IDO1
IDO1,即吲哚胺2,3-雙加氧酶1,它是一種由IDO1基因編碼的酶,主要分布在肝臟外的各種組織和細胞中,如胸腺、小腸、附睪、胎盤、腎臟、脾臟、胰腺、中樞神經系統等。IDO1的主要作用機制是催化色氨酸轉化為犬尿氨酸,這一過程是色氨酸代謝的限速步驟。在信號通路方面,IDO1的活性受到多種細胞因子如IFN-γ、TNF-α的調控,這些細胞因子通過作用于IDO1基因的干擾素刺激反應元素(GAS)和干擾素激活位點(ISRE)來誘導IDO1的表達。在生物學意義上,IDO1在維持免疫穩態、調節免疫應答中發揮重要作用,尤其是在妊娠期間防止胎兒排斥反應、腫瘤免疫逃逸、以及某些感染性疾病中。IDO1的異常表達或活性與多種疾病包括腫瘤、自身免疫病和神經退行性疾病等的發生發展密切相關。
熱銷產品
Recombinant Human Indoleamine 2,3-dioxygenase 1 (IDO1) (CSB-EP010996HU)
驗證數據
(Tris-Glycine gel) Discontinuous SDS-PAGE (reduced) with 5% enrichment gel and 15% separation gel.
Based on the SEQUEST from database of E.coli host and target protein, the LC-MS/MS Analysis result of CSB-EP010996HU could indicate that this peptide derived from E.coli-expressed Homo sapiens (Human) IDO1.
Based on the SEQUEST from database of E.coli host and target protein, the LC-MS/MS Analysis result of CSB-EP010996HU could indicate that this peptide derived from E.coli-expressed Homo sapiens (Human) IDO1.
IDO1 Recombinant Monoclonal Antibody (CSB-RA215054A0HU)
驗證數據
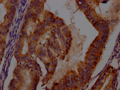
IHC image of CSB-RA215054A0HU diluted at 1:100 and staining in paraffin-embedded human endometrial cancer performed on a Leica BondTM system. After dewaxing and hydration, antigen retrieval was mediated by high pressure in a citrate buffer (pH 6.0). Section was blocked with 10% normal goat serum 30min at RT. Then primary antibody (1% BSA) was incubated at 4℃ overnight. The primary is detected by a Goat anti-rabbit IgG polymer labeled by HRP and visualized using 0.05% DAB.
Mouse Indoleamine 2,3-dioxygenase 1(IDO1) ELISA kit (CSB-EL010996MO)
驗證數據
貨號:CSB-EL010996MO
規格:96T/48T
靈敏度:15.6 pg/mL
檢測范圍:62.5 pg/mL-4000 pg/mL
These standard curves are provided for demonstration only. A standard curve should be generated for each set of samples assayed.
IDO1 Antibodies
IDO1 for Homo sapiens (Human)
| 產品貨號 | 產品名稱 | 種屬反應性 | 應用類型 |
|---|---|---|---|
| CSB-PA010996GA01HU | IDO1 Antibody | Human | ELISA,WB |
| CSB-PA010996HD01HU | IDO1 Antibody, Biotin conjugated | Human | ELISA |
| CSB-PA010996HC01HU | IDO1 Antibody, FITC conjugated | Human | |
| CSB-PA010996HB01HU | IDO1 Antibody, HRP conjugated | Human | ELISA |
| CSB-PA010996HA01HU | IDO1 Antibody | Human | ELISA, WB, IHC, IF |
| CSB-RA215054A0HU | IDO1 Recombinant Monoclonal Antibody | Human | ELISA, IHC |
IDO1 Proteins
IDO1 Proteins for Homo sapiens (Human)
| 產品貨號 | 產品名稱 | 來源 |
|---|---|---|
| CSB-YP010996HU | Recombinant Human Indoleamine 2,3-dioxygenase 1 (IDO1) | Yeast |
| CSB-EP010996HU | Recombinant Human Indoleamine 2,3-dioxygenase 1 (IDO1) | E.coli |
| CSB-BP010996HU CSB-MP010996HU CSB-EP010996HU-B |
Recombinant Human Indoleamine 2,3-dioxygenase 1 (IDO1) | Baculovirus Mammalian cell In Vivo Biotinylation in E.coli |
IDO1 ELISA Kit
IDO1 ELISA Kit for Homo sapiens (Human)
| 產品貨號 | 產品名稱 | 樣本類型 | 靈敏度 |
|---|---|---|---|
| CSB-E09966h | Human indoleamine 2,3-dioxygenase,IDO ELISA Kit | serum, plasma, tissue homogenates, cell lysates | 0.195 ng/mL |






