HDAC2
HDAC2,即組蛋白去乙酰化酶2,別名HD 2、HD2、HDAC 2、Hdac2、Histone deacetylase 2 (HD2)、Histone deacetylase 2。它是一種由HDAC2基因編碼的酶,屬于I類組蛋白去乙酰化酶,主要在細胞核中發揮作用。HDAC2的作用機制是通過去除組蛋白和非組蛋白上的乙酰基團,調控染色質的結構和基因的轉錄活性。HDAC2的活性受到多種因素的調控,包括代謝產物、細胞信號分子等。HDAC2參與了多種細胞生命活動的調控,包括細胞增殖、分化、代謝和凋亡等。HDAC2的功能異常與多種疾病的發生發展密切相關,尤其是與癌癥、神經退行性疾病和心血管疾病等有關。例如,HDAC2的表達水平在某些癌癥中發生改變,可能影響腫瘤細胞的增殖和遷移。此外,HDAC2還參與了細胞對氧化應激的響應,通過調控抗氧化基因的表達,保護細胞免受氧化損傷。因此,HDAC2是細胞生物學和疾病研究中的一個重要分子靶點,針對HDAC2的小分子抑制劑正在被開發用于治療相關疾病。
熱銷產品
HDAC2 Recombinant Monoclonal Antibody (CSB-RA593846A0HU)
驗證數據
Western Blot
Positive WB detected in: Hela whole cell lysate, HepG2 whole cell lysate, Jurkat whole cell lysate, MCF-7 whole cell lysate, K562 whole cell lysate
All lanes: HDAC2 antibody at 1:2000
Secondary
Goat polyclonal to rabbit IgG at 1/50000 dilution
Predicted band size: 56, 52 kDa
Observed band size: 60 kDa
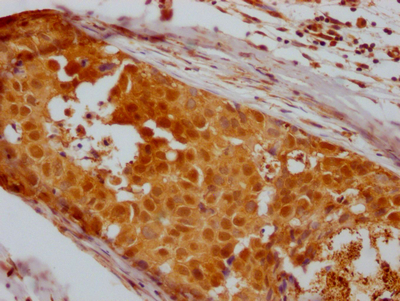
IHC image of CSB-RA593846A0HU diluted at 1:100 and staining in paraffin-embedded human breast cancer performed on a Leica BondTM system. After dewaxing and hydration, antigen retrieval was mediated by high pressure in a citrate buffer (pH 6.0). Section was blocked with 10% normal goat serum 30min at RT. Then primary antibody (1% BSA) was incubated at 4℃ overnight. The primary is detected by a Goat anti-rabbit IgG polymer labeled by HRP and visualized using 0.05% DAB.
HDAC2 Antibodies
HDAC2 for Homo sapiens (Human)
| 產品貨號 | 產品名稱 | 種屬反應性 | 應用類型 |
|---|---|---|---|
| CSB-PA010238GA01HU | HDAC2 Antibody | Human,Mouse,Rat | ELISA,WB,IHC,IF |
| CSB-PA940326 | Phospho-HDAC2 (Ser394) Antibody | Human,Mouse,Rat | ELISA,WB,IHC,IF |
| CSB-PA295912 | HDAC2 (Ab-394) Antibody | Human,Mouse,Rat | ELISA,WB,IHC,IF |
| CSB-PA000633 | Phospho-HDAC2 (S394) Antibody | Human,Mouse,Rat,Monkey | WB, ELISA |
| CSB-PA002879 | HDAC2 Antibody | Human,Mouse,Rat,Monkey | WB, IHC, ELISA |
| CSB-PA017043 | HDAC2 Antibody | Human,Mouse | ELISA,IHC |
| CSB-PA260045 | HDAC2 Antibody | Human,Mouse | ELISA,IHC |
| CSB-RA593846A0HU | HDAC2 Recombinant Monoclonal Antibody | Human | ELISA, WB, IHC |
| CSB-RA949799A0HU | HDAC2 Recombinant Monoclonal Antibody | Human | ELISA, WB, IHC, IF |
HDAC2 Proteins
HDAC2 Proteins for Mus musculus (Mouse)
| 產品貨號 | 產品名稱 | 來源 |
|---|---|---|
| CSB-YP010238MO CSB-BP010238MO CSB-MP010238MO CSB-EP010238MO-B |
Recombinant Mouse Histone deacetylase 2 (Hdac2) | Yeast Baculovirus Mammalian cell In Vivo Biotinylation in E.coli |
HDAC2 Proteins for Gallus gallus (Chicken)
| 產品貨號 | 產品名稱 | 來源 |
|---|---|---|
| CSB-YP010238CH CSB-EP010238CH CSB-BP010238CH CSB-MP010238CH CSB-EP010238CH-B |
Recombinant Chicken Histone deacetylase 2 (HDAC2) | Yeast E.coli Baculovirus Mammalian cell In Vivo Biotinylation in E.coli |
HDAC2 Proteins for Homo sapiens (Human)
| 產品貨號 | 產品名稱 | 來源 |
|---|---|---|
| CSB-YP010238HU CSB-BP010238HU CSB-MP010238HU CSB-EP010238HU-B |
Recombinant Human Histone deacetylase 2 (HDAC2) | Yeast Baculovirus Mammalian cell In Vivo Biotinylation in E.coli |






