277594 | IGF1R (Ab-1346) Antibody | Human,Mouse,Rat | ELISA,WB,IHC |
| CSB-PA120059 | Phospho-IGF1R (Tyr1161) Antibody | Human,Mouse,Rat | ELISA,WB,IHC,IF |
| CSB-PA945418 | Phospho-IGF1R (Tyr1346) Antibody | Human,Mouse,Rat | ELISA,IHC |
| CSB-PA942675 | IGF1R (Ab-1346) Antibody | Human,Mouse | ELISA,WB,IHC |
| CSB-PA000549 | Phospho-IGF1R (Y1165/Y1166) Antibody | Human,Mouse,Rat,Monkey | WB, ELISA |
| CSB-PA009487 | Phospho-IGF1R (Y1346) Antibody | Human,Mouse,Rat | IHC, ELISA |
| CSB-PA009488 | IGF1R Antibody | Human,Mouse,Rat | WB, ELISA |
| CSB-PA009489 | IGF1R Antibody | Human,Mouse,Rat | WB, ELISA |
| CSB-PA009490 | IGF1R Antibody | Human,Mouse,Rat | WB, IHC, ELISA |
| CSB-PA08395A0Rb | IGF1R Antibody | Human | ELISA, IF |
| CSB-PA08395B0Rb | IGF1R Antibody, HRP conjugated | Human | ELISA |
| CSB-PA08395D0Rb | IGF1R Antibody, Biotin conjugated | Human | ELISA |
| CSB-RA011087MA1HU | IGF1R Recombinant Monoclonal Antibody | Human | ELISA, FC |
| CSB-RA011087MA2HU | IGF1R Recombinant Monoclonal Antibody | Human | ELISA, IHC, IF, FC |
IGF1R Proteins
IGF1R Proteins for Rattus norvegicus (Rat)
| 產品貨號 | 產品名稱 | 來源 |
|---|---|---|
| CSB-YP011087RA1 CSB-EP011087RA1 CSB-BP011087RA1 CSB-MP011087RA1 CSB-EP011087RA1-B |
Recombinant Rat Insulin-like growth factor 1 receptor (Igf1r), partial | Yeast E.coli Baculovirus Mammalian cell In Vivo Biotinylation in E.coli |
| CSB-CF011087RA | Recombinant Rat Insulin-like growth factor 1 receptor (Igf1r) | in vitro E.coli expression system |
IGF1R Proteins for Homo sapiens (Human)
| 產品貨號 | 產品名稱 | 來源 |
|---|---|---|
| CSB-YP011087HU | Recombinant Human Insulin-like growth factor 1 receptor (IGF1R), partial | Yeast |
| CSB-EP011087HUa0 | Recombinant Human Insulin-like growth factor 1 receptor (IGF1R), partial | E.coli |
| CSB-EP011087HU | Recombinant Human Insulin-like growth factor 1 receptor (IGF1R), partial | E.coli |
| CSB-BP011087HU |
Recombinant Human Insulin-like growth factor 1 receptor (IGF1R), partial | Baculovirus |
| CSB-EP011087HU-B | Recombinant Human Insulin-like growth factor 1 receptor (IGF1R), partial,Biotinylated | E.coli |
| CSB-MP011087HU1 | Recombinant Human Insulin-like growth factor 1 receptor (IGF1R), partial (Active) | Mammalian cell |
IGF1R Proteins for Xenopus laevis (African clawed frog)
| 產品貨號 | 產品名稱 | 來源 |
|---|---|---|
| CSB-YP011087XBE1 CSB-EP011087XBE1 CSB-BP011087XBE1 CSB-MP011087XBE1 CSB-EP011087XBE1-B |
Recombinant Xenopus laevis Insulin-like growth factor 1 receptor (igf1r), partial | Yeast E.coli Baculovirus Mammalian cell In Vivo Biotinylation in E.coli |
| CSB-CF011087XBE | Recombinant Xenopus laevis Insulin-like growth factor 1 receptor (igf1r) | in vitro E.coli expression system |
IGF1R Proteins for Mus musculus (Mouse)
| 產品貨號 | 產品名稱 | 來源 |
|---|---|---|
| CSB-YP011087MO CSB-EP011087MO CSB-BP011087MO CSB-MP011087MO CSB-EP011087MO-B |
Recombinant Mouse Insulin-like growth factor 1 receptor (Igf1r), partial | Yeast E.coli Baculovirus Mammalian cell In Vivo Biotinylation in E.coli |
IGF1R Proteins for Sus scrofa (Pig)
| 產品貨號 | 產品名稱 | 來源 |
|---|---|---|
| CSB-YP011087PI CSB-EP011087PI CSB-BP011087PI CSB-MP011087PI CSB-EP011087PI-B |
Recombinant Pig Insulin-like growth factor 1 receptor (IGF1R), partial | Yeast E.coli Baculovirus Mammalian cell In Vivo Biotinylation in E.coli |
IGF1R Proteins for Homo sapiens (Human) parvovirus B19 (isolate AU) (HPV B19)
| 產品貨號 | 產品名稱 | 來源 |
|---|---|---|
| CSB-MP011087HU | Recombinant Human Insulin-like growth factor 1 receptor (IGF1R), partial | Mammalian cell |
IGF1R ELISA Kit
IGF1R ELISA Kit for Homo sapiens (Human)
| 產品貨號 | 產品名稱 | 樣本類型 | 靈敏度 |
|---|---|---|---|
| CSB-E13766h | Human insulin-like growth factors 1 receptor,IGF-1R ELISA Kit | serum, plasma, tissue homogenates | 0.078 ng/mL |
IGF1R ELISA Kit for Rattus norvegicus (Rat)
| 產品貨號 | 產品名稱 | 樣本類型 | 靈敏度 |
|---|---|---|---|
| CSB-E13873r | Rat Insulin-like growth factor 1 receptor, IGF-1R ELISA Kit | serum, plasma, tissue homogenates | 0.8 pg/mL |






