HBG2
HBG2,即血紅蛋白G2,是血紅蛋白的一個組分,由兩個γ-珠蛋白鏈和兩個β-珠蛋白鏈構成。HBG2的基因來源于人類第11號染色體上的HBG2基因,是成人血紅蛋白HbA2的一部分。其作用機制主要是攜帶氧氣從肺部到身體各組織,并釋放氧氣供細胞使用。HBG2在成人血液中的含量較低,但在某些病理狀態下,如鐮狀細胞貧血或β-地中海貧血,HBG2的水平可能會發生變化。生物學意義方面,HBG2的存在有助于維持血液的氧氣運輸功能,并且其異常表達或結構變異可能與特定遺傳性血液疾病相關,對臨床診斷和治療具有重要意義。
熱銷產品
● Recombinant Human Hemoglobin subunit gamma-2 (HBG2)
驗證數據
Based on the SEQUEST from database of E.coli host and target protein, the LC-MS/MS Analysis result of CSB-EP010156HUa1 could indicate that this peptide derived from E.coli-expressed Homo sapiens (Human) HBG2.
Based on the SEQUEST from database of E.coli host and target protein, the LC-MS/MS Analysis result of CSB-EP010156HUa1 could indicate that this peptide derived from E.coli-expressed Homo sapiens (Human) HBG2.
驗證數據
Western Blot
Positive WB detected in: K562 whole cell lysate, Rat kideny tissue, Rat brain tissue, Mouse kidney tissue
All lanes: HBG2 antibody at 4.6μg/ml
Secondary
Goat polyclonal to rabbit IgG at 1/50000 dilution
Predicted band size: 17 kDa
Observed band size: 17 kDa
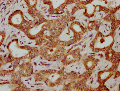
IHC image of CSB-PA010156LA01HU diluted at 1:300 and staining in paraffin-embedded human liver cancer performed on a Leica BondTM system. After dewaxing and hydration, antigen retrieval was mediated by high pressure in a citrate buffer (pH 6.0). Section was blocked with 10% normal goat serum 30min at RT. Then primary antibody (1% BSA) was incubated at 4°C overnight. The primary is detected by a biotinylated secondary antibody and visualized using an HRP conjugated SP system.
Immunofluorescence staining of HepG2 cells with CSB-PA010156LA01HU at 1:100, counter-stained with DAPI. The cells were fixed in 4% formaldehyde, permeabilized using 0.2% Triton X-100 and blocked in 10% normal Goat Serum. The cells were then incubated with the antibody overnight at 4°C. The secondary antibody was Alexa Fluor 488-congugated AffiniPure Goat Anti-Rabbit IgG(H+L).
HBG2 Antibodies
HBG2 for Homo sapiens (Human)
| 產品貨號 | 產品名稱 | 種屬反應性 | 應用類型 |
|---|---|---|---|
| CSB-PA010156LA01HU | HBG2 Antibody | Human, Rat, Mouse | ELISA, WB, IHC, IF |
| CSB-PA010156LC01HU | HBG2 Antibody, FITC conjugated | Human | |
| CSB-PA010156LD01HU | HBG2 Antibody, Biotin conjugated | Human | ELISA |
HBG2 Proteins
HBG2 Proteins for Homo sapiens (Human)
| 產品貨號 | 產品名稱 | 來源 |
|---|---|---|
| CSB-YP010156HU CSB-BP010156HU CSB-MP010156HU CSB-EP010156HU-B |
Recombinant Human Hemoglobin subunit gamma-2 (HBG2) | Yeast Baculovirus Mammalian cell In Vivo Biotinylation in E.coli |
| CSB-EP010156HU | Recombinant Human Hemoglobin subunit gamma-2 (HBG2) | E.coli |
| CSB-EP010156HUa1 | Recombinant Human Hemoglobin subunit gamma-2 (HBG2) | E.coli |






