H4C1
H4C1全稱為組蛋白H4,是染色質結構的關鍵組成蛋白,廣泛參與遺傳信息的儲存與調控。該蛋白常被稱為H4/c或H4C,屬于核心組蛋白家族成員,通過與DNA結合形成核小體基本單元,協助遺傳物質有序折疊。H4C1乙酰化修飾水平直接影響基因活性,這種特性使其成為表觀遺傳研究的重要靶點。在腫瘤發生過程中,H4C1異常表達常伴隨基因組不穩定,與白血病、乳腺癌等惡性腫瘤密切相關。近年針對其修飾酶開發的組蛋白去乙酰化酶抑制劑(如伏立諾他)已進入臨床,用于特定淋巴瘤治療。此外,基于H4C1與其他組蛋白協同作用的特性,科研團隊正在探索通過調控染色質重塑復合物來干預神經退行性疾病的新策略。在藥物研發領域,已有多個小分子化合物進入臨床前研究階段,旨在通過調節組蛋白修飾平衡來治療代謝類疾病。
熱銷產品
Recombinant Human Histone H4 (H4C1) (CSB-EP010429HU)
驗證數據
(Tris-Glycine gel) Discontinuous SDS-PAGE (reduced) with 5% enrichment gel and 15% separation gel.
HIST1H4A Recombinant Monoclonal Antibody (CSB-RA010429MA1HU)
驗證數據
Western Blot
Positive WB detected in:HepG2 whole cell lysate, MCF7 whole cell lysate, Mouse Brain tissue lysate, Rat Brain tissue lysate
All lanes: HIST1H4A antibody at 1:1000
Secondary
Goat polyclonal to mouse IgG at 1/50000 dilution
Predicted band size: 12 kDa
Observed band size: 12 kDa
IHC image of CSB-RA010429MA1HU diluted at 1:300 and staining in paraffin-embedded human lung tissue performed on a Leica BondTM system. After dewaxing and hydration, antigen retrieval was mediated by high pressure in a citrate buffer (pH 6.0). Section was blocked with 10% normal goat serum 30min at RT. Then primary antibody (1% BSA) was incubated at 4°C overnight. The primary is detected by a Goat anti-Mouse IgG labeled by HRP and visualized using 0.05% DAB.
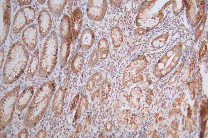
IHC image of CSB-RA010429MA1HU diluted at 1:300 and staining in paraffin-embedded human gastric cancer performed on a Leica BondTM system. After dewaxing and hydration, antigen retrieval was mediated by high pressure in a citrate buffer (pH 6.0). Section was blocked with 10% normal goat serum 30min at RT. Then primary antibody (1% BSA) was incubated at 4°C overnight. The primary is detected by a Goat anti-Mouse IgG labeled by HRP and visualized using 0.05% DAB.
Overlay Peak curve showing PC-3 cells surface stained with CSB-RA010429MA1HU (red line) at 1:100. The cells were fixed in 4% formaldehyde (15min) and permeated by 0.2% TritonX-100 for 10min. Then 10% normal goat serum was Incubated to block non-specific protein-protein interactions followed by the antibody (1μg/1*106cells) for 45 min at 4°C. The secondary antibody used was FITC-conjugated Goat Anti-Mouse IgG(H+L) at 1/200 dilution for 35 min at 4°C. Isotype control antibody (green line) was mouse IgG1 (1μg/1*106cells) used under the same conditions. Acquisition of >10,026 events was performed.
Human Histone H4(HIST1H4A) ELISA kit (CSB-EL010429HU)
驗證數據
貨號:CSB-EL010429HU
規格:96T/48T
靈敏度:9.3 pg/mL
檢測范圍:37.5 pg/mL-2400 pg/mL
These standard curves are provided for demonstration only. A standard curve should be generated for each set of samples assayed.
H4C1 Antibodies
H4C1 for Homo sapiens (Human)
| 產品貨號 | 產品名稱 | 種屬反應性 | 應用類型 |
|---|---|---|---|
| CSB-PA010429GA01HU | HIST1H4A Antibody | Human,Mouse,Rat | ELISA,WB,IHC |
| CSB-PA833785 | Acetyl-Histone H4 (Lys5) Antibody | Human,Mouse,Rat,Monkey | ELISA,WB |
| CSB-PA000103 | Acetyl-Histone H4 (K5) Antibody | Human,Mouse,Rat,Monkey | WB, IHC, IF, ELISA |
| CSB-PA000104 | Acetyl-Histone H4 (K8) Antibody | Human,Mouse,Rat,Monkey | WB, IHC, IF, ELISA |
| CSB-PA000105 | Acetyl-Histone H4 (K16) Antibody | Human,Mouse,Rat | WB, IHC, IF, ELISA |
| CSB-PA000380 | Histone H4 Antibody | Human,Mouse,Rat | WB |
| CSB-PA000412 | Phospho-Histone H4 (Ser1) Antibody | Human,Mouse,Rat | WB |
| CSB-PA000413 | Phospho-Histone H4 (Ser47) Antibody | Human,Mouse,Rat | WB |
| CSB-PA000414 | Phospho-Histone H4 (Thr80) Antibody | Human,Mouse,Rat | WB |
| CSB-PA000417 | Di-Methyl-Histone H4 (Lys20) Antibody | Human,Mouse,Rat | WB, ELISA |
| CSB-PA000418 | Tri-Methyl-Histone H4 (Lys20) Antibody | Human,Mouse,Rat | WB, ELISA |
| CSB-PA000419 | Di-Methyl-Histone H4 (Lys59) Antibody | Human,Mouse,Rat | WB, ELISA |
| CSB-PA000420 | Tri-Methyl-Histone H4 (Lys59) Antibody | Human,Mouse,Rat | WB, ELISA |
| CSB-PA000421 | Mono-Methyl-Histone H4 (Lys79) Antibody | Human,Mouse,Rat | WB, ELISA |
| CSB-PA000422 | Di-Methyl-Histone H4 (Lys79) Antibody | Human,Mouse,Rat | WB, ELISA |
| CSB-PA000423 | Tri-Methyl-Histone H4 (Lys79) Antibody | Human,Mouse,Rat | WB, ELISA |
| CSB-PA000443 | Acetyl-Histone H4 (Lys5) Antibody | Human,Mouse,Rat | WB |
| CSB-PA000445 | Acetyl-Histone H4 (Lys12) Antibody | Human,Mouse,Rat | WB |
| CSB-PA000458 | Acetyl-Histone H4 (Lys16) Antibody | Human,Mouse,Rat | WB |
| CSB-PA000459 | Acetyl-Histone H4 (Lys91) Antibody | Human,Mouse,Rat | WB |
| CSB-PA000463 | Mono-Methyl-Histone H4 (Arg3) Antibody | Human | WB |
| CSB-PA002932 | Histone H4 Antibody | Human,Mouse,Rat,Monkey | WB, IHC, IF, ELISA |
| CSB-PA005698 | Histone H4 Antibody | Human,Mouse,Rat | WB, ELISA |
| CSB-PA006964 | Acetyl-Histone H4 (K12) Antibody | Human,Mouse,Rat,Monkey | WB, IHC, IF, ELISA |
| CSB-PA006966 | Phospho-HIST1H4A (S47) Antibody | Human,Mouse,Rat | IF, ELISA |
| CSB-PA006970 | Histone H4 Antibody | Human,Mouse,Rat | WB, IHC, IF, ELISA |
| CSB-PA006975 | HIST1H4A Antibody | Human,Mouse,Rat | IHC, ELISA |
| CSB-PA080161 | HIST1H4A Antibody | Human,Mouse,Rat | WB, ELISA |
| CSB-PA966398 | HIST1H4A Antibody | Human,Mouse,Rat | ELISA,WB,IHC |
| CSB-PA951904 | HIST1H4A Antibody | Human,Mouse,Rat | ELISA,WB,IHC |
| CSB-PA010429LA01HU | HIST1H4A Antibody | Human, Mouse | ELISA, WB, IHC |
| CSB-PA010429PA03me1HU | Mono-methyl-HIST1H4A (R3) Antibody | Human | ELISA, IF |
| CSB-PA010429PA03nme1HU | HIST1H4A (Ab-3) Antibody | Human, Mouse | ELISA, WB, IF, ChIP |
| CSB-PA010429OA03me1HU | Mono-methyl-HIST1H4A (R3) Antibody | Human, Mouse | ELISA, WB, IF |
| CSB-PA010429OA03nme1HU | HIST1H4A (Ab-3) Antibody | Human, Mouse | ELISA, WB, IF, ChIP |
| CSB-PA010429PA05acHU | Acetyl-HIST1H4A (K5) Antibody | Human | ELISA, ChIP |
| CSB-PA010429OA05acHU | Acetyl-HIST1H4A (K5) Antibody | Human | ELISA, IF |
| CSB-PA010429OA05nacHU | HIST1H4A (Ab-5) Antibody | Human, Mouse | ELISA, WB, IHC, IF |
| CSB-PA010429PA08acHU | Acetyl-HIST1H4A (K8) Antibody | Human | ELISA, ICC, IF, ChIP |
| CSB-PA010429PA08nacHU | HIST1H4A (Ab-8) Antibody | Human, Mouse, Rat | ELISA, WB, IHC, IF, IP, ChIP |
| CSB-PA010429OA08acHU | Acetyl-HIST1H4A (K8) Antibody | Human | ELISA, ICC, IF |
| CSB-PA010429OA08nacHU | HIST1H4A (Ab-8) Antibody | Human, Mouse | ELISA, WB, IHC, IF |
| CSB-PA010429PA12acHU | Acetyl-HIST1H4A (K12) Antibody | Human | ELISA, ICC, IF, ChIP |
| CSB-PA010429PA12nacHU | HIST1H4A (Ab-12) Antibody | Human, Mouse | ELISA, WB, IHC, IF, IP, ChIP |
| CSB-PA010429OA12acHU | Acetyl-HIST1H4A (K12) Antibody | Human | ELISA, ICC, IF, ChIP |
| CSB-PA010429OA12nacHU | HIST1H4A (Ab-12) Antibody | Human, Mouse | ELISA, WB, IHC, IF, ChIP |
| CSB-PA010429PA16nacHU | HIST1H4A (Ab-16) Antibody | Human | ELISA, IHC, IF |
| CSB-PA010429NA16acHU | Acetyl-HIST1H4A (K16) Antibody | Human | ELISA, WB, ICC, IF, ChIP |
| CSB-PA010429NA16nacHU | HIST1H4A (Ab-16) Antibody | Human, Mouse | ELISA, WB, IHC, IF |
| CSB-RA010429A16acHU | Acetyl-Histone H4 (K16) Recombinant Monoclonal Antibody | Human, Mouse | ELISA, WB, ICC, IF, FC |
| CSB-RA010429A05acHU | Acetyl-Histone H4 (K5) Recombinant Monoclonal Antibody | Human | ELISA, WB, ICC, IF |
| CSB-RA010429A16me1HU | Mono-methyl-Histone H4 (K16) Recombinant Monoclonal Antibody | Human, Rat | ELISA, IF |
| CSB-RA010429A20me3HU | Tri-methyl-Histone H4 (K20) Recombinant Monoclonal Antibody | Human | ELISA, WB, ICC |
| CSB-RA010429A0HU | Histone H4 Recombinant Monoclonal Antibody | Human | ELISA, IHC, FC |
| CSB-PA010429OA01nphHU | HIST1H4A (Ab-1) Antibody | Human, Mouse, Rat | ELISA, WB, IHC, IF, ChIP |
| CSB-PA010429OA12nbioHU | HIST1H4A (Ab-12) Antibody | Human | ELISA, IHC |
| CSB-PA010429OA20me3HU | Tri-methyl-HIST1H4A (K20) Antibody | Human | ELISA, WB |
| CSB-PA010429OA05crHU | Crotonyl-HIST1H4A (K5) Antibody | Human | ELISA, WB, IF, IP, ChIP |
| CSB-PA010429OA20nme3HU | HIST1H4A (Ab-20) Antibody | Human | ELISA, IHC, IF, ChIP |
| CSB-PA010429OA05ncrHU | HIST1H4A (Ab-5) Antibody | Human, Rat | ELISA, WB, IHC, IF, IP, ChIP |
| CSB-PA010429OA05me1HU | Mono-methyl-HIST1H4A (K5) Antibody | Human | ELISA, IF, ChIP |
| CSB-PA010429OA12crHU | Crotonyl-HIST1H4A (K12) Antibody | Human | ELISA, WB, IF |
| CSB-PA010429OA05nme1HU | HIST1H4A (Ab-5) Antibody | Human | ELISA, IF, ChIP |
| CSB-PA010429OA12ncrHU | HIST1H4A (Ab-12) Antibody | Human | ELISA, WB, IF, IP |
| CSB-PA010429OA05butHU | Butyrly-HIST1H4A (K5) Antibody | Human | ELISA, WB, IF, IP, ChIP |
| CSB-PA010429OA12sucHU | Succinyl-HIST1H4A (K12) Antibody | Human | ELISA, WB, IF |
| CSB-PA010429OA31propHU | Propionyl-HIST1H4A (K31) Antibody | Human | ELISA, WB, ChIP |
| CSB-PA010429OA31npropHU | HIST1H4A (Ab-31) Antibody | Human, Mouse | ELISA, WB, IHC |
| CSB-PA010429OA31forHU | Formyl-HIST1H4A (K31) Antibody | Human | ELISA, WB |
| CSB-PA010429OA31hibHU | 2-hydroxyisobutyryl-HIST1H4A (K31) Antibody | Human | ELISA, WB, IF |
| CSB-PA010429OA05nbutHU | HIST1H4A (Ab-5) Antibody | Human, Mouse | ELISA, WB, IHC, IF, IP |
| CSB-PA010429OA12nsucHU | HIST1H4A (Ab-12) Antibody | Human | ELISA, IF |
| CSB-PA010429OA05propHU | Propionyl-HIST1H4A (K5) Antibody | Human | ELISA, WB, ICC, IP, ChIP |
| CSB-PA010429OA12forHU | Formyl-HIST1H4A (K12) Antibody | Human | ELISA, WB, ICC, IF |
| CSB-PA010429OA05npropHU | HIST1H4A (Ab-5) Antibody | Human, Mouse | ELISA, WB, IHC, IF, IP, ChIP |
| CSB-PA010429OA08crHU | Crotonyl-HIST1H4A (K8) Antibody | Human | ELISA, WB, ICC, IF, ChIP |
| CSB-PA010429OA16crHU | Crotonyl-HIST1H4A (K16) Antibody | Human | ELISA, WB, ICC, IF |
| CSB-PA010429OA08ncrHU | HIST1H4A (Ab-8) Antibody | Human | ELISA, WB, IHC, IF |
| CSB-PA010429OA16ncrHU | HIST1H4A (Ab-16) Antibody | Human | ELISA, IHC, IF |
| CSB-PA010429OA08butHU | Butyrly-HIST1H4A (K8) Antibody | Human | ELISA, WB, ICC, IF, ChIP |
| CSB-PA010429OA16butHU | Butyrly-HIST1H4A (K16) Antibody | Human | ELISA, WB, IF, ChIP |
| CSB-PA010429OA31nhibHU | HIST1H4A (Ab-31) Antibody | Human, Rat | ELISA, WB, IHC |
| CSB-PA010429OA08nbutHU | HIST1H4A (Ab-8) Antibody | Human | ELISA, WB, IHC, IF |
| CSB-PA010429OA16nbutHU | HIST1H4A (Ab-16) Antibody | Human | ELISA, IF, ChIP |
| CSB-PA010429OA77nme1HU | HIST1H4A (Ab-77) Antibody | Human | ELISA, IHC, IF |
| CSB-PA010429OA44npropHU | HIST1H4A (Ab-44) Antibody | Human | ELISA, WB |
| CSB-PA010429OA55nme1HU | HIST1H4A (Ab-55) Antibody | Human | ELISA, WB, IHC |
| CSB-PA010429OA77nsucHU | HIST1H4A (Ab-77) Antibody | Human | ELISA, IHC |
| CSB-PA010429OA47ogHU | O-GlcNAcyl-HIST1H4A (S47) Antibody | Human | ELISA, WB |
| CSB-PA010429OA59me1HU | Mono-methyl-HIST1H4A (K59) Antibody | Human | ELISA, WB, IF |
| CSB-PA010429OA77forHU | Formyl-HIST1H4A (K77) Antibody | Human | ELISA, WB, IHC, ChIP |
| CSB-PA010429OA08propHU | Propionyl-HIST1H4A (K8) Antibody | Human | ELISA, WB, IF, IP, ChIP |
| CSB-PA010429OA16propHU | Propionyl-HIST1H4A (K16) Antibody | Human | ELISA, WB, ChIP |
| CSB-PA010429OA08npropHU | HIST1H4A (Ab-8) Antibody | Human, Mouse | ELISA, WB, IHC, IF, IP, ChIP |
| CSB-PA010429OA16npropHU | HIST1H4A (Ab-16) Antibody | Human, Mouse | ELISA, WB, IHC |
| CSB-PA010429OA31nsucHU | HIST1H4A (Ab-31) Antibody | Human | ELISA, WB, IHC, ChIP |
| CSB-PA010429OA16hibHU | 2-hydroxyisobutyryl-HIST1H4A (K16) Antibody | Human | ELISA, WB, IF, IP, ChIP |
| CSB-PA010429OA35me1HU | Mono-methyl-HIST1H4A (R35) Antibody | Human | ELISA, IF |
| CSB-PA010429OA88ohHU | Hydroxyl-HIST1H4A (Y88) Antibody | Human | ELISA, WB, IF |
| CSB-PA010429OA59nme1HU | HIST1H4A (Ab-59) Antibody | Human | ELISA, WB, IHC, IF, ChIP |
| CSB-PA010429OA77hibHU | 2-hydroxyisobutyryl-HIST1H4A (K77) Antibody | Human | ELISA, WB |
| CSB-PA010429OA05hibHU | 2-hydroxyisobutyryl-HIST1H4A (K5) Antibody | Human | ELISA, WB, ICC, IF |
| CSB-PA010429OA77nhibHU | HIST1H4A (Ab-77) Antibody | Human, Mouse | ELISA, WB, IHC |
| CSB-PA010429OA05nhibHU | HIST1H4A (Ab-5) Antibody | Human, Mouse, Rat | ELISA, WB, IHC, IF, IP |
| CSB-PA010429OA44nbutHU | HIST1H4A (Ab-44) Antibody | Human | ELISA, IHC |
| CSB-PA010429OA79forHU | Formyl-HIST1H4A (K79) Antibody | Human | ELISA, WB, ICC |
| CSB-PA010429OA05bhbHU | β-hydroxybutyryl-HIST1H4A (K5) Antibody | Human | ELISA, WB |
| CSB-PA010429OA79nforHU | HIST1H4A (Ab-79) Antibody | Human, Mouse | ELISA, WB, IHC |
| CSB-PA010429OA05nbhbHU | HIST1H4A (Ab-5) Antibody | Human, Mouse | ELISA, WB, IHC, IF, IP |
| CSB-PA010429OA08hibHU | 2-hydroxyisobutyryl-HIST1H4A (K8) Antibody | Human | ELISA, WB, ICC, IF |
| CSB-PA010429OA35nme1HU | HIST1H4A (Ab-35) Antibody | Human | ELISA, IHC, IF, ChIP |
| CSB-PA010429OA88nohHU | HIST1H4A (Ab-88) Antibody | Human | ELISA, IHC, IF |
| CSB-PA010429OA91acHU | Acetyl-HIST1H4A (K91) Antibody | Human | ELISA, WB, IF |
| CSB-PA010429OA31butHU | Butyrly-HIST1H4A (K31) Antibody | Human | ELISA, ICC, IF |
| CSB-PA010429OA91nacHU | HIST1H4A (Ab-91) Antibody | Human | ELISA, IHC, IF |
| CSB-PA010429OA12npropHU | HIST1H4A (Ab-12) Antibody | Human, Mouse | ELISA, WB, IHC, IP, ChIP |
| CSB-PA010429OA91hibHU | 2-hydroxyisobutyryl-HIST1H4A (K91) Antibody | Human | ELISA, IF |
| CSB-PA010429OA12butHU | Butyrly-HIST1H4A (K12) Antibody | Human | ELISA, WB, ICC, IF, IP, ChIP |
| CSB-PA010429OA12nbutHU | HIST1H4A (Ab-12) Antibody | Human, Mouse | ELISA, WB, IHC, IP, ChIP |
| CSB-PA010429OA44nhibHU | HIST1H4A (Ab-44) Antibody | Human | ELISA, IHC |
| CSB-PA010429OA79nhibHU | HIST1H4A (Ab-79) Antibody | Human | ELISA, IHC, ChIP |
| CSB-PA010429OA08nhibHU | HIST1H4A (Ab-8) Antibody | Human | ELISA, WB, IHC, IF |
| CSB-PA010429OA79npropHU | HIST1H4A (Ab-79) Antibody | Human | ELISA, WB, IHC, IF |
| CSB-PA010429OA91npropHU | HIST1H4A (Ab-91) Antibody | Human | ELISA, IHC, IF |
| CSB-PA010429OA12nhibHU | HIST1H4A (Ab-12) Antibody | Human, Mouse | ELISA, WB, IHC, IF, IP |
| CSB-PA010429OA20acHU | Acetyl-HIST1H4A (K20) Antibody | Human | ELISA, WB, IF |
| CSB-PA010429OA77nbutHU | HIST1H4A (Ab-77) Antibody | Human, Mouse | ELISA, WB, IHC |
| CSB-PA010429OA59nforHU | HIST1H4A (Ab-59) Antibody | Human | ELISA, IHC |
| CSB-PA010429OA91nbutHU | HIST1H4A (Ab-91) Antibody | Human, Mouse | ELISA, WB, IHC, ChIP |
| CSB-PA010429OA59nhibHU | HIST1H4A (Ab-59) Antibody | Human | ELISA, IHC |
| CSB-PA010429PA16acHU | Acetyl-HIST1H4A (K16) Antibody | Human | ELISA, ChIP |
| CSB-PA010429OA67me1HU | Mono-methyl-HIST1H4A (R67) Antibody | Human | ELISA, ICC |
| CSB-PA010429OA91forHU | Formyl-HIST1H4A (K91) Antibody | Human | ELISA, ICC, IF |
| CSB-PA010429OA91nforHU | HIST1H4A (Ab-91) Antibody | Human | ELISA, IHC, IF |
| CSB-PA010429OA77acHU | Acetyl-HIST1H4A (K77) Antibody | Human | ELISA, WB |
| CSB-PA010429OA79acHU | Acetyl-HIST1H4A (K79) Antibody | Human | ELISA, ICC, IF, ChIP |
| CSB-PA010429OA31acHU | Acetyl-HIST1H4A (K31) Antibody | Human | ELISA, WB, ICC, IF, ChIP |
| CSB-PA010429OA91bhbHU | β-hydroxybutyryl-HIST1H4A (K91) Antibody | Human | ELISA, WB |
| CSB-PA010429OA31nacHU | HIST1H4A (Ab-31) Antibody | Human | ELISA, IHC |
| CSB-PA010429OA91nbhbHU | HIST1H4A (Ab-91) Antibody | Human | ELISA, IHC |
| CSB-PA010429OA08nbhbHU | HIST1H4A (Ab-8) Antibody | Human | ELISA, WB, IHC, IF, ChIP |
| CSB-PA010429OA12nbhbHU | HIST1H4A (Ab-12) Antibody | Human, Rat | ELISA, WB, IHC, IP |
| CSB-PA010429OA31nbhbHU | HIST1H4A (Ab-31) Antibody | Human | ELISA, IF |
| CSB-PA010429OA79nbutHU | HIST1H4A (Ab-79) Antibody | Human | ELISA, IHC |
| CSB-PA010429OA77nbhbHU | HIST1H4A (Ab-77) Antibody | Human | ELISA, IHC |
| CSB-PA010429PA12hibHU | 2-hydroxyisobutyryl-HIST1H4A (K12) Antibody | Human | ELISA, WB, ICC, IF, IP, ChIP |
| CSB-PA010429PA59forHU | Formyl-HIST1H4A (K59) Antibody | Human | ELISA, ICC |
| CSB-PA010429PA59hibHU | 2-hydroxyisobutyryl-HIST1H4A (K59) Antibody | Human | ELISA, ICC |
| CSB-PA010429PA35nme1HU | HIST1H4A (Ab-35) Antibody | Human | ELISA, IHC |
| CSB-PA010429PA59nme1HU | HIST1H4A (Ab-59) Antibody | Human | ELISA, IHC |
| CSB-PA010429PA91acHU | Acetyl-HIST1H4A (K91) Antibody | Human | ELISA, ICC |
| CSB-PA010429PA79nforHU | HIST1H4A (Ab-79) Antibody | Human | ELISA, IHC |
| CSB-PA010429PA91nacHU | HIST1H4A (Ab-91) Antibody | Human | ELISA, IHC |
| CSB-PA010429PA91hibHU | 2-hydroxyisobutyryl-HIST1H4A (K91) Antibody | Human | ELISA, ICC |
| CSB-PA010429PA08hibHU | 2-hydroxyisobutyryl-HIST1H4A (K8) Antibody | Human | ELISA, ICC |
| CSB-PA010429PA91nhibHU | HIST1H4A (Ab-91) Antibody | Human | ELISA, IHC |
| CSB-PA010429PA31butHU | Butyrly-HIST1H4A (K31) Antibody | Human | ELISA, ICC |
| CSB-PA010429PA44hibHU | 2-hydroxyisobutyryl-HIST1H4A (K44) Antibody | Human | ELISA, ICC |
| CSB-PA010429PA05hibHU | 2-hydroxyisobutyryl-HIST1H4A (K5) Antibody | Human | ELISA, ICC |
| CSB-PA010429PA05nhibHU | HIST1H4A (Ab-5) Antibody | Human | ELISA, IHC |
| CSB-PA010429PA31nbutHU | HIST1H4A (Ab-31) Antibody | Human | ELISA, IHC |
| CSB-PA010429PA44nhibHU | HIST1H4A (Ab-44) Antibody | Human | ELISA, IHC |
| CSB-PA010429PA77acHU | Acetyl-HIST1H4A (K77) Antibody | Human | ELISA, ICC |
| CSB-PA010429PA77nacHU | HIST1H4A (Ab-77) Antibody | Human | ELISA, IHC |
| CSB-PA010429PA31nforHU | HIST1H4A (Ab-31) Antibody | Human | ELISA, IHC |
| CSB-PA010429PA88nohHU | HIST1H4A (Ab-88) Antibody | Human | ELISA, IHC |
| CSB-PA010429PA20nacHU | HIST1H4A (Ab-20) Antibody | Human | ELISA, IHC |
| CSB-RA010429MA1HU | HIST1H4A Recombinant Monoclonal Antibody | Human, Mouse, Rat | ELISA, WB, IHC, FC |
H4C1 Proteins
H4C1 Proteins for Homo sapiens (Human)
| 產品貨號 | 產品名稱 | 來源 |
|---|---|---|
| CSB-YP010429HU CSB-BP010429HU CSB-MP010429HU CSB-EP010429HU-B |
Recombinant Human Histone H4 (HIST1H4A) | Yeast Baculovirus Mammalian cell In Vivo Biotinylation in E.coli |
| CSB-EP010429HU1 | Recombinant Human Histone H4 (H4C1), partial | E.coli |
| CSB-EP010429HU | Recombinant Human Histone H4 (H4C1) | E.coli |
H4C1 ELISA Kit
H4C1 ELISA Kit for Homo sapiens (Human)
| 產品貨號 | 產品名稱 | 樣本類型 | 靈敏度 |
|---|---|---|---|
| CSB-EL010429HU | Human Histone H4(HIST1H4A) ELISA kit | serum, plasma, tissue homogenates, cell lysates | 9.3 pg/mL |






