IDH1
IDH1,即異檸檬酸脫氫酶1,別名IDH1突變體、IDH1p. Arg132His等特定突變體的名稱。它是一種在細胞質和過氧化物酶體中發揮作用的酶,由人體細胞自身的基因編碼。IDH1的主要作用機制是催化異檸檬酸轉化為α-酮戊二酸(α-KG)的氧化脫羧反應,同時將NADP+還原為NADPH。這一過程為細胞提供了重要的抗氧化分子,并且α-KG作為一種輔酶,參與調節多種依賴α-KG的雙加氧酶的活性,影響細胞的表觀遺傳修飾和代謝過程。IDH1在生物學上的意義非常廣泛,它不僅參與細胞的能量代謝和維持氧化還原平衡,還與多種疾病的發生發展密切相關。IDH1的突變形式在某些癌癥如膠質瘤、急性髓系白血病(AML)和肝內膽管癌中較為常見,這些突變通常導致代謝產物2-羥基戊二酸(2-HG)的積累,進而影響細胞的甲基化狀態和基因表達調控。此外,IDH1還參與調節PI3K/AKT/mTOR等信號通路,這些通路與細胞的增殖、凋亡、血管生成和代謝等生理過程緊密相關。因此,IDH1不僅在維持細胞正常生理功能中發揮關鍵作用,也是癌癥治療中的潛在靶點。
熱銷產品
Recombinant Human Isocitrate dehydrogenase [NADP] cytoplasmic (IDH1) (CSB-EP010989HU(A4))
驗證數據
(Tris-Glycine gel) Discontinuous SDS-PAGE (reduced) with 5% enrichment gel and 15% separation gel.
IDH1 Antibody (CSB-PA010989ESR1HU)
驗證數據
Western blot
All lanes: IDH1 antibody at 3µg/ml
Lane 1: Mouse liver tissue
Lane 2: Hela whole cell lysate
Lane 3: NIH/3T3 whloe cell lysate
Secondary
Goat polyclonal to rabbit at 1/10000 dilution
Predicted band size: 47 kDa
Observed band size: 47 kDa
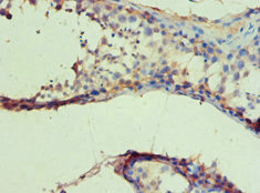
Immunohistochemistry of paraffin-embedded human testis tissue using CSB-PA010989ESR1HU at dilution of 1:100
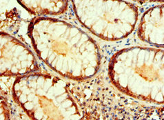
Immunohistochemistry of paraffin-embedded human colon cancer using CSB-PA010989ESR1HU at dilution of 1:100
IDH1 Antibodies
IDH1 for Mus musculus (Mouse)
| 產品貨號 | 產品名稱 | 種屬反應性 | 應用類型 |
|---|---|---|---|
| CSB-PA010989LA01MO | Idh1 Antibody | Mouse | ELISA, IHC, IF |
IDH1 for Homo sapiens (Human)
| 產品貨號 | 產品名稱 | 種屬反應性 | 應用類型 |
|---|---|---|---|
| CSB-PA010989GA01HU | IDH1 Antibody | Human,Mouse,Rat | ELISA,WB,IHC |
| CSB-PA010989ESR1HU | IDH1 Antibody | Human, Mouse | ELISA, WB, IHC |
| CSB-PA005688 | IDH1 Antibody | Human,Mouse,Rat | WB, ELISA |
| CSB-PA964946 | IDH1 Antibody | Human,Mouse,Rat | ELISA,WB,IHC |
| CSB-PA826954 | IDH1 Antibody | Human,Mouse,Rat | ELISA,WB,IHC |
| CSB-PA010989EA01HU | IDH1 Antibody | Human, Mouse, Rat | ELISA, WB, IHC, IF |
| CSB-PA010989EB01HU | IDH1 Antibody, HRP conjugated | Human | ELISA |
| CSB-PA010989EC01HU | IDH1 Antibody, FITC conjugated | Human | |
| CSB-PA010989ED01HU | IDH1 Antibody, Biotin conjugated | Human | ELISA |
IDH1 Proteins
IDH1 Proteins for Sus scrofa (Pig)
| 產品貨號 | 產品名稱 | 來源 |
|---|---|---|
| CSB-YP010989PI CSB-EP010989PI CSB-BP010989PI CSB-MP010989PI CSB-EP010989PI-B |
Recombinant Pig Isocitrate dehydrogenase [NADP] cytoplasmic (IDH1) | Yeast E.coli Baculovirus Mammalian cell In Vivo Biotinylation in E.coli |
IDH1 Proteins for Rattus norvegicus (Rat)
| 產品貨號 | 產品名稱 | 來源 |
|---|---|---|
| CSB-YP010989RA CSB-EP010989RA CSB-BP010989RA CSB-MP010989RA CSB-EP010989RA-B |
Recombinant Rat Isocitrate dehydrogenase [NADP] cytoplasmic (Idh1) | Yeast E.coli Baculovirus Mammalian cell In Vivo Biotinylation in E.coli |
IDH1 Proteins for Mus musculus (Mouse)
| 產品貨號 | 產品名稱 | 來源 |
|---|---|---|
| CSB-YP010989MO CSB-BP010989MO CSB-MP010989MO CSB-EP010989MO-B |
Recombinant Mouse Isocitrate dehydrogenase [NADP] cytoplasmic (Idh1) | Yeast Baculovirus Mammalian cell In Vivo Biotinylation in E.coli |
| CSB-EP010989MO | Recombinant Mouse Isocitrate dehydrogenase [NADP] Cytoplasmic domain (Idh1), partial | E.coli |
IDH1 Proteins for Homo sapiens (Human)
| 產品貨號 | 產品名稱 | 來源 |
|---|---|---|
| CSB-YP010989HU CSB-EP010989HU CSB-BP010989HU CSB-MP010989HU CSB-EP010989HU-B |
Recombinant Human Isocitrate dehydrogenase [NADP] cytoplasmic (IDH1) | Yeast E.coli Baculovirus Mammalian cell In Vivo Biotinylation in E.coli |
| CSB-EP010989HU(A4) | Recombinant Human Isocitrate dehydrogenase [NADP] cytoplasmic (IDH1) | E.coli |
IDH1 Proteins for Saccharomyces cerevisiae (strain ATCC 204508 / S288c) (Baker's yeast)
| 產品貨號 | 產品名稱 | 來源 |
|---|---|---|
| CSB-YP341012SVG CSB-EP341012SVG CSB-BP341012SVG CSB-MP341012SVG CSB-EP341012SVG-B |
Recombinant Saccharomyces cerevisiae Isocitrate dehydrogenase [NAD] subunit 1, mitochondrial (IDH1) | Yeast E.coli Baculovirus Mammalian cell In Vivo Biotinylation in E.coli |
IDH1 Proteins for Ajellomyces capsulatus (Darling's disease fungus) (Histoplasma capsulatum)
| 產品貨號 | 產品名稱 | 來源 |
|---|---|---|
| CSB-YP517526AZC CSB-EP517526AZC CSB-BP517526AZC CSB-MP517526AZC CSB-EP517526AZC-B |
Recombinant Ajellomyces capsulatus Isocitrate dehydrogenase [NAD] subunit 1, mitochondrial (IDH1) | Yeast E.coli Baculovirus Mammalian cell In Vivo Biotinylation in E.coli |
IDH1 Proteins for Schizosaccharomyces pombe (strain 972 / ATCC 24843) (Fission yeast)
| 產品貨號 | 產品名稱 | 來源 |
|---|---|---|
| CSB-YP521025SXV CSB-EP521025SXV CSB-BP521025SXV CSB-MP521025SXV CSB-EP521025SXV-B |
Recombinant Schizosaccharomyces pombe Isocitrate dehydrogenase [NAD] subunit 1, mitochondrial (idh1), partial | Yeast E.coli Baculovirus Mammalian cell In Vivo Biotinylation in E.coli |
IDH1 Proteins for Kluyveromyces lactis (strain ATCC 8585 / CBS 2359 / DSM 70799 / NBRC 1267 / NRRL Y-1140 / WM37) (Yeast) (Candida sphaerica)
| 產品貨號 | 產品名稱 | 來源 |
|---|---|---|
| CSB-YP526076KBK CSB-EP526076KBK CSB-BP526076KBK CSB-MP526076KBK CSB-EP526076KBK-B |
Recombinant Kluyveromyces lactis Isocitrate dehydrogenase [NAD] subunit 1, mitochondrial (IDH1) | Yeast E.coli Baculovirus Mammalian cell In Vivo Biotinylation in E.coli |
IDH1 Proteins for Pongo abelii (Sumatran orangutan)
| 產品貨號 | 產品名稱 | 來源 |
|---|---|---|
| CSB-YP725344PYX CSB-EP725344PYX CSB-BP725344PYX CSB-MP725344PYX CSB-EP725344PYX-B |
Recombinant Pongo abelii Isocitrate dehydrogenase [NADP] cytoplasmic (IDH1) | Yeast E.coli Baculovirus Mammalian cell In Vivo Biotinylation in E.coli |
IDH1 Proteins for Ovis aries (Sheep)
| 產品貨號 | 產品名稱 | 來源 |
|---|---|---|
| CSB-YP751079SH CSB-EP751079SH CSB-BP751079SH CSB-MP751079SH CSB-EP751079SH-B |
Recombinant Sheep Isocitrate dehydrogenase [NADP] cytoplasmic (IDH1) | Yeast E.coli Baculovirus Mammalian cell In Vivo Biotinylation in E.coli |
IDH1 Proteins for Arabidopsis thaliana (Mouse-ear cress)
| 產品貨號 | 產品名稱 | 來源 |
|---|---|---|
| CSB-YP850685DOA CSB-EP850685DOA CSB-BP850685DOA CSB-MP850685DOA CSB-EP850685DOA-B |
Recombinant Arabidopsis thaliana Isocitrate dehydrogenase [NAD] regulatory subunit 1, mitochondrial (IDH1) | Yeast E.coli Baculovirus Mammalian cell In Vivo Biotinylation in E.coli |
IDH1 Proteins for Bos taurus (Bovine)
| 產品貨號 | 產品名稱 | 來源 |
|---|---|---|
| CSB-YP893604BO CSB-EP893604BO CSB-BP893604BO CSB-MP893604BO CSB-EP893604BO-B |
Recombinant Bovine Isocitrate dehydrogenase [NADP] cytoplasmic (IDH1) | Yeast E.coli Baculovirus Mammalian cell In Vivo Biotinylation in E.coli |






