GZMK
GZMK,即顆粒酶M,別名Granzyme K、Gzmk。它是一種由GZMK基因編碼的絲氨酸蛋白酶,屬于顆粒酶家族成員,在細胞毒性T淋巴細胞(CTL)和自然殺傷(NK)細胞中表達。GZMK的作用機制涉及與細胞毒性顆粒中的其他顆粒酶協同作用,通過誘導靶細胞凋亡來發揮其細胞毒性作用,參與免疫應答過程。GZMK的表達和活性在某些疾病中可能發生改變,例如在自身免疫性疾病和腫瘤中。因此,GZMK是免疫學研究和相關疾病治療中的一個潛在靶點。
熱銷產品
Recombinant Human Granzyme K (GZMK) (CSB-EP010084HU)
驗證數據
(Tris-Glycine gel) Discontinuous SDS-PAGE (reduced) with 5% enrichment gel and 15% separation gel.
GZMK Antibody (CSB-PA010084LA01HU)
驗證數據
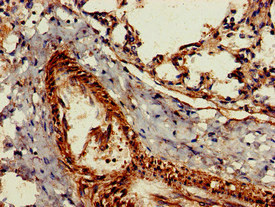
Immunohistochemistry of paraffin-embedded human lung tissue using CSB-PA010084LA01HU at dilution of 1:100
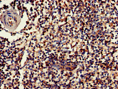
Immunohistochemistry of paraffin-embedded human spleen tissue using CSB-PA010084LA01HU at dilution of 1:100
Immunofluorescent analysis of HepG2 cells using CSB-PA010084LA01HU at dilution of 1:100 and Alexa Fluor 488-congugated AffiniPure Goat Anti-Rabbit IgG(H+L)
GZMK Antibodies
GZMK for Homo sapiens (Human)
| 產品貨號 | 產品名稱 | 種屬反應性 | 應用類型 |
|---|---|---|---|
| CSB-PA002797 | GZMK Antibody | Human,Mouse,Rat | WB, IHC, IF, ELISA |
| CSB-PA886920 | GZMK Antibody | Human | ELISA,IHC |
| CSB-PA057029 | GZMK Antibody | Human | ELISA,IHC |
| CSB-PA010084LA01HU | GZMK Antibody | Human | ELISA, IHC, IF |
| CSB-PA010084LB01HU | GZMK Antibody, HRP conjugated | Human | ELISA |
| CSB-PA010084LC01HU | GZMK Antibody, FITC conjugated | Human | |
| CSB-PA010084LD01HU | GZMK Antibody, Biotin conjugated | Human | ELISA |
GZMK Proteins
GZMK Proteins for Homo sapiens (Human)
| 產品貨號 | 產品名稱 | 來源 |
|---|---|---|
| CSB-YP010084HU CSB-BP010084HU CSB-MP010084HU CSB-EP010084HU-B |
Recombinant Human Granzyme K (GZMK) | Yeast Baculovirus Mammalian cell In Vivo Biotinylation in E.coli |
| CSB-EP010084HU | Recombinant Human Granzyme K (GZMK) | E.coli |
| CSB-EP010084HUc7 | Recombinant Human Granzyme K (GZMK) | E.coli |
| CSB-EP010084HU1 | Recombinant Human Granzyme K (GZMK) | E.coli |
| CSB-EP010084HU1g5 | Recombinant Human Granzyme K (GZMK) | E.coli |
| CSB-EP010084HU1d7 | Recombinant Human Granzyme K (GZMK) | E.coli |






