HMGB1
HMGB1,全稱為高遷移率族蛋白B1,也被稱為高遷移率族蛋白1(HMG-1)和 amphoterin。它是一種廣泛分布于哺乳動物細胞中的蛋白,主要位于細胞核內,通過與DNA結合,參與DNA的重組、修復、基因轉錄調控、細胞復制及分化成熟等生命活動。當細胞受到損傷或應激時,HMGB1會從細胞核轉移到細胞質,并通過與Beclin-1相互作用誘導自噬。此外,HMGB1還具有晚期促炎作用,細胞在應激或壞死時,核內的HMGB1可釋放到胞外,引發單核巨噬細胞分泌促炎因子,參與膿毒癥、動脈硬化、慢性類風濕性關節炎、腎炎等多種免疫疾病的病理過程。近年來,HMGB1作為藥物靶點的研究備受關注,應用HMGB1中和抗體可以減輕炎癥引起的組織損傷,HMGB1在胰腺癌、直腸癌、胃癌等腫瘤中的表達與腫瘤的發生發展相關,可作為癌癥治療的靶點。目前,針對HMGB1的藥物研發主要集中在開發HMGB1中和抗體或抑制劑,以減輕炎癥反應和組織損傷,并探索其在癌癥治療中的應用。
熱銷產品
Recombinant Human High mobility group protein B1 (HMGB1) (CSB-YP010553HU)
驗證數據
(Tris-Glycine gel) Discontinuous SDS-PAGE (reduced) with 5% enrichment gel and 15% separation gel.
HMGB1 Recombinant Monoclonal Antibody (CSB-RA439052A0HU)
驗證數據
Western Blot
Positive WB detected in: Hela whole cell lysate, HepG2 whole cell lysate, Jurkat whole cell lysate, 293T whole cell lysate, MCF-7 whole cell lysate, HL60 whole cell lysate
All lanes: HMGB1 antibody at 1:2000
Secondary
Goat polyclonal to rabbit IgG at 1/50000 dilution
Predicted band size: 25 kDa
Observed band size: 25 kDa
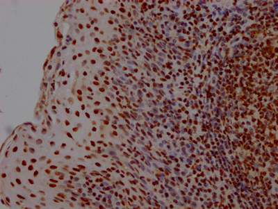
IHC image of CSB-RA439052A0HU diluted at 1:100 and staining in paraffin-embedded human tonsil tissue performed on a Leica BondTM system. After dewaxing and hydration, antigen retrieval was mediated by high pressure in a citrate buffer (pH 6.0). Section was blocked with 10% normal goat serum 30min at RT. Then primary antibody (1% BSA) was incubated at 4℃ overnight. The primary is detected by a Goat anti-rabbit IgG polymer labeled by HRP and visualized using 0.05% DAB.
Human High mobility group protein B1,HMGB-1 ELISA Kit (CSB-E08223h)
驗證數據
貨號:CSB-E08223h
規格:96T/48T
靈敏度:19.5 pg/mL
檢測范圍:78 pg/mL-5000 pg/mL
These standard curves are provided for demonstration only. A standard curve should be generated for each set of samples assayed.
HMGB1 Antibodies
HMGB1 for Homo sapiens (Human)
| 產品貨號 | 產品名稱 | 種屬反應性 | 應用類型 |
|---|---|---|---|
| CSB-PA01604A0Rb | HMGB1 Antibody | Human, Mouse | ELISA, WB, IHC |
| CSB-PA01604B0Rb | HMGB1 Antibody, HRP conjugated | Human | ELISA |
| CSB-PA01604C0Rb | HMGB1 Antibody, FITC conjugated | Human | |
| CSB-PA01604D0Rb | HMGB1 Antibody, Biotin conjugated | Human | ELISA |
| CSB-PA010553GA01HU | HMGB1 Antibody | Human,Mouse,Rat | ELISA,WB,IHC |
| CSB-PA049959 | HMGB1 Antibody | Human,Mouse,Rat | ELISA,WB |
| CSB-PA000149 | Acetyl-HMGB1 (K12) Antibody | Human,Mouse,Rat | WB, ELISA |
| CSB-PA002937 | HMGB1 Antibody | Human,Mouse,Rat | WB, IHC, IF, ELISA |
| CSB-PA005927 | HMGB1 Antibody | Human,Mouse,Rat | WB, ELISA |
| CSB-PA995991 | HMGB1 Antibody | Human,Mouse,Rat | ELISA,IHC |
| CSB-PA225274 | HMGB1 Antibody | Human,Mouse,Rat | ELISA,WB,IHC |
| CSB-PA010553YA01HU | HMGB1 Antibody | Human, Mouse | ELISA, WB, IHC, IF |
| CSB-PA010553YB01HU | HMGB1 Antibody, HRP conjugated | Human | ELISA |
| CSB-PA010553YC01HU | HMGB1 Antibody, FITC conjugated | Human | |
| CSB-PA010553YD01HU | HMGB1 Antibody, Biotin conjugated | Human | ELISA |
| CSB-RA439052A0HU | HMGB1 Recombinant Monoclonal Antibody | Human | ELISA, WB, IHC |
| CSB-RA010553MA1HU | HMGB1 Recombinant Monoclonal Antibody | Human | ELISA, IHC, IF, FC |
HMGB1 for Rattus norvegicus (Rat)
| 產品貨號 | 產品名稱 | 種屬反應性 | 應用類型 |
|---|---|---|---|
| CSB-PA010553NA01RA | Hmgb1 Antibody | Rat | ELISA, WB |
| CSB-PA010553NB01RA | Hmgb1 Antibody, HRP conjugated | Rat | ELISA |
| CSB-PA010553NC01RA | Hmgb1 Antibody, FITC conjugated | Rat | |
| CSB-PA010553ND01RA | Hmgb1 Antibody, Biotin conjugated | Rat | ELISA |
| CSB-PA010553NA01MO | Hmgb1 Antibody | Rat | ELISA, WB |
HMGB1 Proteins
HMGB1 Proteins for Bos taurus (Bovine)
| 產品貨號 | 產品名稱 | 來源 |
|---|---|---|
| CSB-YP010553BO CSB-EP010553BO CSB-BP010553BO CSB-MP010553BO CSB-EP010553BO-B |
Recombinant Bovine High mobility group protein B1 (HMGB1) | Yeast E.coli Baculovirus Mammalian cell In Vivo Biotinylation in E.coli |
HMGB1 Proteins for Sus scrofa (Pig)
| 產品貨號 | 產品名稱 | 來源 |
|---|---|---|
| CSB-YP010553PI CSB-BP010553PI CSB-MP010553PI CSB-EP010553PI-B |
Recombinant Pig High mobility group protein B1 (HMGB1) | Yeast Baculovirus Mammalian cell In Vivo Biotinylation in E.coli |
HMGB1 Proteins for Mus musculus (Mouse)
| 產品貨號 | 產品名稱 | 來源 |
|---|---|---|
| CSB-BP010553MO CSB-MP010553MO CSB-EP010553MO-B |
Recombinant Mouse High mobility group protein B1 (Hmgb1) | Baculovirus Mammalian cell In Vivo Biotinylation in E.coli |
| CSB-EP010553MO | Recombinant Mouse High mobility group protein B1 (Hmgb1), partial | E.coli |
| CSB-YP010553MO | Recombinant Mouse High mobility group protein B1 (Hmgb1), partial | Yeast |
HMGB1 Proteins for Rattus norvegicus (Rat)
| 產品貨號 | 產品名稱 | 來源 |
|---|---|---|
| CSB-YP010553RA | Recombinant Rat High mobility group protein B1 (Hmgb1) | Yeast |
| CSB-EP010553RA | Recombinant Rat High mobility group protein B1 (Hmgb1) | E.coli |
| CSB-BP010553RA CSB-MP010553RA CSB-EP010553RA-B |
Recombinant Rat High mobility group protein B1 (Hmgb1) | Baculovirus Mammalian cell In Vivo Biotinylation in E.coli |
| CSB-YP010553RAa1 | Recombinant Rat High mobility group protein B1 (Hmgb1) | Yeast |
HMGB1 Proteins for Homo sapiens (Human)
| 產品貨號 | 產品名稱 | 來源 |
|---|---|---|
| CSB-YP010553HU | Recombinant Human High mobility group protein B1 (HMGB1) | Yeast |
| CSB-RP016044h | Recombinant Human High mobility group protein B1 (HMGB1), partial | E.coli |
| CSB-EP010553HU CSB-BP010553HU CSB-EP010553HU-B |
Recombinant Human High mobility group protein B1 (Hmgb1) | E.coli Baculovirus In Vivo Biotinylation in E.coli |
| CSB-EP010553HU2 | Recombinant Mouse High mobility group protein B1 (HMGB1), partial | E.coli |
| CSB-MP010553HU | Recombinant Human High mobility group protein B1 (HMGB1) | Mammalian cell |
| CSB-MP010553HU1 | Recombinant Human High mobility group protein B1 (HMGB1), partial | Mammalian cell |
HMGB1 Proteins for Cricetulus griseus (Chinese hamster) (Cricetulus barabensis griseus)
| 產品貨號 | 產品名稱 | 來源 |
|---|---|---|
| CSB-YP362058DXU CSB-EP362058DXU CSB-BP362058DXU CSB-MP362058DXU CSB-EP362058DXU-B |
Recombinant Cricetulus griseus High mobility group protein B1 (HMGB1) | Yeast E.coli Baculovirus Mammalian cell In Vivo Biotinylation in E.coli |
HMGB1 Proteins for Papio anubis (Olive baboon)
| 產品貨號 | 產品名稱 | 來源 |
|---|---|---|
| CSB-YP434996ERI CSB-EP434996ERI CSB-BP434996ERI CSB-MP434996ERI CSB-EP434996ERI-B |
Recombinant Papio anubis High mobility group protein B1 (HMGB1) | Yeast E.coli Baculovirus Mammalian cell In Vivo Biotinylation in E.coli |
HMGB1 Proteins for Arabidopsis thaliana (Mouse-ear cress)
| 產品貨號 | 產品名稱 | 來源 |
|---|---|---|
| CSB-YP523735DOA CSB-EP523735DOA CSB-BP523735DOA CSB-MP523735DOA CSB-EP523735DOA-B |
Recombinant Arabidopsis thaliana High mobility group B protein 1 (HMGB1) | Yeast E.coli Baculovirus Mammalian cell In Vivo Biotinylation in E.coli |
HMGB1 Proteins for Callithrix jacchus (White-tufted-ear marmoset)
| 產品貨號 | 產品名稱 | 來源 |
|---|---|---|
| CSB-YP533334CYL CSB-EP533334CYL CSB-BP533334CYL CSB-MP533334CYL CSB-EP533334CYL-B |
Recombinant Callithrix jacchus High mobility group protein B1 (HMGB1) | Yeast E.coli Baculovirus Mammalian cell In Vivo Biotinylation in E.coli |
HMGB1 Proteins for Callicebus moloch (Dusky titi monkey)
| 產品貨號 | 產品名稱 | 來源 |
|---|---|---|
| CSB-YP541463CYE CSB-EP541463CYE CSB-BP541463CYE CSB-MP541463CYE CSB-EP541463CYE-B |
Recombinant Callicebus moloch High mobility group protein B1 (HMGB1) | Yeast E.coli Baculovirus Mammalian cell In Vivo Biotinylation in E.coli |
HMGB1 Proteins for Equus caballus (Horse)
| 產品貨號 | 產品名稱 | 來源 |
|---|---|---|
| CSB-YP600961HO CSB-EP600961HO CSB-BP600961HO CSB-MP600961HO CSB-EP600961HO-B |
Recombinant Horse High mobility group protein B1 (HMGB1) | Yeast E.coli Baculovirus Mammalian cell In Vivo Biotinylation in E.coli |
HMGB1 Proteins for Macaca fascicularis (Crab-eating macaque) (Cynomolgus monkey)
| 產品貨號 | 產品名稱 | 來源 |
|---|---|---|
| CSB-YP703137MOV CSB-EP703137MOV CSB-BP703137MOV CSB-MP703137MOV CSB-EP703137MOV-B |
Recombinant Macaca fascicularis High mobility group protein B1 (HMGB1) | Yeast E.coli Baculovirus Mammalian cell In Vivo Biotinylation in E.coli |
HMGB1 Proteins for Canis familiaris (Dog) (Canis lupus familiaris)
| 產品貨號 | 產品名稱 | 來源 |
|---|---|---|
| CSB-YP751094DO CSB-EP751094DO CSB-BP751094DO CSB-MP751094DO CSB-EP751094DO-B |
Recombinant Dog High mobility group protein B1 (HMGB1) | Yeast E.coli Baculovirus Mammalian cell In Vivo Biotinylation in E.coli |
HMGB1 ELISA Kit
HMGB1 ELISA Kit for Canis lupus familiaris (Dog) (Canis familiaris)
| 產品貨號 | 產品名稱 | 樣本類型 | 靈敏度 |
|---|---|---|---|
| CSB-EL010553DO | Dog High mobility group protein B1(HMGB1) ELISA kit | serum, plasma, tissue homogenates, cell lysates | 0.078 ng/mL |
HMGB1 ELISA Kit for Homo sapiens (Human)
| 產品貨號 | 產品名稱 | 樣本類型 | 靈敏度 |
|---|---|---|---|
| CSB-E08223h | Human High mobility group protein B1,HMGB-1 ELISA Kit | serum, plasma, tissue homogenates, cell lysates | 19.5 pg/mL |
HMGB1 ELISA Kit for Mus musculus (Mouse)
| 產品貨號 | 產品名稱 | 樣本類型 | 靈敏度 |
|---|---|---|---|
| CSB-E08225m | Mouse High mobility group protein B1,HMGB-1 ELISA Kit | serum, plasma, tissue homogenates, cell lysates | 3.9 pg/mL |
HMGB1 ELISA Kit for Sus scrofa (Pig)
| 產品貨號 | 產品名稱 | 樣本類型 | 靈敏度 |
|---|---|---|---|
| CSB-EL010553PI | Pig High mobility group protein B1(HMGB1) ELISA kit | serum, plasma, tissue homogenates | 0.078 ng/mL |
HMGB1 ELISA Kit for Rattus norvegicus (Rat)
| 產品貨號 | 產品名稱 | 樣本類型 | 靈敏度 |
|---|---|---|---|
| CSB-E08224r | Rat High mobility group protein B1,HMGB-1 ELISA Kit | serum, plasma, tissue homogenates | 0.39 ng/ml |






