IFNAR1
IFNAR1,即干擾素α和β受體亞單位1,別名Interferon beta receptor 1、interferon receptor 1、Interferon-alpha receptor、Type I interferon receptor 1。它是一種I型干擾素受體的組成部分,由人體細胞自身的基因編碼。IFNAR1的作用機制主要是與IFNAR2亞單位形成異二聚體受體,與干擾素α和β結合后,激活Janus激酶(JAK),進而激活信號轉導及轉錄激活因子(STAT)信號通路,尤其是通過磷酸化STAT1和STAT2,形成ISGF3復合體,促進干擾素刺激基因(ISGs)的表達。在生物學意義上,IFNAR1在機體的抗病毒反應和免疫調節中發揮關鍵作用。它不僅參與了對病毒感染的防御機制,還與腫瘤免疫、自身免疫性疾病的發生發展有關。例如,IFNAR1介導的信號通路可以增強NK細胞的活性,促進單核細胞和巨噬細胞的功能,以及刺激樹突狀細胞的成熟和遷移。此外,IFNAR1的功能異常可能與某些病毒性疾病的發病機制相關,使其成為抗病毒治療和免疫調節治療的潛在靶點 。
熱銷產品
IFNAR1 Antibody (CSB-PA107635)
驗證數據
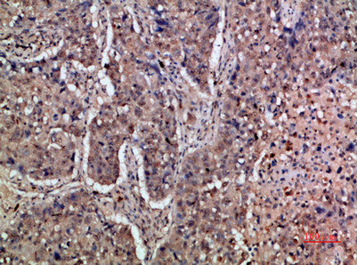
Immunohistochemical analysis of paraffin-embedded human-lung-cancer, antibody was diluted at 1:200
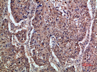
Immunohistochemical analysis of paraffin-embedded human-lung-cancer, antibody was diluted at 1:200
IFNAR1 Antibodies
IFNAR1 for Homo sapiens (Human)
| 產品貨號 | 產品名稱 | 種屬反應性 | 應用類型 |
|---|---|---|---|
| CSB-PA011046GA01HU | IFNAR1 Antibody | Human | ELISA,WB |
| CSB-PA009471 | Phospho-IFNAR1 (Y466) Antibody | Human | WB, IHC, ELISA |
| CSB-PA009473 | IFNAR1 Antibody | Human | IHC, IF, ELISA |
| CSB-PA107635 | IFNAR1 Antibody | Human | IHC,ELISA |
| CSB-RA011046A0HU | IFNAR1 Recombinant Monoclonal Antibody | Human | ELISA |
IFNAR1 Proteins
IFNAR1 Proteins for Homo sapiens (Human)
| 產品貨號 | 產品名稱 | 來源 |
|---|---|---|
| CSB-YP011046HU1 CSB-EP011046HU CSB-BP011046HU CSB-MP011046HU CSB-EP011046HU1-B |
Recombinant Human Interferon alpha/beta receptor 1 (IFNAR1), partial | Yeast E.coli Baculovirus Mammalian cell In Vivo Biotinylation in E.coli |
| CSB-CF011046HU | Recombinant Human Interferon alpha/beta receptor 1 (IFNAR1) | in vitro E.coli expression system |
IFNAR1 Proteins for Mus musculus (Mouse)
| 產品貨號 | 產品名稱 | 來源 |
|---|---|---|
| CSB-YP011046MO1 CSB-EP011046MO1 CSB-BP011046MO1 CSB-MP011046MO1 CSB-EP011046MO1-B |
Recombinant Mouse Interferon alpha/beta receptor 1 (Ifnar1), partial | Yeast E.coli Baculovirus Mammalian cell In Vivo Biotinylation in E.coli |
| CSB-CF011046MO | Recombinant Mouse Interferon alpha/beta receptor 1 (Ifnar1) | in vitro E.coli expression system |
IFNAR1 Proteins for Ovis aries (Sheep)
| 產品貨號 | 產品名稱 | 來源 |
|---|---|---|
| CSB-YP636729SH CSB-EP636729SH CSB-BP636729SH CSB-MP636729SH CSB-EP636729SH-B |
Recombinant Sheep Interferon alpha/beta receptor 1 (IFNAR1), partial | Yeast E.coli Baculovirus Mammalian cell In Vivo Biotinylation in E.coli |
IFNAR1 Proteins for Sus scrofa (Pig)
| 產品貨號 | 產品名稱 | 來源 |
|---|---|---|
| CSB-YP758824PI CSB-EP758824PI CSB-BP758824PI CSB-MP758824PI CSB-EP758824PI-B |
Recombinant Pig Interferon alpha/beta receptor 1 (IFNAR1), partial | Yeast E.coli Baculovirus Mammalian cell In Vivo Biotinylation in E.coli |






