GUK1
GUK1蛋白,全名為guanylate kinase 1,也被稱為GMK。它在細胞代謝中扮演重要角色,能夠促進異常ALK蛋白制造GDP分子,這是癌細胞分裂和制造蛋白質等任務所需的能量分子GTP的前體。GUK1在肺癌中起到關鍵作用,其活性與腫瘤生長和存活密切相關。研究發現,GUK1可能成為肺癌治療的潛在靶點,未來有望開發出針對GUK1的治療方法,以抑制癌癥的生長。目前,關于GUK1的研究仍在進行中,科學家們正努力探索其在其他癌癥類型中的作用,以及如何通過抑制GUK1來開發新的癌癥治療方法。
熱銷產品
Recombinant Human Guanylate kinase (GUK1) (CSB-EP619089HU)
驗證數據
(Tris-Glycine gel) Discontinuous SDS-PAGE (reduced) with 5% enrichment gel and 15% separation gel.
驗證數據
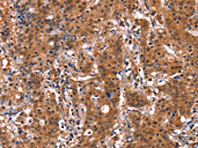
The image on the left is immunohistochemistry of paraffin-embedded Human thyroid cancer tissue using CSB-PA247916(GUK1 Antibody) at dilution 1/50, on the right is treated with synthetic peptide. (Original magnification: ×200)
The image on the left is immunohistochemistry of paraffin-embedded Human gastric cancer tissue using CSB-PA247916(GUK1 Antibody) at dilution 1/50, on the right is treated with synthetic peptide. (Original magnification: ×200)
Gel: 10%SDS-PAGE, Lysate: 40 μg, Lane: 231 cells, Primary antibody: CSB-PA247916(GUK1 Antibody) at dilution 1/400, Secondary antibody: Goat anti rabbit IgG at 1/8000 dilution, Exposure time: 1 minute
GUK1 Antibodies
GUK1 for Homo sapiens (Human)
| 產品貨號 | 產品名稱 | 種屬反應性 | 應用類型 |
|---|---|---|---|
| CSB-PA223860 | GUK1 Antibody | Human,Mouse | ELISA,IHC |
| CSB-PA247916 | GUK1 Antibody | Human,Mouse | ELISA,WB,IHC |
GUK1 Proteins
GUK1 Proteins for Homo sapiens (Human)
| 產品貨號 | 產品名稱 | 來源 |
|---|---|---|
| CSB-YP619089HU CSB-BP619089HU CSB-MP619089HU CSB-EP619089HU-B |
Recombinant Human Guanylate kinase (GUK1) | Yeast Baculovirus Mammalian cell In Vivo Biotinylation in E.coli |
| CSB-EP619089HU | Recombinant Human Guanylate kinase (GUK1) | E.coli |






