ICAM1
ICAM1,全稱Intercellular adhesion molecule 1,也稱為CD54、MALA-2等,是一種重要的細胞表面糖蛋白,主要表達于內皮細胞和免疫細胞。它通過與其他細胞表面的受體結合,參與白細胞遷移和活化過程,對免疫應答和炎癥反應起著關鍵作用。ICAM1還與鼻病毒等病毒入侵細胞有關,并在多種疾病中發揮作用,如炎癥性腸病、甲狀腺癌、自身免疫性疾病等。近年來,針對ICAM1的藥物研發取得顯著進展,例如德克薩斯大學MD安德森癌癥中心開發的新型CAR-T細胞療法AIC100,通過靶向ICAM1蛋白,在治療晚期甲狀腺癌方面展現出良好效果。此外,Ionis Pharmaceuticals Inc研發的antisense oligonucleotides ICAM-1 (Isis)也是一種ICAM1抑制劑,用于治療炎性疾病和腫瘤。這些進展為ICAM1相關疾病的治療提供了新的希望。
熱銷產品
Recombinant Human Intercellular adhesion molecule 1 (ICAM1), partial (Active) (CSB-MP010949HU)
驗證數據
(Tris-Glycine gel) Discontinuous SDS-PAGE (reduced) with 5% enrichment gel and 15% separation gel.
Activity
Measured by its binding ability in a functional ELISA. Immobilized Human ICAM1 at 2 μg/ml can bind Anti-ICAM1 recombinant antibody (CSB-RA010949MA1HU). The EC50 is 0.2350-0.4911 ng/mL.
ICAM1 Recombinant Monoclonal Antibody (CSB-RA162789A0HU)
驗證數據
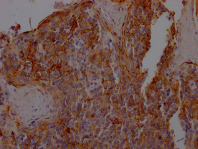
IHC image of CSB-RA162789A0HU diluted at 1:100 and staining in paraffin-embedded human tonsil tissue performed on a Leica BondTM system. After dewaxing and hydration, antigen retrieval was mediated by high pressure in a citrate buffer (pH 6.0). Section was blocked with 10% normal goat serum 30min at RT. Then primary antibody (1% BSA) was incubated at 4℃ overnight. The primary is detected by a Goat anti-rabbit IgG polymer labeled by HRP and visualized using 0.05% DAB.
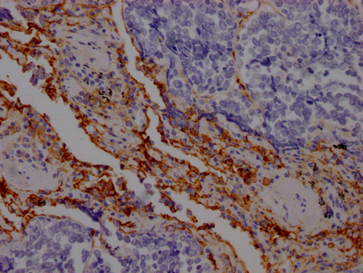
IHC image of CSB-RA162789A0HU diluted at 1:100 and staining in paraffin-embedded human lung cancer performed on a Leica BondTM system. After dewaxing and hydration, antigen retrieval was mediated by high pressure in a citrate buffer (pH 6.0). Section was blocked with 10% normal goat serum 30min at RT. Then primary antibody (1% BSA) was incubated at 4℃ overnight. The primary is detected by a Goat anti-rabbit IgG polymer labeled by HRP and visualized using 0.05% DAB.
Overlay histogram showing Raji cells surface stained with CSB-RA162789A0HU (red line) at 1:50. The cells were incubated in 10% normal goat serum to block non-specific protein-protein interactions followedby the antibody (1μg/1*106 cells) for 1 h at 4℃.The secondary antibody used was FITC-conjugated goat anti-rabbit IgG (H+L) at 1/200 dilution for 30min at 4℃. Control antibody (green line) was Rabbit IgG (1μg/1*106 cells) used under the same conditions. Acquisition of >10,000 events was performed.
Human intercellular adhesion molecule 1,ICAM-1 ELISA Kit (CSB-E04574h)
驗證數據
貨號:CSB-E04574h
規格:96T/48T
靈敏度:0.195 ng/mL
檢測范圍:0.78 ng/mL-50 ng/mL
These standard curves are provided for demonstration only. A standard curve should be generated for each set of samples assayed.
ICAM1 Antibodies
ICAM1 for Homo sapiens (Human)
| 產品貨號 | 產品名稱 | 種屬反應性 | 應用類型 |
|---|---|---|---|
| CSB-PA010949GA01HU | ICAM1 Antibody | Human | ELISA,WB,IHC |
| CSB-PA928596 | Phospho-ICAM1 (Tyr512) Antibody | Human | ELISA,WB |
| CSB-PA918533 | ICAM1 (Ab-512) Antibody | Human | ELISA,WB |
| CSB-PA000547 | Phospho-ICAM1 (Y512) Antibody | Human | WB, ELISA |
| CSB-PA002997 | ICAM1 Antibody | Human | WB, ELISA |
| CSB-PA238929 | ICAM1 Antibody | Human | ELISA,WB,IHC |
| CSB-PA598794 | ICAM1 Antibody | Human | ELISA,WB,IHC |
| CSB-PA584826 | ICAM1 Antibody | Human | ELISA,WB,IHC |
| CSB-PA793095 | ICAM1 Antibody | Human | ELISA,WB,IHC |
| CSB-PA07149A0Rb | ICAM1 Antibody | Human, Rat | ELISA, WB, IHC, IF |
| CSB-PA07149B0Rb | ICAM1 Antibody, HRP conjugated | Human | ELISA |
| CSB-PA07149C0Rb | ICAM1 Antibody, FITC conjugated | Human | |
| CSB-PA07149D0Rb | ICAM1 Antibody, Biotin conjugated | Human | ELISA |
| CSB-MA211660 | ICAM1 Monoclonal Antibody | Human | ELISA, IHC |
| CSB-RA162789A0HU | ICAM1 Recombinant Monoclonal Antibody | Human | ELISA, IHC, FC |
| CSB-RA010949MA1HU | ICAM1 Recombinant Monoclonal Antibody | Human | ELISA, WB, IHC, FC |
ICAM1 Proteins
ICAM1 Proteins for Rattus norvegicus (Rat)
| 產品貨號 | 產品名稱 | 來源 |
|---|---|---|
| CSB-YP010949RA1 CSB-EP010949RA1 CSB-BP010949RA1 CSB-MP010949RA1 CSB-EP010949RA1-B |
Recombinant Rat Intercellular adhesion molecule 1 (Icam1), partial | Yeast E.coli Baculovirus Mammalian cell In Vivo Biotinylation in E.coli |
| CSB-CF010949RA | Recombinant Rat Intercellular adhesion molecule 1 (Icam1) | in vitro E.coli expression system |
ICAM1 Proteins for Mus musculus (Mouse)
| 產品貨號 | 產品名稱 | 來源 |
|---|---|---|
| CSB-YP010949MO1 CSB-EP010949MO1 CSB-BP010949MO1 CSB-MP010949MO1 CSB-EP010949MO1-B |
Recombinant Mouse Intercellular adhesion molecule 1 (Icam1), partial | Yeast E.coli Baculovirus Mammalian cell In Vivo Biotinylation in E.coli |
| CSB-CF010949MO | Recombinant Mouse Intercellular adhesion molecule 1 (Icam1) | in vitro E.coli expression system |
ICAM1 Proteins for Canis familiaris (Dog) (Canis lupus familiaris)
| 產品貨號 | 產品名稱 | 來源 |
|---|---|---|
| CSB-YP010949DO1 CSB-EP010949DO1 CSB-BP010949DO1 CSB-MP010949DO1 CSB-EP010949DO1-B |
Recombinant Dog Intercellular adhesion molecule 1 (ICAM1), partial | Yeast E.coli Baculovirus Mammalian cell In Vivo Biotinylation in E.coli |
| CSB-CF010949DO | Recombinant Dog Intercellular adhesion molecule 1 (ICAM1) | in vitro E.coli expression system |
ICAM1 Proteins for Homo sapiens (Human)
| 產品貨號 | 產品名稱 | 來源 |
|---|---|---|
| CSB-YP010949HU CSB-BP010949HU CSB-EP010949HU-B |
Recombinant Human Intercellular adhesion molecule 1 (ICAM1), partial | Yeast Baculovirus In Vivo Biotinylation in E.coli |
| CSB-EP010949HU | Recombinant Human Intercellular adhesion molecule 1 (ICAM1), partial | E.coli |
| CSB-CF010949HU(A4) | Recombinant Human Intercellular adhesion molecule 1 (ICAM1) | in vitro E.coli expression system |
| CSB-MP010949HU | Recombinant Human Intercellular adhesion molecule 1 (ICAM1), partial (Active) | Mammalian cell |
ICAM1 Proteins for Pan paniscus (Pygmy chimpanzee) (Bonobo)
| 產品貨號 | 產品名稱 | 來源 |
|---|---|---|
| CSB-YP010949EQU CSB-EP010949EQU CSB-BP010949EQU CSB-MP010949EQU CSB-EP010949EQU-B |
Recombinant Pan paniscus Intercellular adhesion molecule 1 (ICAM1), partial | Yeast E.coli Baculovirus Mammalian cell In Vivo Biotinylation in E.coli |
ICAM1 Proteins for Bos taurus (Bovine)
| 產品貨號 | 產品名稱 | 來源 |
|---|---|---|
| CSB-YP010949BO CSB-EP010949BO CSB-BP010949BO CSB-MP010949BO CSB-EP010949BO-B |
Recombinant Bovine Intercellular adhesion molecule 1 (ICAM1), partial | Yeast E.coli Baculovirus Mammalian cell In Vivo Biotinylation in E.coli |
ICAM1 Proteins for Pan troglodytes (Chimpanzee)
| 產品貨號 | 產品名稱 | 來源 |
|---|---|---|
| CSB-YP010949EQV CSB-EP010949EQV CSB-BP010949EQV CSB-MP010949EQV CSB-EP010949EQV-B |
Recombinant Pan troglodytes Intercellular adhesion molecule 1 (ICAM1), partial | Yeast E.coli Baculovirus Mammalian cell In Vivo Biotinylation in E.coli |
ICAM1 Proteins for Gorilla gorilla gorilla (Lowland gorilla)
| 產品貨號 | 產品名稱 | 來源 |
|---|---|---|
| CSB-YP010949GGZ CSB-EP010949GGZ CSB-BP010949GGZ CSB-MP010949GGZ CSB-EP010949GGZ-B |
Recombinant Gorilla gorilla gorilla Intercellular adhesion molecule 1 (ICAM1), partial | Yeast E.coli Baculovirus Mammalian cell In Vivo Biotinylation in E.coli |
ICAM1 Proteins for Macaca mulatta (Rhesus macaque)
| 產品貨號 | 產品名稱 | 來源 |
|---|---|---|
| CSB-YP010949MOW CSB-EP010949MOW CSB-BP010949MOW CSB-MP010949MOW CSB-EP010949MOW-B |
Recombinant Macaca mulatta Intercellular adhesion molecule 1 (ICAM1), partial | Yeast E.coli Baculovirus Mammalian cell In Vivo Biotinylation in E.coli |
ICAM1 ELISA Kit
ICAM1 ELISA Kit for Canis lupus familiaris (Dog) (Canis familiaris)
| 產品貨號 | 產品名稱 | 樣本類型 | 靈敏度 |
|---|---|---|---|
| CSB-E08898c | Dog intercellular adhesion molecule 1,ICAM-1/CD54 ELISA Kit | serum, plasma, tissue homogenates | 6.25 ng/mL |
ICAM1 ELISA Kit for Homo sapiens (Human)
| 產品貨號 | 產品名稱 | 樣本類型 | 靈敏度 |
|---|---|---|---|
| CSB-E04574h | Human intercellular adhesion molecule 1,ICAM-1 ELISA Kit | serum, plasma, tissue homogenates | 0.195 ng/mL |
| CSB-E04574h-IS | Human intercellular adhesion molecule 1,ICAM-1 ELISA Kit | serum, plasma, tissue homogenates | 0.156ng/mL |
ICAM1 ELISA Kit for Mus musculus (Mouse)
| 產品貨號 | 產品名稱 | 樣本類型 | 靈敏度 |
|---|---|---|---|
| CSB-E04575m | Mouse intercellular adhesion molecule 1,ICAM-1 ELISA KIT | serum, plasma, tissue homogenates | 19.5 ng/mL |
ICAM1 ELISA Kit for Rattus norvegicus (Rat)
| 產品貨號 | 產品名稱 | 樣本類型 | 靈敏度 |
|---|---|---|---|
| CSB-E04576r | Rat intercellular adhesion molecule 1,ICAM-1 ELISA Kit | serum, plasma, tissue homogenates, cell lysates | 24.321 pg/mL |






