GYS1
GYS1,即肌肉型糖原合酶。GYS1的活性受到多種因素的精細調控,特別是胰島素信號通路的激活可以促進其磷酸化,進而提高酶的活性,加強糖原的合成。此外,GYS1還受到AMPK(AMP激活的蛋白激酶)等其他信號分子的影響,確保在能量需求變化時能夠迅速調整糖原的合成速率。在生理學上,GYS1對于維持肌肉組織的能量儲備、支持運動能力以及調節全身血糖水平都至關重要。當GYS1功能出現障礙時,可能會導致糖原積累異常,影響肌肉功能,甚至與某些代謝性疾病的發展有關,例如2型糖尿病。深入理解GYS1的作用機制及其在疾病中的角色,對于開發新的治療方法具有重要意義。
熱銷產品
Phospho-GYS1 (S641) Recombinant Monoclonal Antibody (CSB-RA010078A641phHU)
驗證數據
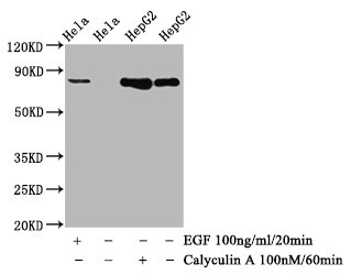
Western Blot
Positive WB detected in Hela whole cell lysate,HepG2 whole cell lysate(treated with Calyculin A or EGF)
All lanes Phospho-GYS1 antibody at 1.12μg/ml
Secondary
Goat polyclonal to rabbit IgG at 1/50000 dilution
Predicted band size: 85 KDa
Observed band size: 85 KDa
Immunofluorescence staining of HepG2 cells with CSB-RA010078A641phHU at 1:100,counter-stained with DAPI. The cells were fixed in 4% formaldehyde, permeabilized using 0.2% Triton X-100 and blocked in 10% normal Goat Serum. The cells were then incubated with the antibody overnight at 4℃. The secondary antibody was Alexa Fluor 488-congugated AffiniPure Goat Anti-Rabbit IgG (H+L).
GYS1 Antibodies
GYS1 for Homo sapiens (Human)
| 產品貨號 | 產品名稱 | 種屬反應性 | 應用類型 |
|---|---|---|---|
| CSB-PA010078GA01HU | GYS1 Antibody | Human,Mouse,Rat | ELISA,WB,IHC,IF |
| CSB-PA568101 | Phospho-GYS1 (Ser645) Antibody | Human,Mouse,Rat | ELISA,WB |
| CSB-PA009060 | Phospho-GYS1 (S641) Antibody | Human,Mouse | WB, ELISA |
| CSB-PA009063 | Phospho-GYS1 (S645) Antibody | Human,Mouse,Rat | WB, IHC, ELISA |
| CSB-PA009067 | GYS1 Antibody | Human,Mouse,Rat | WB, ELISA |
| CSB-PA009070 | GYS1 Antibody | Human,Mouse | WB, ELISA |
| CSB-PA985220 | GYS1 Antibody | Human,Mouse,Rat | ELISA,WB,IHC |
| CSB-PA170597 | GYS1 Antibody | Human,Mouse,Rat | ELISA,WB,IHC |
| CSB-RA010078A641phHU | Phospho-GYS1 (S641) Recombinant Monoclonal Antibody | Human | ELISA, WB, IF |
GYS1 Proteins
GYS1 Proteins for Homo sapiens (Human)
| 產品貨號 | 產品名稱 | 來源 |
|---|---|---|
| CSB-YP010078HU CSB-EP010078HU CSB-BP010078HU CSB-MP010078HU CSB-EP010078HU-B |
Recombinant Human Glycogen [starch] synthase, muscle (GYS1) | Yeast E.coli Baculovirus Mammalian cell In Vivo Biotinylation in E.coli |
GYS1 Proteins for Oryctolagus cuniculus (Rabbit)
| 產品貨號 | 產品名稱 | 來源 |
|---|---|---|
| CSB-YP010078RB CSB-EP010078RB CSB-BP010078RB CSB-MP010078RB CSB-EP010078RB-B |
Recombinant Rabbit Glycogen [starch] synthase, muscle (GYS1), partial | Yeast E.coli Baculovirus Mammalian cell In Vivo Biotinylation in E.coli |
GYS1 Proteins for Bos taurus (Bovine)
| 產品貨號 | 產品名稱 | 來源 |
|---|---|---|
| CSB-YP010078BO CSB-EP010078BO CSB-BP010078BO CSB-MP010078BO CSB-EP010078BO-B |
Recombinant Bovine Glycogen [starch] synthase, muscle (GYS1), partial | Yeast E.coli Baculovirus Mammalian cell In Vivo Biotinylation in E.coli |
GYS1 Proteins for Rattus norvegicus (Rat)
| 產品貨號 | 產品名稱 | 來源 |
|---|---|---|
| CSB-YP383396RA CSB-EP383396RA CSB-BP383396RA CSB-MP383396RA CSB-EP383396RA-B |
Recombinant Rat Glycogen [starch] synthase, muscle (Gys1) | Yeast E.coli Baculovirus Mammalian cell In Vivo Biotinylation in E.coli |
GYS1 Proteins for Pongo abelii (Sumatran orangutan)
| 產品貨號 | 產品名稱 | 來源 |
|---|---|---|
| CSB-YP722357PYX CSB-EP722357PYX CSB-BP722357PYX CSB-MP722357PYX CSB-EP722357PYX-B |
Recombinant Pongo abelii Glycogen [starch] synthase, muscle (GYS1), partial | Yeast E.coli Baculovirus Mammalian cell In Vivo Biotinylation in E.coli |
GYS1 Proteins for Macaca mulatta (Rhesus macaque)
| 產品貨號 | 產品名稱 | 來源 |
|---|---|---|
| CSB-YP818648MOW CSB-EP818648MOW CSB-BP818648MOW CSB-MP818648MOW CSB-EP818648MOW-B |
Recombinant Macaca mulatta Glycogen [starch] synthase, muscle (GYS1), partial | Yeast E.coli Baculovirus Mammalian cell In Vivo Biotinylation in E.coli |






