ICAM2
ICAM2,全稱為細胞間粘附分子2,也被稱為CD102。它是免疫球蛋白超家族的一員,主要功能是參與細胞間的粘附作用。ICAM2在免疫反應中扮演重要角色,特別是在白細胞與內皮細胞之間的相互作用中。這種蛋白與LFA-1等粘附分子結合,有助于白細胞的遷移和免疫應答。在疾病研究中,ICAM2的表達水平與多種疾病相關,如炎癥性腸病和某些癌癥。目前,針對ICAM2的藥物研發正在進展中,旨在開發新的治療策略來調節免疫反應和治療相關疾病。
熱銷產品
ICAM2 Antibody (CSB-PA010950ESR2HU)
驗證數據
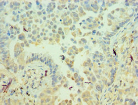
Immunohistochemistry of paraffin-embedded human breast cancer using CSB-PA010950ESR2HU at dilution of 1:100
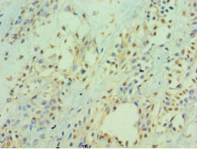
Immunohistochemistry of paraffin-embedded human lung cancer using CSB-PA010950ESR2HU at dilution of 1:100
ICAM2 Antibodies
ICAM2 for Homo sapiens (Human)
| 產品貨號 | 產品名稱 | 種屬反應性 | 應用類型 |
|---|---|---|---|
| CSB-PA010950GA01HU | ICAM2 Antibody | Human | ELISA,WB,IHC |
| CSB-PA010950ESR2HU | ICAM2 Antibody | Human | ELISA, IHC |
| CSB-PA006238 | ICAM2 Antibody | Human | WB, ELISA |
| CSB-PA009375 | ICAM2 Antibody | Human | WB, ELISA |
ICAM2 Proteins
ICAM2 Proteins for Homo sapiens (Human)
| 產品貨號 | 產品名稱 | 來源 |
|---|---|---|
| CSB-YP010950HU1 CSB-EP010950HU1 CSB-BP010950HU1 CSB-MP010950HU1 CSB-EP010950HU1-B |
Recombinant Human Intercellular adhesion molecule 2 (ICAM2), partial | Yeast E.coli Baculovirus Mammalian cell In Vivo Biotinylation in E.coli |
| CSB-CF010950HU | Recombinant Human Intercellular adhesion molecule 2 (ICAM2) | in vitro E.coli expression system |
ICAM2 Proteins for Mus musculus (Mouse)
| 產品貨號 | 產品名稱 | 來源 |
|---|---|---|
| CSB-YP010950MO1 CSB-EP010950MO1 CSB-BP010950MO1 CSB-MP010950MO1 CSB-EP010950MO1-B |
Recombinant Mouse Intercellular adhesion molecule 2 (Icam2), partial | Yeast E.coli Baculovirus Mammalian cell In Vivo Biotinylation in E.coli |
| CSB-CF010950MO | Recombinant Mouse Intercellular adhesion molecule 2 (Icam2) | in vitro E.coli expression system |
ICAM2 Proteins for Pan troglodytes (Chimpanzee)
| 產品貨號 | 產品名稱 | 來源 |
|---|---|---|
| CSB-YP010950EQV CSB-EP010950EQV CSB-BP010950EQV CSB-MP010950EQV CSB-EP010950EQV-B |
Recombinant Pan troglodytes Intercellular adhesion molecule 2 (ICAM2), partial | Yeast E.coli Baculovirus Mammalian cell In Vivo Biotinylation in E.coli |
ICAM2 Proteins for Gorilla gorilla gorilla (Lowland gorilla)
| 產品貨號 | 產品名稱 | 來源 |
|---|---|---|
| CSB-YP010950GGZ CSB-EP010950GGZ CSB-BP010950GGZ CSB-MP010950GGZ CSB-EP010950GGZ-B |
Recombinant Gorilla gorilla gorilla Intercellular adhesion molecule 2 (ICAM2), partial | Yeast E.coli Baculovirus Mammalian cell In Vivo Biotinylation in E.coli |






